Heme Malignancies - Blood Cancer Basics
- Core Defect: Uncontrolled proliferation of hematopoietic cells, leading to bone marrow failure & organ infiltration.
- Key Symptoms: Often nonspecific. Anemia (fatigue), neutropenia (infections), thrombocytopenia (bleeding). Constitutional "B" symptoms: fever, drenching night sweats, unintentional weight loss >10%.
- Diagnosis: Starts with CBC & peripheral smear; confirmed with bone marrow biopsy & aspirate.
⭐ Auer rods-pathognomonic, eosinophilic needle-like inclusions in the cytoplasm-are virtually diagnostic for Acute Myeloid Leukemia (AML).
Leukemias - Proliferation Gone Wild
- Uncontrolled proliferation of hematopoietic stem cells, leading to bone marrow failure.
- Acute Leukemias: Rapid onset, >20% blasts in marrow. Presents with pancytopenia (fatigue, infections, bleeding).
- Chronic Leukemias: Insidious onset, well-differentiated (mature) cells. Often asymptomatic, found on routine CBC.
- Myeloid (AML/CML): Involves precursors of granulocytes, monocytes, RBCs, or platelets.
- Lymphoid (ALL/CLL): Involves B or T lymphocytes.
⭐ ALL is the most common childhood malignancy. In adults, AML and CLL are most common.

Lymphomas - Lymph Node Nightmares
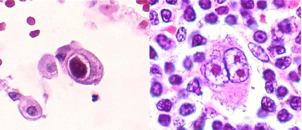
- Hodgkin Lymphoma (HL):
- Characterized by Reed-Sternberg (RS) cells (CD15+, CD30+).
- Contiguous, predictable spread; localized, single group of nodes.
- Better prognosis than NHL.
- 📌 Mnemonic for B-symptoms: Fat Weeping Nun (Fever, Weight loss, Night sweats).
- Non-Hodgkin Lymphoma (NHL):
- Diverse group of B-cell & T-cell malignancies.
- Non-contiguous, widespread spread; multiple peripheral nodes.
- Associated with immunosuppression (HIV, autoimmune disease).

⭐ B symptoms (unexplained fever >38°C, drenching night sweats, weight loss >10% in 6 months) are common in HL and indicate a worse prognosis.
Plasma Cell Neoplasms - Myeloma Madness
- Multiple Myeloma (MM): Malignant plasma cell clone producing monoclonal immunoglobulin (M-protein), leading to end-organ damage.
- 📌 CRAB Criteria: Calcium (>11.5 mg/dL), Renal insufficiency (Cr >2), Anemia (Hgb <10), Bone lytic lesions.
- Key Labs: M-spike on protein electrophoresis (IgG > IgA), Bence-Jones proteinuria.

⭐ Rouleaux formation (RBCs stacked like coins) is caused by ↑ serum paraproteins that decrease RBC surface charge.
- Leukemias arise in the bone marrow; lymphomas originate in lymphoid tissue.
- Acute leukemias feature >20% blasts and rapid onset; chronic leukemias show mature cells and an insidious course.
- Hodgkin lymphoma is defined by Reed-Sternberg cells and spreads contiguously; Non-Hodgkin lymphomas are diverse and spread non-contiguously.
- Multiple myeloma is a plasma cell cancer causing CRAB symptoms (hyperCalcemia, Renal failure, Anemia, Bone lesions).
- Key translocations: CML has t(9;22) Philadelphia chromosome; APL has t(15;17).
Unlock the full lesson and continue reading
Signup to continue reading this lesson and unlimited access questions, flashcards, AI notes, and more