Pediatric Tumors: General Concepts - Tiny Terrors Intro
-
Differ from adult tumors: embryonal origin (vs. epithelial), better prognosis, often chemo/radiosensitive.
-
Common patterns: often arise from developmental rests; may regress spontaneously (e.g., neuroblastoma).
-
Key Genetic Syndromes & Associated Tumors:
Syndrome Associated Tumors Beckwith-Wiedemann Wilms tumor, hepatoblastoma, neuroblastoma Li-Fraumeni Sarcomas, brain tumors, leukemia, adrenocortical Ca Neurofibromatosis 1 (NF1) Neurofibromas, optic glioma, pheochromocytoma WAGR Syndrome Wilms tumor, Aniridia, Genitourinary anomalies, mental Retardation Denys-Drash Syndrome Wilms tumor, gonadal dysgenesis, nephropathy
⭐ Small round blue cell tumors (e.g., neuroblastoma, Ewing sarcoma, Wilms tumor, rhabdomyosarcoma, lymphoma/leukemia) are a characteristic group in pediatric oncology.
Neuroblastoma - Adrenal Annihilators
- Origin: Neural crest cells (sympathetic nervous system).
- Sites: Adrenal medulla (most common), paraspinal ganglia.
- Age: Median ~2 years; prognosis significantly better if <18 months.
- Presentation: Abdominal mass (firm, irregular, often crosses midline), opsoclonus-myoclonus syndrome ("dancing eyes, dancing feet"), Horner's syndrome, blueberry muffin rash (skin mets).
- Investigations: ↑ Urine VMA/HVA; MIBG scan (specific uptake); Bone marrow biopsy (staging).
- Staging: INSS / INRGSS systems.
- Prognostic Factors: Age (<18mo favorable), stage (lower better), N-myc amplification (📌 Nasty MYC = poor prognosis), histology (Shimada: favorable/unfavorable).
⭐ Neuroblastoma is known for spontaneous regression, especially in infants <1 year with Stage 4S disease.
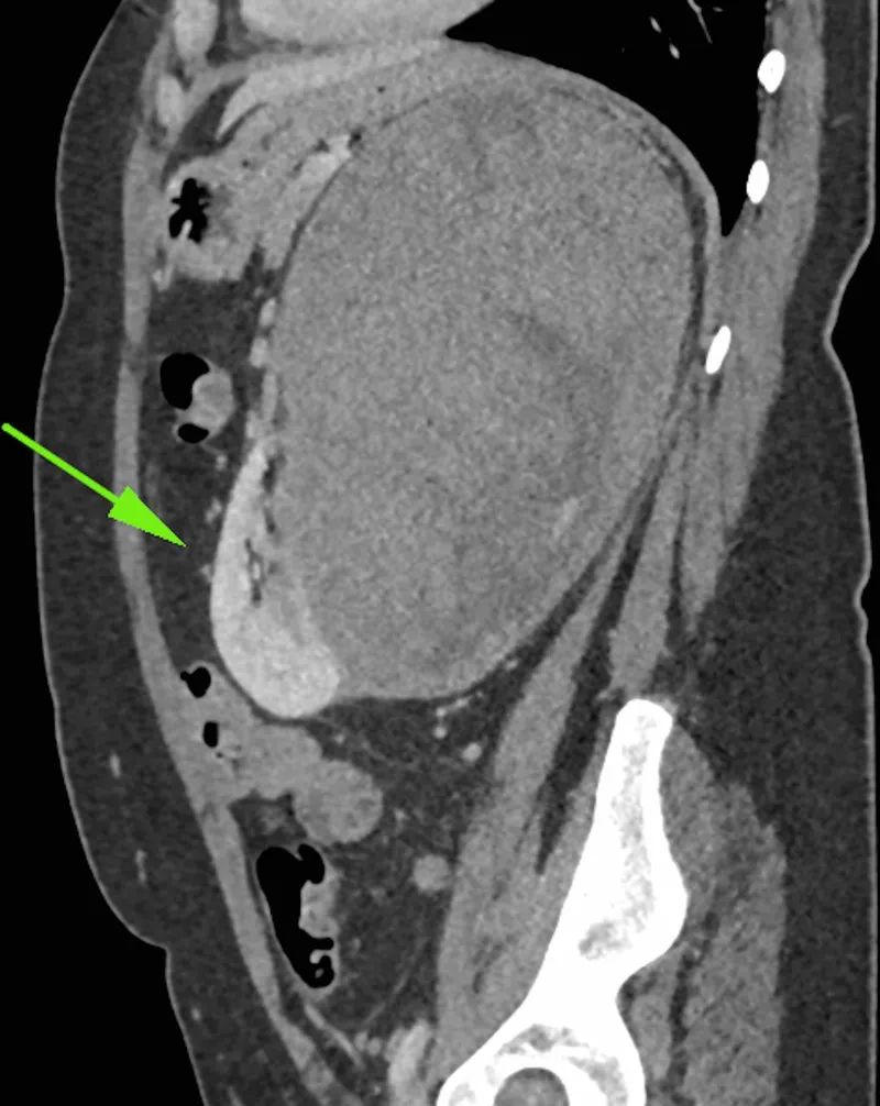
Wilms Tumor - Kidney Kidnappers

- Origin: Metanephric blastema (embryonic kidney cells).
- Age: Peak 3-4 yrs; 90% diagnosed < 7 yrs. Usually unilateral.
- Presentation: Asymptomatic abdominal mass (most common; smooth, firm, rarely crosses midline). Hematuria, hypertension (renin ↑), abdominal pain, fever.
