Pediatric Oncology Imaging - Tiny Tumors, Big Scans
- Key principles: ALARA (As Low As Reasonably Achievable), frequent need for sedation/anesthesia, distinct tumor types & imaging protocols vs. adults.
ā The ALARA principle is paramount in pediatric radiology due to increased radiosensitivity and longer life expectancy.
- Common Cancers & Initial Imaging:
| Tumor | Preferred Initial Imaging |
|---|---|
| Neuroblastoma | US (abdomen), MIBG if suspected |
| Wilms' Tumor | US (abdomen), CT (chest for mets) |
| Leukemia/Lymphoma | CXR, US (nodes/organs) |
| Retinoblastoma | US (ocular), MRI (orbit/brain) |
| Bone Tumors (Osteo/Ewing's) | X-ray, then MRI |
Neuroblastoma Imaging - Belly Bad Guys
- Origin: Neural crest cells; adrenal medulla (>50%), sympathetic chain.
- Key Imaging:
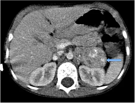
- US: Heterogeneous, ± calcifications.
- CT: Calcifications (~85%), vascular encasement, defines Image-Defined Risk Factors (IDRFs).
- MRI: Spinal canal/marrow involvement, IDRF assessment.
- MIBG Scintigraphy: High specificity; staging & follow-up. š MIBG = Most Important Bad Guy scan!
- Staging: INRGSS based on IDRFs.
- DDx: Ganglioneuroma, adrenal hemorrhage, Wilms' tumor.
ā Calcification is seen in up to 85% of neuroblastomas on CT, often fine and punctate.

Wilms' Tumor Imaging - Kidney Capers
- Origin: Metanephric blastema; Peak age: 3-4 years.
- Imaging:
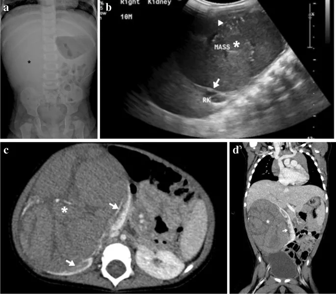
- US: Initial, shows intrarenal mass.
ā The 'claw sign' on US/CT, where renal parenchyma is splayed around an intrarenal mass, is characteristic of Wilms' tumor.
- CT: Staging (chest, abdomen, pelvis), contralateral kidney, vascular invasion (renal vein/IVC).
- MRI: Problem-solving (e.g., IVC thrombus extent).
- US: Initial, shows intrarenal mass.
- Features: Well-defined, pseudocapsule; necrosis, hemorrhage common. Typically NO calcification (vs. Neuroblastoma).
- Assess: Contralateral kidney (synchronous tumor/nephroblastomatosis).
- Associations: WAGR, Denys-Drash, Beckwith-Wiedemann.

Bone & Soft Tissue Sarcomas - Skeletal Spooks
- Osteosarcoma:
- Location: Metaphysis (esp. knee - distal femur/proximal tibia).
- X-ray: Sunburst periostitis, Codman's triangle, cumulus cloud/osteoid matrix.
- Ewing's Sarcoma:
- Location: Diaphysis/metadiaphysis, flat bones. š Ewing's = Ends (diaphysis) & Everywhere (soft tissue).
- X-ray: Onion-peel periostitis, permeative/moth-eaten destruction, saucerization.
- Rhabdomyosarcoma: Most common pediatric soft tissue sarcoma (head/neck, GU, extremities).

ā MRI is crucial for local staging of bone sarcomas, assessing intramedullary extent, soft tissue involvement, neurovascular proximity, and detecting skip lesions.
Lymphoma, Leukemia & Response - Cellular Chaos Control
- Leukemia:
- Bone: Metaphyseal bands, lytic lesions, periosteal reaction.
- CNS: Leptomeningeal enhancement, chloromas (myeloid sarcoma).
- Lymphoma (Hodgkin & NHL):
- Nodal: Mediastinal (CXR, CT), abdominal, peripheral (US, CT).
- Extranodal: Bone, GI, CNS (MRI).
- Imaging Modalities: CXR, US, CT (staging), MRI (CNS, MSK), PET-CT.
- PET-CT: Staging (Lugano adapted), response (Deauville adapted: score 1-3 good).
ā FDG-PET/CT is the standard imaging modality for staging and response assessment in most pediatric lymphomas (e.g., Hodgkin lymphoma, DLBCL).
- Emergencies: Imaging for typhlitis, SVC obstruction.
HighāYield Points - ā” Biggest Takeaways
- Neuroblastoma: Most common extracranial solid tumor; look for calcification & MIBG avidity.
- Wilms' tumor: Commonest renal tumor; shows claw sign, respects midline.
- Hepatoblastoma: Top pediatric liver cancer; ā AFP, use PRETEXT staging.
- Ewing's sarcoma: Bone tumor; onion-skin periostitis, t(11;22) translocation.
- Osteosarcoma: Bone tumor; sunburst pattern, metaphyseal location.
- Rhabdomyosarcoma: Most frequent soft tissue sarcoma; botryoid type in hollow organs.
- Leukemia/Lymphoma: Most common childhood malignancies; imaging shows mediastinal mass or bone marrow signs.
Unlock the full lesson and continue reading
Signup to continue reading this lesson and unlimited access questions, flashcards, AI notes, and more