Cholelithiasis - Stone Cold Facts
- Gallstones in gallbladder.
- Types:
- Cholesterol stones (~80%): Yellowish, radiolucent.
⭐ Most common type of gallstone is cholesterol stone (especially in Western countries).
- Pigment stones (~20%):
- Black: Ca bilirubinate; hemolysis (e.g., sickle cell), cirrhosis. Often radiopaque.
- Brown: Ca soaps of unconj. bilirubin; infection, biliary stasis. Often in bile ducts, radiolucent.
- Cholesterol stones (~80%): Yellowish, radiolucent.
- Risk Factors (Cholesterol): 📌 4 F's: Female, Forty (>40y), Fertile (multiparity, OCPs - estrogen ↑, progesterone ↓ motility), Fat (obesity, rapid weight loss). Also: fibrates, Crohn's, TPN.
- Pathogenesis: Supersaturation (cholesterol/bilirubin), nucleation, gallbladder (GB) hypomotility.
- Presentation: Often asymptomatic. Biliary colic: RUQ/epigastric pain <6h, post-fatty meal, radiates to R shoulder/scapula. N/V.
oka
Acute Cholecystitis - Gallbladder's Ire
- Definition: Gallbladder inflammation, usually from cystic duct stone.
- Pathophysiology: Obstruction → Stasis → Chemical/Bacterial inflammation.
- Clinical Features: RUQ pain >6 hrs, fever, +ve Murphy's sign.
- Diagnosis:
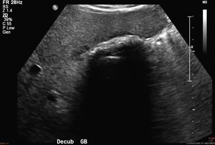
- USG: Wall thickening >3 mm, pericholecystic fluid, sonographic Murphy's.
⭐ Sonographic Murphy's sign is highly specific for acute cholecystitis.
- HIDA scan: Non-visualization (if USG unclear).
- Tokyo Guidelines: A (local) + B (systemic) + C (imaging) = Definite.
- Management:
- NPO, IVF, antibiotics.
- Early Lap Cholecystectomy (within 72 hrs).
- Complications: Gangrene, perforation, empyema.

Gallstone Complications & Chronic Cholecystitis - Trouble Brewing
- Acute Cholangitis: Infection of biliary tree.
⭐ Charcot's triad (fever, RUQ pain, jaundice) is indicative of acute cholangitis.
- 📌 Reynold's pentad: Charcot's triad + hypotension, altered mental status (severe).
- Tx: IV antibiotics, biliary drainage (ERCP/PTC).
- Gallstone Pancreatitis: Stone obstructs ampulla of Vater. ↑ Amylase/lipase >3x ULN. Tx: Supportive, ERCP if needed.
- Gallstone Ileus: Large stone erodes into bowel (cholecystoenteric fistula), obstructs ileocecal valve.
- Rigler's triad (X-ray): pneumobilia, small bowel obstruction (SBO), ectopic stone.
- Mirizzi Syndrome: Stone in cystic duct/Hartmann's pouch compresses common hepatic duct (CHD) → jaundice.
- Choledocholithiasis: Stones in common bile duct (CBD).
- Chronic Cholecystitis: Results from recurrent acute attacks or chronic irritation.
- Symptoms: Vague RUQ pain, dyspepsia, fat intolerance.
- Pathology: Thickened, fibrotic gallbladder wall; chronic inflammation.
- Complications: Porcelain gallbladder (calcified wall, ↑ cancer risk), hydrops/mucocele, empyema, gallbladder cancer.

Gallstone Disease: Dx & Rx - See & Solve
- Diagnosis (Dx):
- Initial: Ultrasound (USG) - detects stones, wall thickness, CBD diameter (>6mm is dilated).
⭐ Ultrasound is the initial investigation of choice for suspected gallstone disease.
- Further (if unclear/complications):
- MRCP: Best for CBD stones.
- HIDA scan: For acalculous cholecystitis, cystic duct patency.
- CT scan: For complications (perforation, pancreatitis).

- Initial: Ultrasound (USG) - detects stones, wall thickness, CBD diameter (>6mm is dilated).
- Treatment (Rx) Overview:
- Asymptomatic: Observe (unless high-risk: porcelain GB, stones >3cm).
- Symptomatic (Biliary Colic): Elective Lap Chole.
- Acute Cholecystitis: IV fluids, antibiotics, analgesia. Early Lap Chole (within 72h-7d).
- If unfit/late: Percutaneous cholecystostomy or delayed Lap Chole.
- Choledocholithiasis: ERCP + stone extraction, then Lap Chole.
- Gallstone Pancreatitis: Supportive care, ERCP if severe/cholangitis, then Lap Chole.
High‑Yield Points - ⚡ Biggest Takeaways
- Cholesterol stones are the most common type of gallstones.
- Biliary colic is characterized by intermittent RUQ pain, often postprandial.
- Acute cholecystitis presents with constant RUQ pain, fever, and a positive Murphy's sign.
- Ultrasound is the initial imaging modality of choice for gallstones and cholecystitis.
- HIDA scan is the most specific test for acute cholecystitis if ultrasound is equivocal.
- Laparoscopic cholecystectomy is the definitive treatment for symptomatic cholelithiasis and acute cholecystitis.
- Charcot's triad (fever, RUQ pain, jaundice) suggests cholangitis; Reynolds' pentad adds hypotension and altered mental status indicating severe sepsis.
Unlock the full lesson and continue reading
Signup to continue reading this lesson and unlimited access questions, flashcards, AI notes, and more