- Associated Syndromes:
Syndrome Key Features (Gene Defect) WAGR 📌 Wilms, Aniridia, GU anomalies, Retardation (11p13, WT1 del) Denys-Drash Gonadal dysgenesis, early nephropathy, Wilms (WT1 mut) Beckwith-Wiedemann Macroglossia, omphalocele, hemihypertrophy, Wilms (11p15.5, WT2) - Histology: Triphasic: blastemal, epithelial (tubules), stromal. Favorable (FH) vs. Anaplastic (unfavorable; nuclear atypia).
- Staging (NWTS - National Wilms Tumor Study):
⭐ Bilateral Wilms tumor occurs in 5-10% of cases, often has an earlier age of onset, and frequently requires modified treatment protocols including neoadjuvant chemo.
Other Key Pediatric Tumors - Malignant Minis Mix
- Rhabdomyosarcoma (RMS): Most common pediatric soft tissue sarcoma.
Type Prognosis Common Sites Embryonal Better Head/Neck, GU (e.g., sarcoma botryoides) Alveolar Worse Extremities, Trunk - Retinoblastoma: RB1 gene. Signs: leukocoria (white reflex), strabismus.
⭐ Leukocoria (white pupillary reflex) is a classic sign of Retinoblastoma.

- Hepatoblastoma: Most common pediatric liver tumor. Marker: ↑ AFP. Assoc: BWS, FAP.
- Bone Sarcomas:
- Osteosarcoma: Metaphysis, sunburst pattern.
- Ewing Sarcoma: Diaphysis, onion-skin appearance, small round blue cells.
High‑Yield Points - ⚡ Biggest Takeaways
- Wilms' tumor: Most common pediatric renal mass; linked to WAGR, Denys-Drash, BWS.
- Neuroblastoma: Top extracranial solid tumor; N-myc (poor prognosis); ↑ VMA/HVA; opsoclonus-myoclonus.
- Retinoblastoma: Presents with leukocoria (white reflex); RB1 gene mutation.
- Hepatoblastoma: Main pediatric liver cancer; ↑ AFP; linked to BWS, FAP.
- Rhabdomyosarcoma: Top pediatric soft tissue sarcoma; common in head/neck, GU tract.
- Brain tumors: Most common solid tumors; often infratentorial (e.g., medulloblastoma).
Unlock the full lesson and continue reading
Signup to continue reading this lesson and unlimited access questions, flashcards, AI notes, and more