Anatomy
1 questionsWhich of the following area is marked in the histology of lymph node? (AIIMS May 2017)

INI-CET 2017 - Anatomy INI-CET Practice Questions and MCQs
Question 11: Which of the following area is marked in the histology of lymph node? (AIIMS May 2017)
- A. Mantle zone
- B. Marginal zone
- C. Germinal center (Correct Answer)
- D. Paracortical area
Explanation: ***Germinal center*** - The image illustrates a **germinal center**, characterized by its **lighter staining** and a distinct network of cells (likely follicular dendritic cells) which are responsible for B-cell proliferation and differentiation. - The pointer indicates the surrounding, more basophilic lymphocytes, often seen adjacent to the paler germinal center. *Mantle zone* - The mantle zone surrounds the germinal center and consists of **small, inactive B-lymphocytes** that stain more densely (darker) than the cells within the germinal center. - It would be seen as a darker ring immediately outside the lighter germinal center. *Marginal zone* - The marginal zone is typically found in the **spleen** and is a region of B cells that surrounds the white pulp. - It is not a primary structural component identified within the follicular architecture of a lymph node in the manner depicted. *Paracortical area* - The paracortex is primarily a **T-cell zone**, located between the follicles and the medulla within the lymph node. - It would not exhibit the distinct follicular structure with a light center and surrounding darker cells as shown.
Dermatology
1 questionsA 30-year-old male presents with joint pain and NSAIDs were prescribed. After one week, joint pain is persisting and he has developed brownish discoloration over nose as shown in the figure. This was due to: (AIIMS Nov 2017)

INI-CET 2017 - Dermatology INI-CET Practice Questions and MCQs
Question 11: A 30-year-old male presents with joint pain and NSAIDs were prescribed. After one week, joint pain is persisting and he has developed brownish discoloration over nose as shown in the figure. This was due to: (AIIMS Nov 2017)
- A. Melasma
- B. Chikungunya
- C. Fixed drug eruption (Correct Answer)
- D. Dengue
Explanation: ***Fixed drug eruption*** - A **fixed drug eruption (FDE)** is a localized cutaneous drug reaction that characteristically **recurs at the same site** upon re-exposure to the offending drug, presenting as well-demarcated erythematous patches, plaques, vesicles, or bullae that heal with **post-inflammatory hyperpigmentation** (brownish discoloration). - NSAIDs (particularly phenylbutazone, oxicams, and diclofenac) are among the **most common causes** of fixed drug eruption. The scenario describes **brownish discoloration on the nose** appearing one week after NSAID use, which represents the characteristic hyperpigmentation phase of FDE. - The **timing** (within 1-2 weeks of drug exposure), **localized distribution** (single site on nose), and **clinical presentation** (brownish patch after medication) are pathognomonic for fixed drug eruption. *Melasma* - **Melasma** causes symmetrical, patchy hyperpigmentation typically on sun-exposed facial areas (malar eminences, forehead, upper lip) and is associated with **hormonal factors** (pregnancy, oral contraceptives) or chronic sun exposure. - It develops **gradually over months**, not acutely within one week of medication use, and shows a bilateral, symmetrical pattern rather than a localized unilateral presentation. *Chikungunya* - **Chikungunya** is a mosquito-borne viral infection presenting with acute fever, severe polyarthralgia, and a **maculopapular or petechial rash** that appears during the febrile phase. - The rash is typically generalized and erythematous, not a localized brownish hyperpigmented patch. While joint pain is prominent, the temporal relationship with NSAID use and the specific skin finding (brownish discoloration post-medication) point away from viral arthritis. *Dengue* - **Dengue** fever presents with high fever, retro-orbital headache, myalgia, and a characteristic **blanching maculopapular or petechial rash** appearing 2-5 days after fever onset. - The rash is typically generalized and associated with systemic features (fever, thrombocytopenia, bleeding manifestations), not a localized brownish patch appearing after NSAID therapy without fever.
Internal Medicine
1 questionsA patient with HIV develops fever weight loss and diarrhea. Fecal examination shows isospora belli. He was given treatment with TMP - SMX. Diarrhea subsided but fever persisted. Bone marrow examination showed the following picture with intracellular fungi. Which of the following statements is wrong? (AIIMS Nov 2017)

