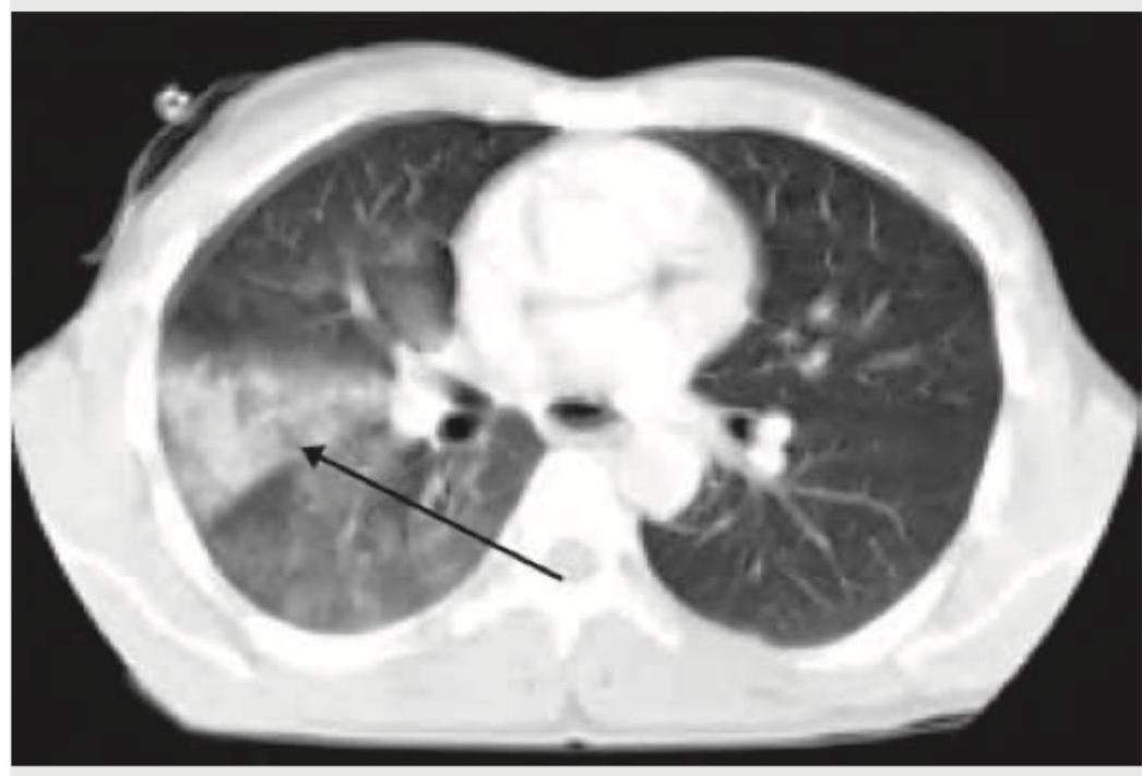
A cement slab fell on the chest of a 20-year-old construction worker. The arrow in the given CT chest points to:

A 25-year-old patient underwent surgery for scoliosis correction. 5 days post-operatively he develops voluminous bilious vomiting. The given CT abdomen shows:

Excretory urogram in a two-year-old child with recurrent UTI shows:

What is the radiological sign that could best describe this image?

A 26-year-old construction worker with a previous history of recurrent kidney stones presents with flank pain. What is the radiological sign demonstrated in the IVP image shown below?

Which of the following is correct about the NCCT shown below? (Recent NEET Pattern 2016-17)

All are true about CNS malformation shown below except:

Which is correct about the intracranial bleeding shown below?

