GU Basics & Renal Trauma - First Aid & Kidney Cracks
- Primary Survey: ABCDEs. Suspect GU injury with flank pain, tenderness, ecchymosis (Grey Turner's/Cullen's signs), or hematuria.
- Renal Trauma: Most common GU organ injured, primarily by blunt trauma (MVCs, falls).
- Key Imaging Indications (CT Scan):
- All penetrating trauma.
- Blunt trauma with gross hematuria.
- Blunt trauma with microscopic hematuria AND shock (SBP < 90 mmHg).
- Major deceleration injuries.
- Pediatric trauma with >50 RBCs/HPF.
- Key Imaging Indications (CT Scan):
⭐ Hematuria (gross or microscopic) with shock is a strong indicator for renal imaging in trauma.

- Management Principles:
- Most renal injuries (Grades I-III, select IV) managed non-operatively.
- Surgery for: hemodynamic instability, Grade V (e.g., shattered kidney, pedicle injury), expanding/pulsatile retroperitoneal hematoma. 📌 SHOCK + HEMATURIA = CT SCAN!
Ureter & Bladder Trauma - Tube Trouble & Tank Tears
Ureteric Injury:
- Causes: Iatrogenic (gynae/colorectal surgery > urologic), penetrating trauma. Blunt (rare).
- 📌 "Water under the bridge": Uterine artery crosses ureter.
- Sx: Often delayed. Flank pain, fever, urinoma, hematuria.
- Dx: CT urogram (gold standard), retrograde pyelography.
- Mx:
- Partial: Stenting, primary repair.
- Complete: Ureteroureterostomy, Boari flap, psoas hitch.
Bladder Injury:
- Assoc. w/ pelvic fractures (~80%).
- Types: Contusion, Extraperitoneal (EPR), Intraperitoneal (IPR).
- Sx: Gross hematuria, suprapubic pain, inability to void.
- EPR: Localized signs.
- IPR: Peritonitis.
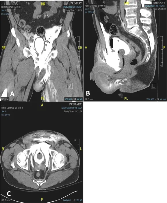
- Dx: Retrograde cystography / CT cystography.
- EPR: "Molar tooth" sign (extravasation).
- IPR: Contrast around bowel.
⭐ Pelvic fracture with gross hematuria strongly suggests bladder injury; cystography is key.
- Mx:
- Contusion/EPR (uncomplicated): Catheter drainage (7-14 days).
- IPR/EPR (complicated): Surgical repair.

Urethral & Genital Trauma - Pipe Pain & Parts Predicament
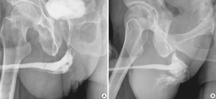
- Urethral Injury:
- Types: Posterior (pelvic #; prostatomembranous), Anterior (straddle; bulbar/pendulous).
- Signs: 📌 BUMPH (Blood at meatus, Unable to void, Meatal/perineal swelling, Pelvic fracture, High-riding prostate).
-
⭐ Blood at the urethral meatus is a cardinal sign of urethral injury; perform Retrograde Urethrogram (RUG) before catheterization.
- Management:
- Partial tear: Suprapubic cystostomy (SPC) or gentle catheter. Early endoscopic realignment possible.
- Complete tear: SPC, then delayed repair (3-6 months). Early endoscopic realignment also an option.
- Complications: Stricture, incontinence, impotence.
- Penile Fracture:
- Rupture of tunica albuginea (corpus cavernosum). Audible snap, pain, detumescence, "Eggplant" deformity.
- Surgical emergency: immediate repair.
- Testicular Trauma:
- Blunt (common) or penetrating.
- Dx: Ultrasound (integrity, hematoma).
- Mgmt: Conservative (contusion/small hematoma). Surgery for rupture/large hematoma.

High‑Yield Points - ⚡ Biggest Takeaways
- Renal trauma: Most common; hematuria is key sign; CT scan for diagnosis.
- Bladder rupture: Suspect with pelvic fractures & gross hematuria; retrograde cystography is diagnostic. Intraperitoneal type needs surgery.
- Posterior urethral injury: With pelvic fractures; blood at meatus, high-riding prostate. RUG confirms.
- Anterior urethral injury: Typically from straddle injury.
- Testicular rupture: Needs surgical exploration; ultrasound aids diagnosis.
- Penile fracture: Tunica albuginea rupture; a surgical emergency_._
Unlock the full lesson and continue reading
Signup to continue reading this lesson and unlimited access questions, flashcards, AI notes, and more