Quick Overview
Appendicitis is the most common surgical emergency, affecting ~7% of the population. Diagnosis relies on clinical scoring systems (Alvarado, AIR), selective imaging, and management pathways ranging from antibiotic-first approaches to emergency appendicectomy. NICE NG141 emphasizes risk stratification and evidence-based decision-making for optimal outcomes.
Core Facts & Concepts
Clinical Scoring Systems:
| Score | Components | Interpretation |
|---|---|---|
| Alvarado | Migration of pain (1), Anorexia (1), Nausea/vomiting (1), RIF tenderness (2), Rebound (1), Fever >37.3°C (1), Leukocytosis (2), Left shift (1) | ≤4: low risk; 5-6: moderate; ≥7: high probability |
| AIR | Vomiting (1), RIF pain (1), Rebound/guarding (1-3), Temp >38.5°C (1), WCC 10-14.9 (1) or ≥15 (2), CRP 10-49 (1) or ≥50 (2) | 0-4: low; 5-8: intermediate; 9-12: high |
Key Thresholds:
- Imaging indication: Alvarado 5-6 or AIR 5-8 (diagnostic uncertainty)
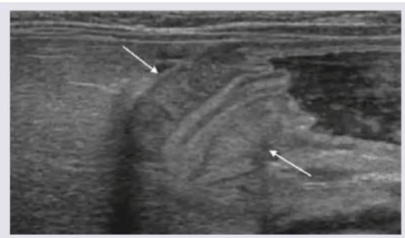
- First-line imaging: Ultrasound (children/women of childbearing age); CT if inconclusive
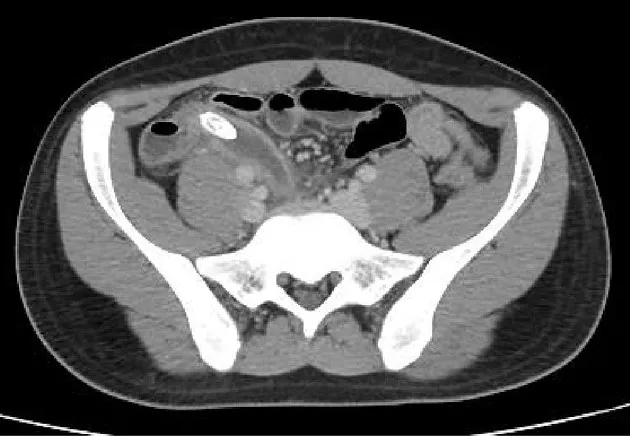
- Appendix diameter: >6mm on imaging suggests appendicitis
- Complicated appendicitis: Perforation, abscess (>3cm), or gangrene

Management Pathways (NICE NG141):
- Uncomplicated appendicitis: Appendicectomy within 24 hours OR antibiotic-first approach (if patient preference, suitable for conservative management)
- Antibiotics: Co-amoxiclav 1.2g IV TDS OR cefuroxime 1.5g + metronidazole 500mg IV TDS
- Complicated with abscess <3cm: Immediate appendicectomy
- Abscess ≥3cm: Percutaneous drainage + IV antibiotics → interval appendicectomy at 6-8 weeks
Problem-Solving Approach
Diagnostic Workflow:
- Clinical assessment: RIF pain, migration from periumbilical region, fever, anorexia
- Calculate Alvarado/AIR score to stratify risk
- Low scores (Alvarado ≤4, AIR 0-4): Discharge with safety-netting; consider alternative diagnoses
- Intermediate scores (Alvarado 5-6, AIR 5-8): Arrange imaging within 4 hours
- High scores (Alvarado ≥7, AIR 9-12): Proceed to appendicectomy without routine imaging

🚩 Red Flags for Complicated Appendicitis:
- Symptoms >48 hours
- Palpable RIF mass
- Systemic sepsis (HR >90, temp >38°C, rigors)
- Peritonism with guarding/rigidity
Decision Points:
- Antibiotic-first vs surgery: Offer antibiotics if uncomplicated + patient preference; warn 30% recurrence at 1 year
- Laparoscopic vs open: Laparoscopic preferred (faster recovery, less wound infection) unless hemodynamically unstable
- Interval appendicectomy: Mandatory after conservative management of abscess (exclude malignancy in >40 years)
Analysis Framework
Differential Diagnosis Discriminators:
| Condition | Key Features | Distinguishing Test |
|---|---|---|
| Appendicitis | RIF pain, fever, raised WCC/CRP | CT: inflamed appendix >6mm |
| Ectopic pregnancy | Amenorrhea, +βhCG, shoulder tip pain | Transvaginal USS |
| Ovarian torsion | Sudden severe pain, vomiting, adnexal mass | Doppler USS: absent flow |
| Mesenteric adenitis | URTI preceding, mobile tenderness | CT: enlarged mesenteric nodes |
| Crohn's disease | Chronic symptoms, diarrhea, weight loss | MRI enterography |
⭐ Clinical Pearl: Psoas sign (pain on right hip extension) and obturator sign (pain on internal rotation) suggest retrocaecal/pelvic appendicitis.
Visual Aid
Key Points Summary
✓ Alvarado ≥7 or AIR 9-12: Proceed to surgery without imaging (high probability)
✓ Imaging threshold: Scores 5-6 (Alvarado) or 5-8 (AIR) warrant USS/CT within 4 hours
✓ Antibiotic-first: Valid for uncomplicated appendicitis; 30% recurrence rate at 1 year
✓ Abscess ≥3cm: Percutaneous drainage + interval appendicectomy at 6-8 weeks (not immediate surgery)
✓ Laparoscopic preferred: Lower wound infection, faster recovery unless unstable
✓ Negative appendicectomy rate: Acceptable at 15-20% to avoid missed diagnoses
✓ >40 years with mass: Interval appendicectomy mandatory to exclude caecal malignancy
Unlock the full lesson and continue reading
Signup to continue reading this lesson and unlimited access questions, flashcards, AI notes, and more