The CXR shows markings near the costophrenic angle. Which of the following is the cause of these markings? (Recent NEET Pattern 2016-17)

The CT chest of a patient given below shows presence of: (Recent NEET Pattern 2016-17)

NEET-PG 2017 - Radiology NEET-PG Practice Questions and MCQs
Question 11: A cement slab fell on the chest of a 20-year-old construction worker. The arrow in the given CT chest points to:
- A. Lung contusion (Correct Answer)
- B. ARDS
- C. Diaphragmatic rupture
- D. Pneumothorax
Explanation: ***Lung contusion*** - The image shows an area of **ground-glass opacity** and **consolidation** within the lung parenchyma, consistent with **hemorrhage and edema** caused by blunt force trauma. - This finding, combined with the history of the cement slab falling on the chest, is highly suggestive of a **lung contusion**. *ARDS* - **ARDS** (Acute Respiratory Distress Syndrome) is a clinical syndrome characterized by widespread **inflammatory lung injury**, typically presenting as bilateral infiltrates on imaging. - While it can manifest with similar CT findings, ARDS is a **diagnosis of exclusion** and requires specific clinical criteria (e.g., severe hypoxemia, exclusion of cardiac failure) not provided in the question. *Diaphragmatic rupture* - A **diaphragmatic rupture** involves a tear in the diaphragm, which would appear on CT as a discontinuity of the diaphragm or **herniation of abdominal contents** into the thoracic cavity. - The image does not show any signs of diaphragmatic discontinuity or organ herniation. *Pneumothorax* - A **pneumothorax** is the presence of air in the pleural space, which would be visible as a collection of **dark air outside the lung parenchyma**, often with a visible pleural line and collapse of the lung. - The CT scan shows parenchymal changes rather than a collection of air in the pleural space.
Question 12: A 25-year-old patient underwent surgery for scoliosis correction. 5 days post-operatively he develops voluminous bilious vomiting. The given CT abdomen shows:
- A. Paralytic ileus
- B. SMA syndrome (Correct Answer)
- C. Pneumoperitoneum
- D. Paravertebral abscess
Explanation: ***SMA syndrome*** - The CT image shows significant **duodenal distention** proximal to the **superior mesenteric artery (SMA)**, characteristic of SMA syndrome. The arrow points to the **compressed third part of the duodenum** between the SMA and the aorta. - This condition is often seen post-scoliosis correction surgery due to rapid **spinal extension**, which can decrease the **aortomesenteric angle** and compress the duodenum, leading to **bilious vomiting**. *Paralytic ileus* - While ileus can cause vomiting and bowel distension, it typically involves **diffuse gaseous distension** of both small and large bowels without a discrete point of obstruction like the compressed duodenum seen here. - The clinical presentation of paralytic ileus post-operatively is more often characterized by generalized **absent bowel sounds** and abdominal distension, rather than specific bilious vomiting from high obstruction. *Pneumoperitoneum* - This refers to the presence of **free air in the abdominal cavity**, usually indicating a **visceral perforation**. - The provided CT image does not show any evidence of free air, and the presenting symptom of bilious vomiting is more indicative of obstruction. *Paravertebral abscess* - A paravertebral abscess would appear as a **fluid collection adjacent to the spine**, which is not depicted on this CT scan. - Clinical symptoms would likely include **fever, severe localized back pain**, and possibly neurological deficits, differing from the purely obstructive symptoms described.
