Introduction & Embryology - Hernia Hullabaloo
- Definition: Congenital Diaphragmatic Hernia (CDH) is a developmental defect in the diaphragm, allowing abdominal viscera to herniate into the thoracic cavity.
- Incidence: Occurs in approximately 1 in 2,500 to 1 in 4,000 live births.
- Embryology:
- Diaphragm develops from fusion of four key structures (📌 Mnemonic: Septum transversum, Pleuroperitoneal membranes, dorsal Mesentery of esophagus, Muscle ingrowth from lateral body walls - "Some People Make Mistakes").
- Defect arises from failed closure of the pleuroperitoneal canal, typically between 8-10 weeks of gestation.
- Leads to pulmonary hypoplasia and persistent pulmonary hypertension (PPHN).

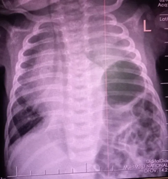
⭐ Bochdalek hernia (postero-lateral defect, usually left) is the most common type, accounting for 85-90% of CDH cases. Left-sided cases are more frequent (~85%) than right-sided (~13%).
Clinical Features & Diagnosis - Spotting the Gap
- Presentation (Often at birth):
- Severe respiratory distress (tachypnea, retractions, grunting).
- Cyanosis.
- Scaphoid abdomen.
- Barrel-shaped chest (unilateral).
- ↓/absent breath sounds (usually left).
- Bowel sounds in chest.
- Apparent dextrocardia (heart sounds shifted).
- 📌 Mnemonic: CDH = Cyanosis, Dyspnea, Heart shifted & Herniated bowel sounds.
- Key Pathophysiology: Pulmonary hypoplasia & Persistent Pulmonary Hypertension (PPHN).
- Associated Anomalies: Common (cardiac most frequent, ~20-30%).
- Prenatal Diagnosis:
- Antenatal USG: Polyhydramnios, stomach/bowel in chest, mediastinal shift.
- LHR / o/e LHR (from USG) for prognosis.
- Fetal MRI: Details anatomy, lung volume.
- Postnatal Diagnosis:
- CXR (Confirmatory): Bowel loops in chest, mediastinal shift, ↓ abdominal gas.

- ABG: Assesses hypoxia, hypercapnia, acidosis.
- Echocardiogram: Exclude cardiac defects, assess PPHN severity.
- CXR (Confirmatory): Bowel loops in chest, mediastinal shift, ↓ abdominal gas.
⭐ Most CDH cases (~85%) are left-sided posterolateral (Bochdalek) hernias.
Management & Prognosis - Fixing the Flaw
Error: Failed to generate content for this concept group.
High‑Yield Points - ⚡ Biggest Takeaways
- Bochdalek hernia (posterolateral, 85% left-sided) is the most common CDH.
- Caused by defective closure of the pleuroperitoneal membrane.
- Pulmonary hypoplasia and persistent pulmonary hypertension (PPHN) are critical determinants of outcome.
- Classic triad: Respiratory distress at birth, scaphoid abdomen, bowel sounds in chest.
- Diagnosis: Chest X-ray (bowel in thorax, mediastinal shift); prenatal ultrasound for early detection.
- Management: Immediate intubation, gentle ventilation, gastric decompression; delayed surgical repair. Avoid bag-mask ventilation.
- Lung-to-head ratio (LHR) on prenatal ultrasound is a key prognostic indicator for severity and survival.
Unlock the full lesson and continue reading
Signup to continue reading this lesson and unlimited access questions, flashcards, AI notes, and more