Pulmonary Radiopharmaceuticals - Glowing Guides
- Perfusion Agents:
- Tc-99m MAA (Macroaggregated Albumin)
- Mechanism: Capillary blockade (microembolization) in pulmonary arterioles.

- Particle size: 10-90 μm (ideal 20-50 μm for even distribution).
- No. of particles: 200k-700k (adults). ↓ for PHT, R-L shunt (to 100k-200k), peds, pregnancy.
- Contraindications (relative): Severe PHT, R-L shunt.
- T½_bio: 2-8 hrs (enzymatic breakdown, RES clearance).
- Mechanism: Capillary blockade (microembolization) in pulmonary arterioles.
- Tc-99m MAA (Macroaggregated Albumin)
⭐ Tc-99m MAA: Particle size (10-90 μm) and number (200,000-700,000 for adults) are critical for safety and efficacy, preventing large emboli and ensuring proper distribution.
- Ventilation Agents:
- Gases:
- $^{ ext{133}}$Xe: 81 keV (low E, poor images), T½ 5.2d. 3 phases (breath, equil, washout). Fat trapping (liver), requires negative pressure room.
- $^{ ext{81m}}$Kr: 190 keV (good E), T½ 13s (ultra-short). From $^{ ext{81}}$Rb/$^{ ext{81m}}$Kr generator. Continuous flow, matches perfusion timing.
- Aerosols:
- Tc-99m DTPA: Nebulized (0.5-2 μm for alveolar deposition). Airway deposition. Risk of central clumping, patient cooperation needed.

- Tc-99m Technegas: Ultrafine carbon particles (<0.2 μm). Gas-like, superior alveolar penetration. Specialized generator.
- Tc-99m DTPA: Nebulized (0.5-2 μm for alveolar deposition). Airway deposition. Risk of central clumping, patient cooperation needed.
- Gases:
V/Q Scintigraphy - Breath vs Blood
Compares alveolar air entry (Ventilation) with blood flow (Perfusion) to detect pulmonary embolism (PE).
- Ventilation (V) Scan:
- Radiopharmaceutical: $^{99m}$Tc-Technegas or $^{99m}$Tc-DTPA aerosol.
- Method: Inhalation.
- Assesses: Alveolar air entry.
- Perfusion (Q) Scan:
- Radiopharmaceutical: $^{99m}$Tc-MAA (Macroaggregated Albumin).
- Method: IV injection; particles lodge in capillaries.
- Assesses: Pulmonary arterial perfusion.
Key Interpretation Patterns:
- Normal: Homogeneous ventilation & perfusion.
⭐ A normal perfusion scan effectively rules out acute PE (NPV >99%).
- Mismatch (V normal, Q ↓): Suggests PE. Classic: wedge-shaped, pleural-based.
- Match (V ↓, Q ↓): Non-embolic (COPD, pneumonia, atelectasis).
- Stripe Sign: Perfusion defect with preserved peripheral perfusion. Low PE probability.
PIOPED Criteria (Simplified PE Probability):
- 📌 Mnemonic: "Two large mismatches point to High PE chance."
- High Probability: ≥ 2 large (≥75% of a segment) V/Q mismatches.
- Low Probability: Matched defects, stripe sign, < 1 moderate V/Q mismatch.
- Intermediate: Not high or low.

Pulmonary PET & Other Scans - Hotspot Hunters
-
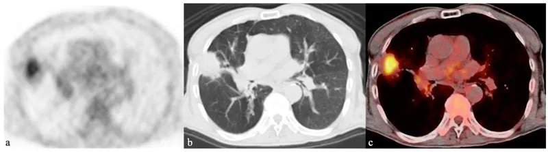
$^{18}$F-FDG PET/CT (Fluorodeoxyglucose):
- Mechanism: Glucose analog; accumulates in cells with high glucose metabolism (malignancy, inflammation, infection).
- Key Pulmonary Uses:
- Oncology: NSCLC staging (nodal/distant mets), SPN characterization (SUVmax >2.5 suggests malignancy), therapy response, recurrence detection.
- Inflammation/Infection: Identifies active processes; less specific for infection/inflammation.
-
$^{67}$Ga-Citrate (Gallium) Scan:
- Mechanism: Iron analog; binds transferrin. Accumulates in inflammation, infection, some tumors (e.g., lymphoma).
- Key Pulmonary Uses:
- Sarcoidosis: Assessing disease activity. 📌 Panda sign (lacrimal, parotid, salivary glands) & Lambda sign (bilateral hilar, R paratracheal LNs).
- Interstitial Lung Diseases (ILDs): Monitoring activity.
- Pneumocystis jirovecii pneumonia (PJP) in HIV: Diffuse bilateral uptake.

⭐ FDG PET/CT is superior for NSCLC staging and crucial for characterizing indeterminate SPNs.
High‑Yield Points - ⚡ Biggest Takeaways
- V/Q scan: Primary for PE with contrast allergy, pregnancy, or renal failure.
- High probability PE (V/Q): ≥2 large mismatched segmental perfusion defects.
- Perfusion: 99mTc-MAA. Ventilation: 99mTc-DTPA aerosol, 133Xe, 81mKr gas.
- Stripe sign: Preserved peripheral perfusion around defect, indicates low PE probability.
- Gallium-67 (67Ga) scan: Panda sign & Lambda sign characteristic for sarcoidosis.
- 18F-FDG PET-CT: Essential for lung cancer staging & SPN (Solitary Pulmonary Nodule) assessment.
Unlock the full lesson and continue reading
Signup to continue reading this lesson and unlimited access questions, flashcards, AI notes, and more