INI-CET 2017 — Internal Medicine
5 Previous Year Questions with Answers & Explanations
A middle-aged woman with a history of backache who underwent a Schober test and tested positive, and who also has hyperpigmented nose and ears, is most likely diagnosed with:
A patient with HIV develops fever weight loss and diarrhea. Fecal examination shows isospora belli. He was given treatment with TMP - SMX. Diarrhea subsided but fever persisted. Bone marrow examination showed the following picture with intracellular fungi. Which of the following statements is wrong? (AIIMS Nov 2017)

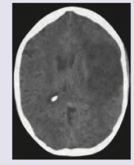
A middle-aged patient presents with history of left sided weakness for 2 days. Currently the patient is extremely drowsy and underwent a NCCT brain. Which of the following is the best treatment for this patient? (AIIMS Nov 2017)

A 50-year-old man presents with frontal bossing, enlarged tongue and following appearance of hand. Which of the following tests should be done in this patient?

Identify the sleep stage in the following Polysomnograph.

INI-CET 2017 - Internal Medicine INI-CET Practice Questions and MCQs
Question 1: A middle-aged woman with a history of backache who underwent a Schober test and tested positive, and who also has hyperpigmented nose and ears, is most likely diagnosed with:
- A. Ankylosing spondylitis
- B. Degenerative disc disease
- C. Ochronosis (Correct Answer)
- D. Fluorosis
Explanation: ***Ochronosis*** - **Hyperpigmentation of the nose and ears** (due to homogentisic acid accumulation) along with **backache** and a positive **Schober test** (indicating spinal inflexibility from ochronotic arthropathy) are classic features of ochronosis. - This inherited disorder results from a deficiency of **homogentisic acid oxidase**, leading to the accumulation of homogentisic acid. *Ankylosing spondylitis* - While **backache** and a positive **Schober test** (indicating axial skeleton involvement) are characteristic of ankylosing spondylitis, it does not typically present with **hyperpigmented nose and ears**. - **HLA-B27 positivity** and inflammatory back pain improving with activity are key differentiating features not mentioned. *Degenerative disc disease* - This condition is characterized by **chronic backache** due to age-related changes in the intervertebral discs but does not cause **hyperpigmentation of the nose and ears**. - A **positive Schober test** is less specific for degenerative disc disease and is more indicative of widespread spinal stiffness. *Fluorosis* - While severe fluorosis can lead to **skeletal changes** and pain mimicking arthritis, it is primarily associated with **dental mottling** and does not cause characteristic hyperpigmentation of the nose and ears. - มัน usually results from excessive fluoride intake, often from contaminated drinking water.
Question 2: A patient with HIV develops fever weight loss and diarrhea. Fecal examination shows isospora belli. He was given treatment with TMP - SMX. Diarrhea subsided but fever persisted. Bone marrow examination showed the following picture with intracellular fungi. Which of the following statements is wrong? (AIIMS Nov 2017)
- A. It cannot be grown in SDA (Correct Answer)
- B. Spores are infective form
- C. It is intracellular budding yeast
- D. It can cause systemic disease
Explanation: ***It cannot be grown in SDA*** - The image shows **intracellular budding yeast** consistent with *Histoplasma capsulatum*. - *Histoplasma capsulatum* **can be cultured** on Sabouraud Dextrose Agar (SDA) as a mold at room temperature, making the statement that it cannot be grown in SDA incorrect. *Spores are infective form* - The infective form of *Histoplasma capsulatum* is indeed **microconidia (spores)**, which are inhaled into the lungs. - These spores convert to yeast forms in the host's body. *It is intracellular budding yeast* - The image clearly depicts **intracellular yeast cells within a macrophage**, a hallmark of *Histoplasma capsulatum* infection. - These yeast cells reproduce by **budding**, which is visible as smaller structures emerging from the main yeast cell. *It can cause systemic disease* - *Histoplasma capsulatum* is known to cause **histoplasmosis**, which can range from asymptomatic to severe disseminated disease, especially in **immunocompromised individuals like HIV patients**. - Systemic disease involves the spread of the fungus to organs beyond the lungs, such as the **bone marrow, liver, and spleen**, as evidenced by the bone marrow examination in the question.
Question 3: A middle-aged patient presents with history of left sided weakness for 2 days. Currently the patient is extremely drowsy and underwent a NCCT brain. Which of the following is the best treatment for this patient? (AIIMS Nov 2017)
- A. Aspirin/Clopidogrel
- B. Mechanical thrombectomy
- C. Mannitol
- D. Decompressive surgery (Correct Answer)