Question 13: Excretory urogram in a two-year-old child with recurrent UTI shows:
- A. Drooping water lily sign (Correct Answer)
- B. Horse shoe kidney
- C. Flower vase kidney
- D. Duplication of kidney
Explanation: ***Drooping water lily sign*** - This sign is characteristic of a **duplex collecting system** with a **dilated, obstructed upper pole ureter** and calyx, typically associated with an **ectopic ureterocele**. - The displaced lower pole calyces are pushed laterally and inferiorly by the dilated upper pole system, creating the appearance of a "drooping lily" or "drooping flower." - In children with recurrent UTIs, this finding indicates an underlying anatomical anomaly—specifically an **obstructed upper pole moiety in a duplex kidney**—which predisposes to stasis and infection. - **Most specific sign** for this condition on excretory urogram. *Horse shoe kidney* - A **horseshoe kidney** is a congenital fusion anomaly where the two kidneys are fused (usually at lower poles) across the midline. - Characteristic IVU findings include medially oriented lower poles, high ureteric insertion, and abnormal renal axis. - Does not cause the drooping lily appearance or typically present with recurrent UTI in this pattern. *Flower vase kidney* - **Flower vase sign** is a recognized radiological finding describing the appearance of **infundibular stenosis**, where the calyx is dilated but the infundibulum (connecting neck) is narrowed, resembling a flower vase. - This is a different entity from the drooping lily sign and represents focal obstruction at the infundibulum level rather than upper pole obstruction in a duplex system. - Not associated with the clinical scenario of recurrent UTI in a child with duplex kidney anomaly. *Duplication of kidney* - While a **duplex collecting system** (duplicated collecting system) is indeed present in this condition, this is a descriptive anatomical term rather than a specific radiological sign. - The **drooping water lily sign** is the more precise and specific descriptor for the characteristic IVU appearance of an obstructed upper pole moiety in a duplex kidney. - "Duplication" alone does not convey the specific pathology (obstruction) causing the recurrent UTIs.
Question 14: What is the radiological sign that could best describe this image?
- A. Cobra head sign (Correct Answer)
- B. Rim sign
- C. Fish hook bladder
- D. Soap bubble
Explanation: ***Cobra head sign*** - This sign is seen in the setting of a **ureterocele**, which is a cystic dilatation of the intravesical (within the bladder) portion of the ureter. - On intravenous urography (IVU) or retrograde pyelography, the dilated ureterocele appears as a filling defect within the bladder, outlined by contrast, creating the characteristic "cobra head" or "spring onion" appearance. *Rim sign* - The **rim sign** is typically associated with **renal calculi** (kidney stones). - It refers to a thin rim of soft tissue or gas surrounding a radiolucent stone, which can sometimes be seen on CT scans. *Fish hook bladder* - This term describes the shape of the bladder in cases of **benign prostatic hyperplasia (BPH)**. - Due to the enlarged prostate elevating and distorting the bladder base, the contrast-filled bladder appears elongated and curved, resembling a fish hook on a cystogram. *Soap bubble* - The "soap bubble" appearance is often used to describe **multiloculated cystic masses** or certain types of tumors, particularly in bone lesions (e.g., aneurysmal bone cyst, fibrous dysplasia). - It refers to multiple small, rounded lucencies giving a bubbly or multicystic appearance on imaging.
Question 15: A 26-year-old construction worker with a previous history of recurrent kidney stones presents with flank pain. What is the radiological sign demonstrated in the IVP image shown below?
- A. Rim sign (Correct Answer)
- B. Ring sign
- C. Egg in cup appearance
- D. Sun burst appearance
Explanation: ***Rim sign*** - The image shows a **calcified rim around a radiolucent (non-calcified) center**, which is characteristic of a **calcium oxalate monohydrate stone** on an intravenous pyelogram (IVP). - This sign is also known as the **"lucent-centered calculus"** or **"target sign"** and indicates a partially calcified stone. *Ring sign* - The **ring sign** can refer to various appearances in medical imaging, often indicating a **ring-enhancing lesion** on CT or MRI, which is not applicable to a kidney stone on IVP. - In renal imaging, a ring sign might describe a collection of contrast medium around a tumor or cyst, but not typically a stone with a radiolucent center. *Egg in cup appearance* - This sign is typically associated with **osteochondroma or enchondroma** lesions in bone imaging, where the cartilage cap creates a "cup" for the medullary bone to grow into. - It is not a recognized sign for kidney stones. *Sun burst appearance* - The **sun burst appearance** is characteristic of certain **bone tumors**, particularly **osteosarcoma**, where new bone forms perpendicular to the bone surface. - This description does not apply to the radiological features of kidney stones on IVP.