INI-CET 2017 - Internal Medicine INI-CET Practice Questions and MCQs
Question 11: A patient with HIV develops fever weight loss and diarrhea. Fecal examination shows isospora belli. He was given treatment with TMP - SMX. Diarrhea subsided but fever persisted. Bone marrow examination showed the following picture with intracellular fungi. Which of the following statements is wrong? (AIIMS Nov 2017)
- A. It cannot be grown in SDA (Correct Answer)
- B. Spores are infective form
- C. It is intracellular budding yeast
- D. It can cause systemic disease
Explanation: ***It cannot be grown in SDA*** - The image shows **intracellular budding yeast** consistent with *Histoplasma capsulatum*. - *Histoplasma capsulatum* **can be cultured** on Sabouraud Dextrose Agar (SDA) as a mold at room temperature, making the statement that it cannot be grown in SDA incorrect. *Spores are infective form* - The infective form of *Histoplasma capsulatum* is indeed **microconidia (spores)**, which are inhaled into the lungs. - These spores convert to yeast forms in the host's body. *It is intracellular budding yeast* - The image clearly depicts **intracellular yeast cells within a macrophage**, a hallmark of *Histoplasma capsulatum* infection. - These yeast cells reproduce by **budding**, which is visible as smaller structures emerging from the main yeast cell. *It can cause systemic disease* - *Histoplasma capsulatum* is known to cause **histoplasmosis**, which can range from asymptomatic to severe disseminated disease, especially in **immunocompromised individuals like HIV patients**. - Systemic disease involves the spread of the fungus to organs beyond the lungs, such as the **bone marrow, liver, and spleen**, as evidenced by the bone marrow examination in the question.
Microbiology
1 questionsWhich causative organism is responsible for this disease?

INI-CET 2017 - Microbiology INI-CET Practice Questions and MCQs
Question 11: Which causative organism is responsible for this disease?
- A. Coxsackie virus (Correct Answer)
- B. Human herpes virus 7
- C. Pox virus
- D. Molluscum contagiosum virus
Explanation: ***Coxsackie virus*** - The images show typical lesions of **Hand-Foot-and-Mouth Disease (HFMD)**, characterized by **oral ulcers** (herpangina) and a vesiculopapular rash on the **palms, soles**, and sometimes buttocks. - HFMD is most commonly caused by **Coxsackie virus A16** and other enteroviruses. *Human herpes virus 7* - This virus is primarily associated with **roseola infantum (exanthem subitum)**, characterized by rapid onset of high fever followed by a rash after the fever breaks. - The rash is typically maculopapular and found on the trunk, not primarily on the palms, soles, and mouth as seen in the image. *Pox virus* - Poxviruses cause diseases like **smallpox** and **molluscum contagiosum**, which present with different types of lesions. - **Smallpox** lesions are deep-seated, painful pustules that evolve synchronously, and **molluscum contagiosum** manifests as pearly, umbilicated papules, neither matching the depicted oral and acral rash. *Molluscum contagiosum virus* - Molluscum contagiosum virus (MCV) is a type of **poxvirus** that causes the skin infection **molluscum contagiosum**. - Its characteristic lesions are **dome-shaped, pearly papules with central umbilication**, which are not consistent with the vesicular lesions and oral ulcers shown in the image.
Pathology
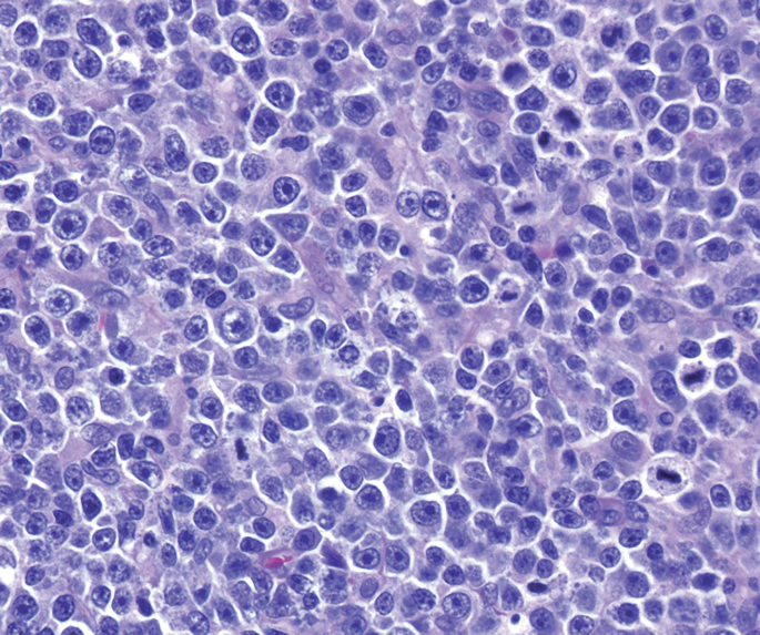
2 questionsA 35-year-old presented with fever. On examination he had enlarged and ulcerated tonsils. Since peripheral smear shows lymphocytosis, monospot test was done which is negative. Tonsillectomy was done and stained section is shown below. Large cells mixed with lymphocytes are seen. The cells are positive for CD20, EBVLMP-1, MUM1, CD 79a and CD 15 negative. The background cells are positive for CD3. Diagnosis is: (AIIMS May 2017)

