Overview & Classification - Tumor Terrain Tour
- Intracranial Tumors: Abnormal cell growth in cranium; benign or malignant.
- Origin-Based Classification:
- Primary: From brain, meninges, nerves, pituitary.
- Intra-axial: In brain parenchyma (gliomas, medulloblastomas).
- Extra-axial: Outside parenchyma (meningiomas, schwannomas, pituitary adenomas).
- Secondary (Metastatic): From distant cancers (lung, breast, melanoma).
- Primary: From brain, meninges, nerves, pituitary.
- Location: Supratentorial (adults) vs. Infratentorial (children).
- WHO Classification: Histologic grading (I-IV) for prognosis.

ā Metastases are the most common intracranial tumors in adults; gliomas are the most common primary brain tumors.
Gliomas - Glial Cell Mayhem
- Most common primary brain tumors; arise from glial cells.
- Classification: cell type & WHO grading (I-IV).
- Astrocytomas:
- Pilocytic (WHO G I): Children, post. fossa, cystic + mural nodule, Rosenthal fibers.
- Diffuse (WHO G II): Infiltrative, IDH-mutant common.
- Anaplastic (WHO G III): ācellularity, mitoses.
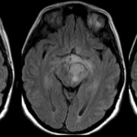
- Glioblastoma (GBM, WHO G IV): Commonest adult primary, aggressive, ring-enhancing, crosses midline. š "Butterfly glioma".
- Oligodendroglioma: Calcification, "fried egg" cells. IDH mutation & 1p/19q co-deletion = better prognosis.
- Ependymoma: Ventricular lining/central canal. Perivascular pseudorosettes. Children: 4th ventricle; Adults: spine.
ā Glioblastoma (GBM) typically shows central necrosis, significant vasogenic edema, and peripheral enhancement, often crossing the corpus callosum ("butterfly glioma").
Meningiomas - Dural Diva Tumors
- Most common primary intracranial tumor; F:M ā 2:1. From arachnoid cap cells.
- Extra-axial, dural-based. Sites: parasagittal, falx, sphenoid wing, convexity.
- CT: Typically hyperdense, homogenous avid enhancement. Calcification (psammoma bodies) common.
- MRI: Isointense on T1, Iso/Hyperintense on T2. Intense homogenous enhancement. Dural tail sign characteristic.
- WHO Grades: I (benign, ~90%), II (atypical), III (anaplastic/malignant).
- Tx: Surgical resection. Radiotherapy for high-grade or incompletely resected tumors.

ā Multiple meningiomas, especially spinal, are strongly associated with Neurofibromatosis type 2 (NF2).
Metastases & Other Key Tumors - Beyond the Glia
- Metastases: Most common intracranial tumors in adults. Often multiple.
- Common Primaries: Lung, Breast, Melanoma, Renal, Colon (š LBM-RC).
- Imaging: Typically at grey-white junction; significant vasogenic edema; ring enhancement common. Solitary mets can mimic primary.

- Pituitary Adenoma: Sellar/suprasellar mass.
- Microadenoma (<10 mm), Macroadenoma (ā„10 mm).
- "Snowman" or "figure-of-8" sign with suprasellar extension.
ā Pituitary apoplexy: acute hemorrhage/infarction within adenoma; presents with severe headache, visual disturbances, ophthalmoplegia.
- Schwannoma (Vestibular): Common CPA tumor (CN VIII).
- "Ice-cream cone" appearance: tumor extending from internal auditory canal (IAC) into CPA. Intense enhancement.
- Meningioma: Dural-based, extra-axial. Homogeneous intense enhancement, dural tail sign.
Pediatric Brain Tumors - Tiny Patients, Big Puzzles
- Pilocytic Astrocytoma: Most common. Posterior fossa. Cystic + mural nodule. GFAP+.
- Medulloblastoma: 2nd common. Vermis/4th ventricle. Malignant. CSF seeding. Homer Wright rosettes.
- Ependymoma: 4th ventricle. Perivascular pseudorosettes. Can occur supratentorially.
- Craniopharyngioma: Suprasellar. Calcification. Rathke's pouch origin. Bimodal age.
- Germ Cell Tumors: Pineal (Parinaud syndrome) or suprasellar (DI, visual field defects).
- š Posterior fossa common: MAE (Medulloblastoma, Astrocytoma, Ependymoma).
ā Medulloblastoma often presents with hydrocephalus and signs of āICP due to its common location in the posterior fossa, obstructing CSF flow.
HighāYield Points - ā” Biggest Takeaways
- Glioblastoma (GBM): Most common adult primary brain tumor, often crosses midline.
- Pilocytic Astrocytoma: Most common pediatric primary, typically cystic with mural nodule.
- Metastases: Most common intracranial tumors overall, often at grey-white junction.
- Meningioma: Dural attachment (tail sign), psammoma bodies, generally benign.
- Medulloblastoma: Children, posterior fossa (vermis), Homer Wright rosettes, CSF dissemination risk.
- Craniopharyngioma: Suprasellar, calcification common, "motor oil" cyst fluid.
- Schwannoma: Cerebellopontine angle (CPA), affects CN VIII (acoustic), Antoni A/B histology_
Unlock the full lesson and continue reading
Signup to continue reading this lesson and unlimited access questions, flashcards, AI notes, and more