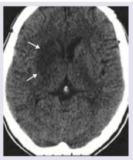
Question 16: Which of the following is correct about the NCCT shown below? (Recent NEET Pattern 2016-17)
- A. Acute ischemic stroke
- B. Acute hemorrhagic stroke
- C. Subarachnoid hemorrhage
- D. Intraparenchymal hemorrhage (Correct Answer)
Explanation: ***Intraparenchymal hemorrhage*** - The image shows a **hyperdense (bright)** lesion within the brain parenchyma, indicated by the arrows. This appearance on non-contrast CT (NCCT) is characteristic of **acute hemorrhage** (blood) within the brain tissue. - The location and morphology are consistent with blood accumulating directly within the brain substance rather than in the subarachnoid space or as a diffuse cerebral edema. *Acute ischemic stroke* - An **acute ischemic stroke** on NCCT typically appears as a **hypodense (darker)** area due to **edema** and cell death, usually after several hours. The lesion shown in the image is hyperdense. - Early signs of acute ischemic stroke (within the first few hours) can include subtle changes like loss of gray-white matter differentiation or hyperdense vessel signs, but not a distinct hyperdense parenchymal lesion as seen here. *Acute hemorrhagic stroke* - While technically a hemorrhagic stroke, this option is too broad. Hemorrhagic stroke encompasses both intraparenchymal hemorrhage and subarachnoid hemorrhage. - The specific location of the blood within the brain tissue, as opposed to solely in the subarachnoid space, makes "intraparenchymal hemorrhage" a more precise diagnosis. *Subarachnoid hemorrhage* - **Subarachnoid hemorrhage (SAH)** would appear as hyperdensity (blood) in the **sulci, fissures**, and **basal cisterns** surrounding the brain, not within the brain parenchyma itself. - The image clearly shows the lesion within the brain tissue, not in the subarachnoid spaces.
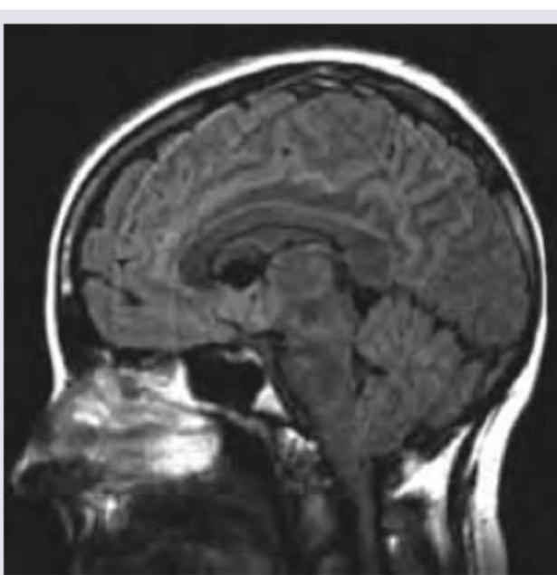
Question 17: All are true about CNS malformation shown below except:
- A. Large posterior fossa (Correct Answer)
- B. Herniation of cerebellar tonsil
- C. Herniation of cerebellar vermis
- D. Association with myelomeningocele
Explanation: ***Large posterior fossa*** - The image shown, consistent with a **Chiari II malformation**, typically features a **small posterior fossa**, not a large one. - A small posterior fossa contributes to the crowding and herniation of cerebellar structures through the foramen magnum. *Herniation of cerebellar tonsil* - **Chiari II malformation** is characterized by the **downward displacement of the cerebellar tonsils** through the foramen magnum. - This herniation can lead to obstruction of CSF flow and associated neurological symptoms. *Herniation of cerebellar vermis* - The image suggests a **Chiari II malformation**, which involves the **caudal displacement of the cerebellar vermis** and fourth ventricle into the spinal canal. - This is a hallmark feature distinguishing it from other Chiari malformations. *Association with myelomeningocele* - **Chiari II malformation** has a strong and consistent association with **myelomeningocele**, a severe form of spina bifida. - Most patients with myelomeningocele will also have a Chiari II malformation, indicating a common developmental origin.