A patient presented with mitral valve stenosis, identify the diagnosis from the mitral valve histopathology depicted below. (AIIMS Nov 2017)

INI-CET 2017 - Pathology INI-CET Practice Questions and MCQs
Question 11: A 35-year-old presented with fever. On examination he had enlarged and ulcerated tonsils. Since peripheral smear shows lymphocytosis, monospot test was done which is negative. Tonsillectomy was done and stained section is shown below. Large cells mixed with lymphocytes are seen. The cells are positive for CD20, EBVLMP-1, MUM1, CD 79a and CD 15 negative. The background cells are positive for CD3. Diagnosis is: (AIIMS May 2017)
- A. Infectious mononucleosis
- B. Hodgkin lymphoma
- C. EBV positive- DLBCL
- D. EBV positive- mucocutaneous ulcer (Correct Answer)
- E. Burkitt lymphoma
Explanation: ***EBV positive- mucocutaneous ulcer*** - The presence of **large B-cells (CD20+, CD79a+, MUM1+)** that are **EBV-positive (EBVLMP-1+)** in an ulcerated tonsil, with a **CD15 negative** profile and a background of **CD3+ T-cells**, in a patient with a negative monospot test, is characteristic of **EBV-positive mucocutaneous ulcer**. - This condition is a **polymorphic lymphoproliferative disorder** that typically presents as a localized ulcer and is associated with **immunosuppression** or **immunosenescence**, often resolving with reduced immunosuppression. *Infectious mononucleosis* - While also caused by **EBV** and presenting with **fever** and **enlarged/ulcerated tonsils**, infectious mononucleosis typically has a **positive monospot test** and shows reactive **T-cell lymphocytosis** on peripheral smear [1]. - The large cells in infectious mononucleosis are primarily **atypical T-lymphocytes**, not large B-cells with the described immunophenotype [1]. *Hodgkin lymphoma* - Hodgkin lymphoma is characterized by **Reed-Sternberg cells** and their variants, which are typically **CD15+** and **CD30+**, and **CD20 negative** (or weakly positive), which contradicts the given immunophenotype (CD20+, CD15-) [2][3]. - While some forms of Hodgkin lymphoma are EBV-associated [4], the overall immunophenotype and the description of "large cells mixed with lymphocytes" rather than classic Reed-Sternberg cells make this less likely [2]. *EBV positive- DLBCL* - **EBV-positive diffuse large B-cell lymphoma (DLBCL)** typically presents as a **mass-forming lesion** and is a more aggressive lymphoma. - While it shares the **EBV positivity** and **B-cell immunophenotype (CD20+, CD79a+, MUM1+)**, the clinical presentation as a localized ulcer in a potentially immunocompromised setting, along with the specific mention of "mucocutaneous ulcer," points more towards the distinct entity of EBV-positive mucocutaneous ulcer, which is often a more indolent, self-limiting process. **References:** [1] Kumar V, Abbas AK, et al.. Robbins and Cotran Pathologic Basis of Disease. 9th ed. Infectious Diseases, pp. 369-370. [2] Kumar V, Abbas AK, et al.. Robbins and Cotran Pathologic Basis of Disease. 9th ed. Diseases of White Blood Cells, Lymph Nodes, Spleen, and Thymus, pp. 614-616. [3] Cross SS. Underwood's Pathology: A Clinical Approach. 6th ed. Common Clinical Problems From Diseases Of The Urinary And Male Genital Tracts, pp. 556-557. [4] Kumar V, Abbas AK, et al.. Robbins and Cotran Pathologic Basis of Disease. 9th ed. Diseases of White Blood Cells, Lymph Nodes, Spleen, and Thymus, pp. 616-618.
Question 12: A patient presented with mitral valve stenosis, identify the diagnosis from the mitral valve histopathology depicted below. (AIIMS Nov 2017)
- A. Tuberculosis
- B. Rheumatic heart disease (Correct Answer)
- C. Myxomatous degeneration
- D. Viral myocarditis
Explanation: ***Rheumatic heart disease*** - **Rheumatic heart disease** is the most common cause of **mitral valve stenosis** and is characterized by **fibrosis** and **calcification** of the valve leaflets, often with **commissural fusion** [1]. - Histopathology would show features like **Aschoff bodies** (granulomas with Anitschkow cells) in the acute phase [3], and later **fibrous thickening** and **neovascularization** of the valve [1]. *Tuberculosis* - While tuberculosis can affect the heart (tuberculous pericarditis or myocarditis), it is an **extremely rare cause of isolated valvular stenosis**. - Histopathology would show **caseating granulomas** with **Langhans giant cells**, which are not typical findings in primary valvular stenosis. *Myxomatous degeneration* - **Myxomatous degeneration** primarily affects the **mitral valve**, leading to **mitral valve prolapse** and **regurgitation**, not stenosis. - Histopathology shows **accumulation of proteoglycans** and **disruption of collagen fibers** within the valve, making it floppy. *Viral myocarditis* - **Viral myocarditis** is an inflammation of the **myocardium** (heart muscle) and typically leads to **dilated cardiomyopathy** and **heart failure**, not primary valvular stenosis. - Histopathology would reveal **inflammatory infiltrates** (lymphocytes) and **myocyte necrosis**, not changes specific to valve stenosis. **References:** [1] Kumar V, Abbas AK, et al.. Robbins and Cotran Pathologic Basis of Disease. 9th ed. The Heart, pp. 566-567. [2] Cross SS. Underwood's Pathology: A Clinical Approach. 6th ed. Common Clinical Problems From Cardiovascular Disease, pp. 293-294. [3] Kumar V, Abbas AK, et al.. Robbins and Cotran Pathologic Basis of Disease. 9th ed. The Heart, p. 566.
Pediatrics
1 questionsA 7-year-old boy presents with fever and weight loss. On examination he had pallor with lymphadenopathy. Peripheral smear is shown below. Diagnosis is: (AIIMS May 2017)

