Intro to AI in MSK - Machine Marvels
AI transforms Musculoskeletal (MSK) imaging. Core AI concepts:
- Machine Learning (ML): Algorithms learn from data to perform tasks.
- Deep Learning (DL): Subset of ML; uses multi-layered neural networks.
- Convolutional Neural Networks (CNNs): Specialized DL for image analysis (classification, segmentation).
- Radiomics: Extracts numerous quantitative features from medical images for analysis.
- CADe/CADx: Computer-Aided Detection (highlights suspicious areas) / Diagnosis (provides diagnostic likelihood).
Applied to common MSK modalities: X-ray, CT, MRI, Ultrasound.
General Benefits:
- Improved diagnostic accuracy and consistency.
- Enhanced efficiency & optimized workflow.
- Objective, quantitative assessment beyond visual interpretation.

⭐ Deep learning, particularly Convolutional Neural Networks (CNNs), has shown state-of-the-art performance in image classification and segmentation tasks within musculoskeletal radiology.
AI in Fracture Care - Bone Break Busters

AI revolutionizes fracture management by enhancing detection, classification, and assessment.
- Fracture Detection & Assessment:
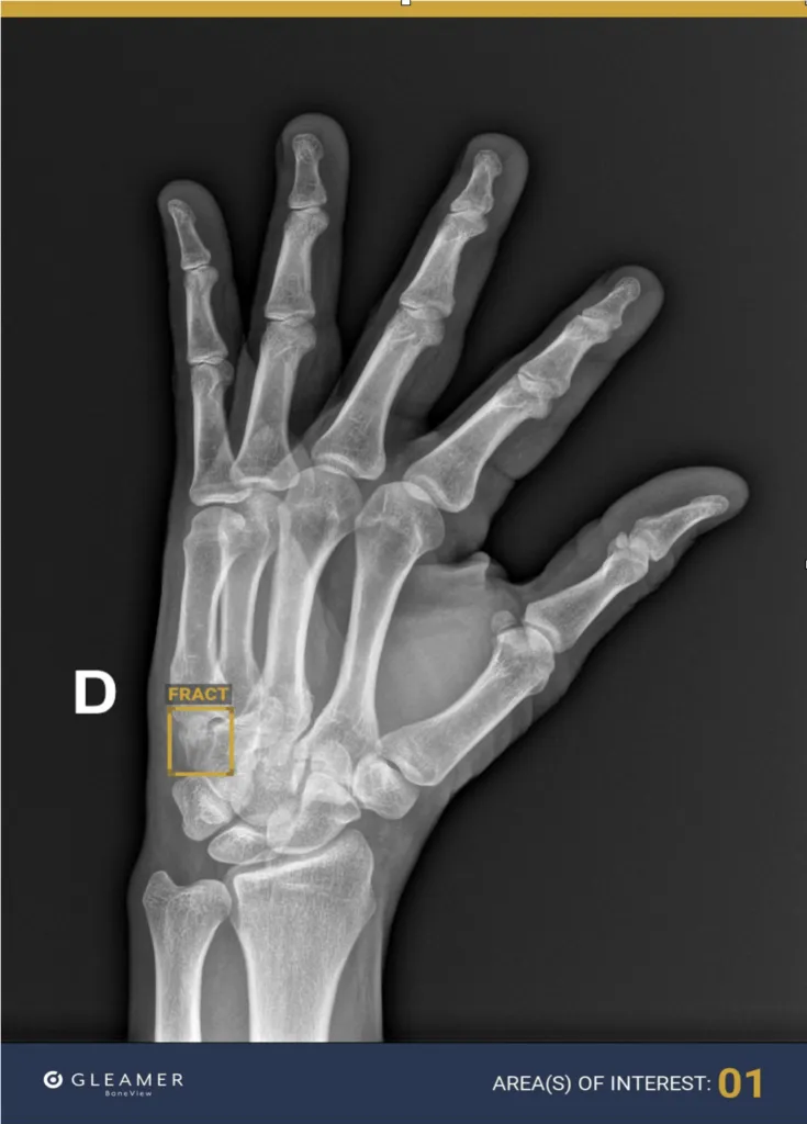
- Identifies occult & stress fractures (e.g., scaphoid, hip, rib) on X-ray & CT.
- Aids in pediatric fractures (e.g., Salter-Harris classification).
- Automated measurements: displacement, angulation.
- Classification & Workflow:
- Improves inter-observer reliability for classifications (e.g., AO/OTA).
- Streamlines trauma assessment and workflow prioritization.
⭐ AI algorithms demonstrate high sensitivity in detecting occult hip fractures on plain radiographs, potentially reducing delays in diagnosis and treatment.
AI & Joint Disease - Joint Journey AI
AI enhances diagnosis and management of joint diseases like Osteoarthritis (OA), Rheumatoid Arthritis (RA), and spondyloarthropathies.
- Osteoarthritis (OA)
- Automated OA grading (e.g., Kellgren-Lawrence from X-rays).
- Detection: joint space narrowing (JSN), osteophytes.
- Quantitative cartilage assessment (thickness, volume, defects) from MRI.
- Rheumatoid Arthritis (RA) & Inflammatory Arthritides
- Monitoring disease activity/progression (e.g., automated scoring).
- Detection: synovitis, erosions, bone marrow edema (MRI, Ultrasound).
- Aids in differentiating inflammatory arthritides.

⭐ AI-driven quantitative MRI analysis allows for precise tracking of cartilage loss and inflammatory changes in arthritis, aiding in clinical trials and personalized treatment.
AI in MSK Oncology - Lesion Locators
AI enhances MSK tumor identification and outlining on X-rays, CT, and MRI, improving diagnostic accuracy and efficiency.
- Automated Lesion Detection & Segmentation:
- Rapidly spots bone tumors and soft tissue sarcomas.
- Precisely delineates tumor boundaries for surgical/radiation planning.
- Aids metastasis detection in whole-body scans.
- Tumor Characterization:
- Radiomics extracts quantitative image features.
- Differentiates benign vs. malignant lesions.
- Predicts tumor grade/histology (radiogenomics).
- Treatment Response Assessment:
- Monitors tumor changes post-therapy.
- Evaluates chemotherapy/radiation efficacy.
⭐ Radiomic features from pre-treatment MRIs of soft tissue sarcomas, extracted by AI, can predict neoadjuvant chemotherapy response and overall survival.
High‑Yield Points - ⚡ Biggest Takeaways
- AI significantly improves fracture detection, especially occult fractures, on radiographs and CT.
- Key for arthritis: AI quantifies joint space narrowing, osteophytes, and erosions.
- Automated bone age assessment using AI on hand X-rays is well-established.
- AI aids in MSK tumor detection, segmentation, and predicting malignancy risk.
- Emerging roles in osteoporosis screening and sarcopenia quantification from CT/MRI.
- AI enhances radiologist workflow via automated measurements and report prioritization.
Unlock the full lesson and continue reading
Signup to continue reading this lesson and unlimited access questions, flashcards, AI notes, and more