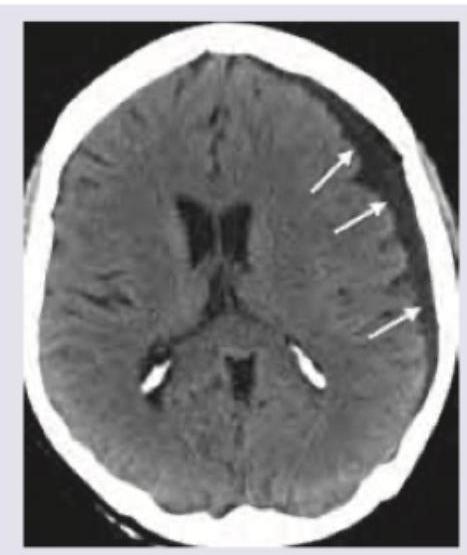
Question 18: Which is correct about the intracranial bleeding shown below?
- A. Chronic subdural hematoma, hypodensity (Correct Answer)
- B. Acute subdural hematoma, hypodensity
- C. Chronic epidural hematoma, hyperdensity
- D. Acute epidural hematoma, hyperdensity
Explanation: ***Chronic subdural hematoma, hypodensity*** - The image displays a crescent-shaped collection of fluid with **hypodense characteristics** (darker than brain parenchyma) that crosses suture lines, which is typical for a subdural hematoma. - The **hypodensity indicates older, chronic blood** where the hemoglobin has degraded, differentiating it from acute (hyperdense) or subacute (isodense) collections. *Acute subdural hematoma, hypodensity* - An **acute subdural hematoma** would typically appear **hyperdense** (bright) on CT due to fresh blood. - The observed collection is clearly hypodense, ruling out an acute presentation. *Chronic epidural hematoma, hyperdensity* - An **epidural hematoma** is typically **lenticular (lens-shaped)** and does not cross suture lines, unlike the crescent shape seen here. - While chronic blood *can* be hypodense, an epidural hematoma by definition is outside the dura mater and would not present with this morphology. *Acute epidural hematoma, hyperdensity* - An **acute epidural hematoma** is characterized by a **lenticular (lens-shaped) hyperdense** collection of blood, which is distinctly different from the crescent-shaped, hypodense collection in the image. - Epidural hematomas occur between the dura mater and the skull, typically from arterial injury, and are bound by sutures.
Question 19: The CXR shows markings near the costophrenic angle. Which of the following is the cause of these markings? (Recent NEET Pattern 2016-17)
- A. Lymphangitis carcinomatosis (Correct Answer)
- B. Pulmonary alveolar proteinosis
- C. Lung abscess
- D. Pneumatocele
Explanation: ***Lymphangitis carcinomatosis*** - The image shows **reticulonodular interstitial markings** with preserved lung volumes, particularly prominent near the costophrenic angle, which are classic for **lymphangitis carcinomatosis**. - This condition is caused by the infiltration of **malignant cells into the lymphatic channels** of the lung, leading to thickening of the interlobular septa and a characteristic radiographic appearance. *Pulmonary alveolar proteinosis* - This condition typically presents with diffuse ground-glass opacities and consolidation, often described as a **"crazy-paving" pattern** on CT, which is not seen here. - It involves the accumulation of lipoproteinaceous material within the **alveoli**, rather than lymphatic infiltration. *Lung abscess* - A lung abscess would appear as a **cavitated lesion** with an air-fluid level, indicating necrosis and fluid accumulation, which is distinctly different from the interstitial markings in the image. - It is typically caused by **bacterial infection** and is a focal process, not diffuse interstitial infiltration. *Pneumatocele* - A pneumatocele is a **thin-walled, air-filled cyst** commonly seen after pneumonia in children or trauma, appearing as a clear, defined space on imaging. - It does not present with the diffuse reticulonodular pattern or interstitial thickening characteristic of the image.