INI-CET 2017 - Pediatrics INI-CET Practice Questions and MCQs
Question 11: A 7-year-old boy presents with fever and weight loss. On examination he had pallor with lymphadenopathy. Peripheral smear is shown below. Diagnosis is: (AIIMS May 2017)
- A. ALL (Correct Answer)
- B. AML
- C. Aplastic anemia
- D. Juvenile myelomonocytic leukemia
Explanation: ***ALL*** - The peripheral smear shows numerous **blasts** with **scanty cytoplasm**, **prominent nucleoli**, and a **high nuclear-to-cytoplasmic ratio**, which is characteristic of **acute lymphoblastic leukemia (ALL)**. - Clinical features such as **fever**, **weight loss**, **pallor**, and **lymphadenopathy** in a 7-year-old child are classic presentations of ALL, the most common childhood leukemia. *AML* - While AML also presents with acute symptoms and blasts, the blasts in AML typically have **more abundant cytoplasm**, and may contain **Auer rods**, which are not clearly visible here. - The **morphology of the blasts** in the image, with their uniformly high N/C ratio and immature appearance, points away from typical AML. *Aplastic anemia* - Aplastic anemia is characterized by **pancytopenia** in the peripheral blood and **hypocellular bone marrow**, meaning a significant reduction in all blood cell lines, and **lacks the presence of blasts**. - The image clearly displays a proliferation of immature cells (blasts), which is contrary to the pathology of aplastic anemia. *Juvenile myelomonocytic leukemia* - JMML is a rare disorder characterized by **monocytosis**, **splenomegaly**, and typically presents in very young children (median age 2 years), often with **rashes** and **adenopathy**. - While there is some overlap in symptoms, the predominant cell type in the smear does not suggest a significant monocytic component, and the clinical picture in a 7-year-old child is less typical for JMML without other defining features.
Radiology
3 questionsThe digital subtraction angiography given below shows? (AIIMS Nov 2017)

Which is not a finding of the Chest X-ray shown below? (AIIMS May 2017)

Comment on the diagnosis from the thyroid scan shown below. (AIIMS May 2017)

