Quick Overview
Anaemia investigation requires systematic interpretation of MCV, blood film morphology, and iron studies to identify underlying causes. NICE NG8 provides referral criteria for suspected haematological malignancy. A structured approach distinguishes microcytic, normocytic, and macrocytic patterns, guiding targeted investigation and timely specialist referral when indicated.
Core Facts & Concepts
📊 Anaemia Definitions (WHO criteria)
- Men: Hb <130 g/L | Women: Hb <120 g/L | Pregnancy: Hb <110 g/L
MCV Classification
- Microcytic: <80 fL (iron deficiency, thalassaemia, anaemia of chronic disease)
- Normocytic: 80-100 fL (acute blood loss, haemolysis, chronic disease, renal failure)
- Macrocytic: >100 fL (B12/folate deficiency, alcohol, hypothyroidism, myelodysplasia)
Iron Studies Patterns
| Parameter | Iron Deficiency | Anaemia Chronic Disease | Thalassaemia Trait |
|---|---|---|---|
| Ferritin | ↓ (<30 μg/L) | Normal/↑ (>100 μg/L) | Normal/↑ |
| Serum Iron | ↓ | ↓ | Normal |
| TIBC | ↑ | ↓ | Normal |
| Transferrin Sat | ↓ (<16%) | ↓ | Normal |

Key Numbers
- Reticulocyte count: Normal 50-100 × 10⁹/L (↑ suggests haemolysis/bleeding, ↓ suggests production failure)
- B12 deficiency threshold: <200 ng/L
- Folate deficiency: <7 nmol/L
Problem-Solving Approach
Step-by-Step Investigation
- Confirm anaemia → Check Hb against age/sex-specific thresholds
- Determine MCV category → Microcytic/normocytic/macrocytic
- Review blood film → Morphology guides differential diagnosis
- Order targeted tests:
- Microcytic: Ferritin, iron studies, haemoglobin electrophoresis (if ferritin normal)
- Macrocytic: B12, folate, TFTs, reticulocytes, LFTs (alcohol screen)
- Normocytic: Reticulocytes, renal function, haemolysis screen if ↑ reticulocytes

🚩 NICE NG8 Urgent Referral Criteria (2-week wait)
- Hb <100 g/L (men) or <90 g/L (women) without obvious cause
- Unexplained lymphadenopathy + anaemia
- Splenomegaly + anaemia
- Persistent unexplained anaemia after investigation
Red Flags Requiring Immediate Action
- Hb <70 g/L → Consider transfusion
- Signs of cardiac decompensation
- Suspected haemolytic crisis (jaundice + dark urine + ↑ reticulocytes)
⚠️ Warning: Always investigate microcytic anaemia in men and post-menopausal women for GI malignancy (colonoscopy + OGD) after confirming iron deficiency
Analysis Framework
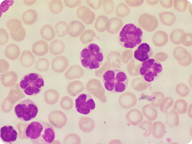
Blood Film Morphology: Discriminating Features
| Finding | Primary Differential | Key Associated Tests |
|---|---|---|
| Hypochromic microcytic cells | Iron deficiency, thalassaemia | Ferritin, Hb electrophoresis |
| Hypersegmented neutrophils | B12/folate deficiency | Serum B12, red cell folate |
| Spherocytes | Hereditary spherocytosis, AIHA | Direct Coombs test, osmotic fragility |
| Target cells | Thalassaemia, liver disease | Hb electrophoresis, LFTs |
| Schistocytes | Microangiopathic haemolysis | LDH, haptoglobin, coagulation screen |
| Rouleaux formation | Myeloma, inflammation | Serum protein electrophoresis, ESR |
B12 vs Folate Deficiency
- B12: Subacute combined degeneration (posterior columns + corticospinal tracts), glossitis, peripheral neuropathy
- Folate: Pregnancy-related, no neurological features
- Both: Macrocytosis, hypersegmented neutrophils, ↑ LDH, ↑ bilirubin (ineffective erythropoiesis)
📌 Remember: TAILS for iron deficiency causes - Tea (tannins), Achlorhydria/PPI, IBD, Loss (menstruation/GI bleeding), Surgery (gastrectomy)
Visual Aid
Reticulocyte Response Interpretation
| Clinical Scenario | Reticulocyte Count | Interpretation |
|---|---|---|
| Acute haemorrhage | ↑↑ (>100 × 10⁹/L) | Appropriate marrow response |
| Iron/B12 deficiency | ↓ or normal | Production failure |
| Post-treatment (Fe/B12) | ↑↑ (peak day 7-10) | Confirms diagnosis retrospectively |
| Aplastic anaemia | ↓↓ (<20 × 10⁹/L) | Marrow failure |
Key Points Summary
✓ MCV classification is the first step: microcytic (<80), normocytic (80-100), macrocytic (>100 fL)
✓ Ferritin <30 μg/L confirms iron deficiency; investigate GI source in men/post-menopausal women (mandatory colonoscopy + OGD)
✓ NICE NG8: Refer urgently if Hb <100 g/L (men) or <90 g/L (women) without clear cause
✓ Hypersegmented neutrophils (≥6 lobes) are pathognomonic for megaloblastic anaemia (B12/folate deficiency)
✓ Reticulocyte count distinguishes production failure (↓) from haemolysis/bleeding (↑↑)
✓ Thalassaemia trait: microcytosis with normal/raised ferritin and disproportionately low MCV for degree of anaemia
✓ Never treat B12 deficiency with folate alone - risks precipitating subacute combined degeneration
Unlock the full lesson and continue reading
Signup to continue reading this lesson and unlimited access questions, flashcards, AI notes, and more