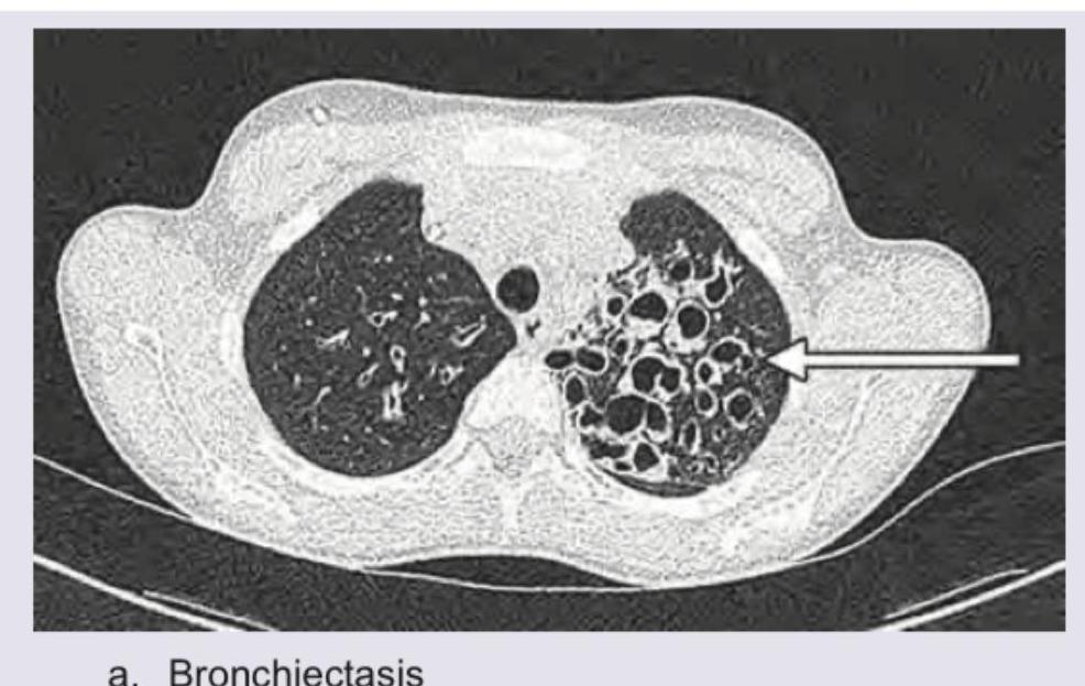
Question 20: The CT chest of a patient given below shows presence of: (Recent NEET Pattern 2016-17)
- A. Bronchiectasis (Correct Answer)
- B. Pneumatoceles
- C. Normal scan
- D. Loculated empyema
Explanation: ***Bronchiectasis*** - The CT image shows a cluster of **dilated, thick-walled bronchi** in the left lung, which are characteristic findings of bronchiectasis, especially when they are larger than adjacent pulmonary arteries. - The arrow specifically points to these abnormal, saccular dilations of the bronchi, often described as a **"cluster of grapes"** or **cystic appearance**. *Pneumatoceles* - **Pneumatoceles** are typically thin-walled, air-filled cysts that develop as a complication of pneumonia or trauma, and are usually solitary or few in number, not a widespread cluster of dilated airways. - They also often resolve spontaneously, unlike the chronic, irreversible bronchial dilation seen in the image. *Normal scan* - A **normal CT chest scan** would show finely branching airways that progressively narrow as they extend peripherally, without the presence of prominent thick-walled, dilated bronchi or cystic changes. - The image clearly depicts significant structural abnormalities in the left lung making a normal scan highly improbable. *Loculated empyema* - A **loculated empyema** would appear as a collection of pus within the pleural space, characterized by **fluid attenuation**, internal septations, and enhancement of the pleura. - None of these features are the primary findings seen in this image, which shows dilated airways rather than pleural fluid collections.