INI-CET 2017 - Radiology INI-CET Practice Questions and MCQs
Question 11: The digital subtraction angiography given below shows? (AIIMS Nov 2017)
- A. Intra-cranial pseudo-aneurysm
- B. Carotid-cavernous fistula (Correct Answer)
- C. Angiofibroma tumor blush
- D. Vein of Galen malformation
Explanation: ***Carotid-cavernous fistula*** - The image shows early opacification of the **cavernous sinus** and cerebral veins (indicated by the arrow) directly from the internal carotid artery, which is characteristic of a carotid-cavernous fistula. - This high-flow shunt between the arterial and venous systems leads to venous congestion and often presents with **pulsatile exophthalmos**, chemosis, and ophthalmoplegia. *Intra-cranial pseudo-aneurysm* - A pseudo-aneurysm typically appears as a sac-like outpouching from an artery, lacking a true vessel wall, and would not show direct early venous filling. - Pseudo-aneurysms are often caused by **trauma** or infection and may present with signs of hemorrhage if ruptured. *Angiofibroma tumor blush* - An angiofibroma would appear as a **hypervascular mass** with a dense, persistent tumor blush on angiography, but it would not show early direct shunting into veins. - These tumors are typically found in the nasopharynx and present with symptoms like **epistaxis** and nasal obstruction. *Vein of Galen malformation* - A **Vein of Galen malformation** is a developmental anomaly involving an arteriovenous fistula that drains into a dilated median prosencephalic vein, often presenting in infants with high-output heart failure. - While it is an arteriovenous malformation, its typical location and presentation are different from the findings shown in this image, which demonstrates shunting in the region of the cavernous sinus.
Question 12: Which is not a finding of the Chest X-ray shown below? (AIIMS May 2017)
- A. Narrow vascular pedicle (Correct Answer)
- B. Pulmonary venous hypertension
- C. Increased CT ratio
- D. Acute cardiophrenic angle
Explanation: ***Narrow vascular pedicle*** - The image shows a **markedly enlarged cardiac silhouette** with a **"flask-shaped" or "water bottle" heart**, classic for pericardial effusion. In this condition, the vascular pedicle (the mediastinal structures above the heart including the aorta and superior vena cava) is typically **normal to widened** due to venous congestion. - A **narrow vascular pedicle** is characteristically seen in hypovolemia, dehydration, or certain congenital heart diseases with reduced pulmonary blood flow (e.g., tetralogy of Fallot). This finding is **NOT present** in this radiograph. - This is the **most definitively absent finding** among the options listed. *Pulmonary venous hypertension* - The chest X-ray shows prominent pulmonary vascular markings, particularly in the upper lobes, indicative of **cephalization of vessels**, a classic sign of pulmonary venous hypertension. - This occurs due to increased pressure in the pulmonary veins, commonly seen in congestive heart failure or significant pericardial effusion with cardiac tamponade physiology. - This finding **IS present** on the radiograph. *Increased CT ratio* - The **cardiothoracic (CT) ratio** is markedly increased, with the cardiac silhouette clearly exceeding 50% of the thoracic diameter. This indicates **cardiomegaly**, which can result from cardiac chamber enlargement or pericardial effusion. - The extreme enlargement seen here, with the globular "water bottle" configuration, is pathognomonic for large pericardial effusion. - This finding **IS present** on the radiograph. *Acute cardiophrenic angle* - The cardiophrenic angles (the angles formed where the heart border meets the diaphragm laterally) appear **blunted or obtuse** rather than acute (sharp). - While the term "acute cardiophrenic angle" typically refers to the normal sharp angle seen in healthy individuals, the phrasing here is ambiguous. The **angles themselves are present but blunted**, not acute. - However, compared to "narrow vascular pedicle," the blunting of these angles IS a radiographic finding that can be observed, even if abnormal. The vascular pedicle narrowness is completely absent.
Question 13: Comment on the diagnosis from the thyroid scan shown below. (AIIMS May 2017)
- A. Papillary cancer thyroid
- B. Hypersecreting adenoma (Correct Answer)
- C. Grave's disease
- D. Lateral aberrant thyroid
Explanation: ***Hypersecreting adenoma*** - The thyroid scan shows a **single, intensely "hot" nodule**, indicating increased uptake of the radioactive tracer in a localized area. - This pattern is characteristic of a **hyperfunctioning thyroid adenoma**, where the adenoma produces hormones independently, leading to suppression of the rest of the normal thyroid tissue (which appears "cold" or has reduced uptake). *Papillary cancer thyroid* - Papillary thyroid cancer typically appears as a **"cold" nodule** on a thyroid scan, meaning it has reduced or no tracer uptake. - Malignant nodules generally do **not accumulate iodine** as efficiently as normal thyroid tissue or hyperfunctioning benign nodules. *Grave's disease* - Grave's disease presents with **diffuse uptake of the tracer** throughout the entire thyroid gland, not a single localized hot nodule. - The entire gland is generally enlarged and hyperactive, showing **symmetrically increased uptake**. *Lateral aberrant thyroid* - A lateral aberrant thyroid refers to **ectopic thyroid tissue** usually found in the neck, often in lymph nodes due to metastatic papillary carcinoma. - While it involves thyroid tissue outside the normal gland, it wouldn't typically manifest as a single hyperfunctioning nodule within the main thyroid gland, and most ectopic thyroid tissue would show varying uptake depending on its function or if it's metastatic cancer.