Explanation: ***Decompressive surgery*** - The NCCT image shows a **large, well-demarcated hypodensity in the right cerebral hemisphere**, characteristic of a **subacute to chronic ischemic infarct with significant edema and mass effect**. This is evidenced by the effaced sulci, compressed ventricles on the right, and likely midline shift, causing the patient's **drowsiness** and **left-sided weakness**. - Given the patient's **drowsiness** (indicating rising intracranial pressure) and significant mass effect from the large infarct, **decompressive craniectomy** is often a life-saving measure to reduce intractable intracranial pressure and prevent further herniation in cases of malignant middle cerebral artery (MCA) infarction. *Aspirin/Clopidogrel* - These are **antiplatelet medications used for secondary stroke prevention** after an acute ischemic event. - They are not the primary treatment for an **existing large infarct with mass effect and neurological deterioration** (drowsiness), as they do not address the acute intracranial pressure. *Mechanical thrombectomy* - This procedure is indicated for **acute ischemic stroke due to large vessel occlusion**, typically performed within a very narrow time window (usually up to 6-24 hours) from symptom onset. - The patient presents two days after symptom onset, and the CT findings suggest a **subacute to chronic infarct that has completed evolution**, making thrombectomy ineffective and potentially harmful. *Mannitol* - Mannitol is an **osmotic diuretic used to acutely reduce intracranial pressure (ICP)** in situations like cerebral edema. - While it can provide temporary relief, it is often insufficient for profound edema and mass effect from a **large, evolving infarct** that is causing significant neurological decline (drowsiness), and it does not treat the underlying structural issue.
Question 4: A 50-year-old man presents with frontal bossing, enlarged tongue and following appearance of hand. Which of the following tests should be done in this patient?
- A. Insulin like growth factor (Correct Answer)
- B. Thyroid hormone assay
- C. Serum prolactin
- D. Serum Testosterone
Explanation: ***Insulin like growth factor*** - The patient's symptoms of **frontal bossing**, **enlarged tongue (macroglossia)**, and the image showing an **enlarged hand** (suggestive of **acral enlargement**) are classic features of **acromegaly**. - **Insulin-like growth factor 1 (IGF-1)** is the best screening test for acromegaly because its levels are stable throughout the day and reflect integrated GH secretion; elevated IGF-1 is indicative of the condition. *Thyroid hormone assay* - This test measures **thyroid function** and is primarily used to diagnose conditions like **hypothyroidism** or **hyperthyroidism**. - While some symptoms of thyroid disorders can overlap with other conditions, the specific constellation of **acral enlargement**, **macroglossia**, and **frontal bossing** is not typical for thyroid dysfunction. *Serum prolactin* - **Serum prolactin** is primarily used to assess for **hyperprolactinemia**, which can cause symptoms like **galactorrhea** or **hypogonadism**. - While a **prolactinoma** (a pituitary tumor secreting prolactin) can sometimes coexist with a **growth hormone-secreting tumor**, prolactin itself is not the direct cause of acromegalic features, and its assay is not the initial diagnostic test for acromegaly. *Serum Testosterone* - **Serum testosterone** levels are assessed in cases of suspected **hypogonadism** or other **androgen-related disorders**. - The clinical presentation with **acral enlargement** and **facial changes** is not characteristic of testosterone deficiency or excess.
Question 5: Identify the sleep stage in the following Polysomnograph.
- A. NREM stage 2 (Correct Answer)
- B. NREM stage 3
- C. REM
- D. NREM stage 1
Explanation: ***NREM stage 2*** - The **EEG** shows prominent **sleep spindles** (bursts of 12-14 Hz waves) and **K-complexes** (high-amplitude biphasic waves), which are characteristic features of NREM stage 2 sleep. - The EOG channels indicate slow eye movements or an absence of rapid eye movements, consistent with NREM sleep, while the **EMG shows moderate muscle tone**, higher than in REM sleep but lower than wakefulness. *NREM stage 3* - This stage is characterized by **delta waves**, which are slow waves with high amplitude (0.5-2 Hz, often >75 μV) on the EEG, comprising 20% or more of the epoch, and are not significantly visible here. - While muscle tone is still present, the EEG would primarily show widespread **slow-wave activity**, distinguishing it from the sleep spindles and K-complexes seen in the image. *REM* - **Rapid eye movements** would be clearly visible on the EOG channels, which are not prevalent in this polysomnograph. - The **EMG would show very low muscle tone** (atonia), which is not the case here, and the EEG would largely consist of low-voltage, mixed-frequency activity, similar to wakefulness. *NREM stage 1* - This stage is typically characterized by a **disappearance of alpha waves** from the EEG and the presence of **theta waves** (4-7 Hz). - While there may be slow eye movements on the EOG, **sleep spindles and K-complexes are absent** in NREM stage 1, making it distinct from the presented polysomnograph.