Developmental Anatomy Variations - Normal-ish Nuances
- Definitions:
- Variation: Common, minor deviation; usually no clinical significance.
- Anomaly: More marked deviation; may have functional impact.
- Malformation: Structural defect from abnormal embryological development.
- Clinical Significance:
- Key to avoid misdiagnosing variations as pathology.
- Proper management of incidental findings (incidentalomas).
⭐ Many anatomical variations are asymptomatic and discovered incidentally.
- Imaging Clues (Variation vs. Pathology):
- Smooth, well-corticated borders (if bone).
- Predictable, typical anatomical location.
- Absence of aggressive signs (e.g., bone destruction, soft tissue mass, infiltration). )
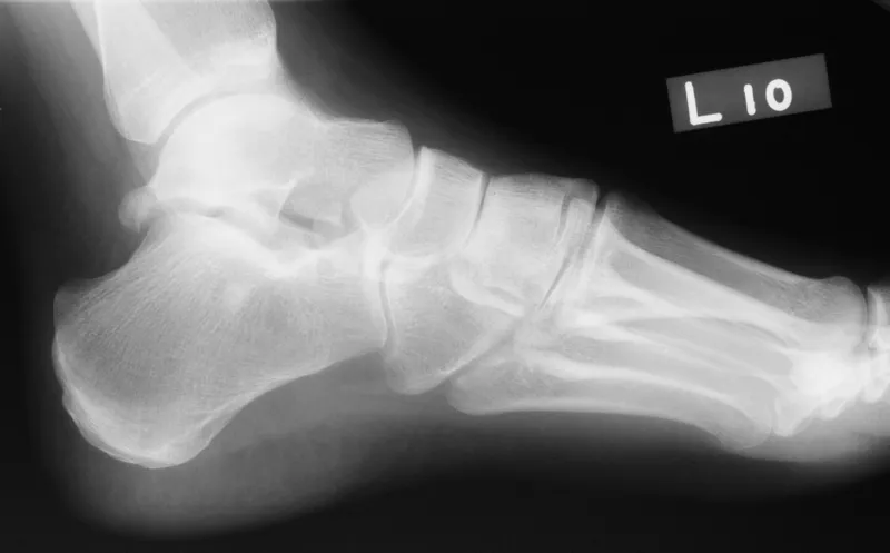
Developmental Anatomy Variations - Bone Quirks Uncovered
- Accessory Ossicles: Unfused centers; smooth, corticated.
- Foot/Ankle:
- Os Trigonum (post. talus; impingement).
- Os Naviculare (medial navicular; Type II pain).
- Os Peroneum (peroneus longus tendon).
- 📌 Mnemonic (Foot): "To New Places".
- Wrist: Os Styloideum (carpal boss), Os Lunotriquetrum.
- Foot/Ankle:
- Sesamoids: Bones in tendons.
- Hallux (1st MTP), Fabella (lat. gastrocnemius).
- Spinal:
- Spina Bifida Occulta (L5/S1 arch defect).
- Transitional Vertebrae: Lumbarization (S1 mobile), Sacralization (L5 fused).
- Block Vertebrae (congenital fusion; wasp-waist).
- Limb:
- Supracondylar Process (humerus): Struthers ligament; median N./brachial A. risk.
- Key: Variations = corticated; Fractures = non-corticated, sharp.
⭐ The fabella, a sesamoid in the lateral gastrocnemius head, is seen in 10-30% of people.
Developmental Anatomy Variations - Organ Shape Shifters
- Renal Variations:
- Horseshoe Kidney: Fusion of lower poles, isthmus (fibrous/parenchymal). Assoc. Turner syndrome. Complications: PUJO, stones, trauma, ↑ cancer risk (Wilms', RCC).

- Pelvic Kidney: Ectopic kidney in pelvis.
- Duplex Collecting System: Two pelvicalyceal systems.
- Complete: Two ureters. Weigert-Meyer rule 📌: Upper pole ureter → ectopic (inferomedial), often obstructed/ureterocele; Lower pole ureter → orthotopic, prone to reflux.
- Incomplete: Ureters unite before bladder.
- Horseshoe Kidney: Fusion of lower poles, isthmus (fibrous/parenchymal). Assoc. Turner syndrome. Complications: PUJO, stones, trauma, ↑ cancer risk (Wilms', RCC).
- Splenic Variations:
- Accessory Spleen (Splenunculus): Common (hilum, pancreatic tail). Round, enhances like spleen.
- Wandering Spleen: Lax splenic ligaments. Risk of torsion.
- Pancreatic Variations:
- Pancreas Divisum: Failure of ventral & dorsal duct fusion. ERCP/MRCP: Dominant dorsal duct (Santorini) drains major pancreas via minor papilla. ↑ Pancreatitis risk.
⭐ Pancreas divisum: most common pancreatic congenital anomaly.
- Annular Pancreas: Pancreatic tissue encircles 2nd part of duodenum. Duodenal obstruction (neonates/adults). "Double bubble" sign.
- Pancreas Divisum: Failure of ventral & dorsal duct fusion. ERCP/MRCP: Dominant dorsal duct (Santorini) drains major pancreas via minor papilla. ↑ Pancreatitis risk.
- Hepatic Variations:
- Riedel's Lobe: Tongue-like projection of right hepatic lobe. More common in females. Usually asymptomatic.
Developmental Anatomy Variations - Vascular & Passage Puzzles
- Aortic Arch:
- Bovine Arch: Common origin brachiocephalic & LCC. Most common (~20-25%).
- Right Aortic Arch: Types; Kommerell diverticulum, vascular rings.

⭐ Bovine arch (common origin brachiocephalic & LCC) is the most common aortic arch variant.
- Venous:
- Persistent Left SVC (PLSVC): Drains to coronary sinus (commonest); cardiac anomaly link.
- IVC Anomalies: Duplicated; Azygos/Hemiazygos continuation (absent hepatic IVC).
- Pulmonary:
- Azygos Lobe: Azygos vein indents apex; not true lobe. CXR/CT.
- CNS (Normal Variants):
- CSP/CV: Midline CSF spaces. CSP anterior, CV posterior to Monro.
- Mega Cisterna Magna: Posterior fossa CSF >$10 mm; normal vermis, 4th ventricle.
High‑Yield Points - ⚡ Biggest Takeaways
- Azygos lobe: Normal variant from anomalous azygos vein course, not a true accessory lobe.
- Accessory spleen: Common, usually near splenic hilum; important if splenectomy is planned or performed.
- Horseshoe kidney: Most common renal fusion, lower poles typically fused anterior to aorta/IVC.
- Duplex kidney: Weigert-Meyer rule governs ureteral insertion (upper pole ectopic, lower pole orthotopic).
- Meckel's diverticulum: Common GI anomaly (rule of 2s), may contain ectopic mucosa causing bleeding.
- Persistent LSVC: Most common thoracic venous anomaly, usually drains to coronary sinus.
Unlock the full lesson and continue reading
Signup to continue reading this lesson and unlimited access questions, flashcards, AI notes, and more