GIT Imaging Toolkit - Modalities & Marvels
- X-ray (Plain): Initial; detects obstruction (air-fluid levels), perforation (free air), calcifications.
- Barium Studies:
- Single contrast: Lumen, gross morphology.
- Double contrast (air + barium): Mucosal detail (ulcers, polyps).
⭐ Double contrast barium studies are superior for mucosal detail visualization.
- Ultrasound (USG): Bowel wall, appendicitis, intussusception, fluid. No radiation.
- CT Scan: Primary modality. Oral/IV contrast. Inflammation, tumors, obstruction, perforation. CT Enterography (small bowel).
- MRI: Superior soft tissue. Rectal cancer staging, fistulae, IBD. MR Enterography (small bowel, no radiation).

Upper GIT Scans - Gullet to Gut Woes
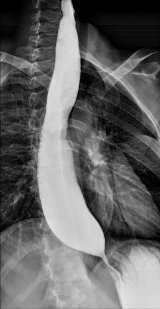
- Barium Swallow (Esophagus):
- Assesses dysphagia, odynophagia, GERD, motility disorders (e.g., achalasia).
- Identifies: Strictures, webs, diverticula (Zenker's: posterior pharyngoesophageal outpouching), masses, hiatus hernia.
⭐ Bird's beak sign on barium swallow is characteristic of achalasia cardia.
- Esophageal cancer: Presents as apple-core lesion or irregular, ulcerated filling defect.
- Barium Meal (Stomach & Duodenum):
- For epigastric pain, dyspepsia, PUD, gastric outlet obstruction (GOO), suspected masses.
- Detects: Ulcers (contrast-filled craters), gastric carcinoma (linitis plastica "leather bottle", polypoid mass), pyloric stenosis (string sign).
- Barium Meal Follow Through (BMFT - Small Bowel):
- Evaluates malabsorption, chronic diarrhea, Crohn’s disease, SBO.
- Crohn’s: Kantor's string sign, skip lesions, cobblestoning, fistulae, rose thorn ulcers.
- CT Enterography/Enteroclysis:
- Superior for small bowel wall/extraluminal detail: Crohn's, tumors, obscure GI bleed. Enteroclysis (NJ tube for contrast).

- Superior for small bowel wall/extraluminal detail: Crohn's, tumors, obscure GI bleed. Enteroclysis (NJ tube for contrast).
Lower GIT Insights - Bowel Disorder Decode
- Inflammatory Bowel Disease (IBD):
- Crohn's Disease: Terminal ileum common, skip lesions, transmural inflammation, cobblestoning, string sign (Kantor's), fistulas. CT/MRI enterography for assessment.
- Ulcerative Colitis (UC): Rectum invariably involved, continuous proximal spread, superficial (mucosal/submucosal) inflammation, loss of haustra, toxic megacolon risk.
⭐ Lead pipe appearance of the colon on barium enema is classic for chronic Ulcerative Colitis.

- Bowel Obstruction:
- Small Bowel Obstruction (SBO): Dilated small bowel loops >2.5 cm, central distribution, multiple air-fluid levels, valvulae conniventes visible. Common causes: adhesions, hernias.
- Large Bowel Obstruction (LBO): Dilated large bowel >6 cm (cecum >9 cm), peripheral distribution, haustra visible. Common causes: malignancy, volvulus.
- Other Key Conditions & Signs:
- Appendicitis: CT is gold standard: appendiceal diameter >6 mm, wall thickening/enhancement, periappendiceal fat stranding, appendicolith. Graded compression US also used.
- Diverticulitis: CT findings include segmental bowel wall thickening, pericolic fat stranding; crucial for detecting complications (abscess, perforation, fistula).
- Colorectal Cancer (CRC): "Apple core" lesion on barium studies or CT. CT colonography for screening; MRI for local staging of rectal cancer.
Acute GIT Alerts - Red Flag Radiology
- Pneumoperitoneum: Sign of perforation. Free subdiaphragmatic air (X-ray), Rigler's, falciform ligament sign.
⭐ Rigler's sign (air on both sides of the bowel wall) on an abdominal X-ray indicates pneumoperitoneum.
- Bowel Obstruction: Dilated loops (SB >3 cm, LB >6 cm, cecum >9 cm), multiple air-fluid levels.
- Bowel Ischemia: Pneumatosis intestinalis (air in wall), portal venous gas, bowel wall thickening, thumbprinting.
- Perforation: GIT breach. Extraluminal air or leaked contrast.
- Volvulus: Bowel twisting. Coffee bean sign (sigmoid AXR), whirl sign (CT).
- Intussusception: Telescoping bowel. Target/doughnut sign (US/CT), common in children.
High‑Yield Points - ⚡ Biggest Takeaways
- Barium swallow for dysphagia; double contrast for mucosal detail.
- CT abdomen: staging GI malignancies, detecting perforation, obstruction, ischemia.
- MRCP: gold standard for non-invasive biliary and pancreatic duct imaging.
- Apple core lesion (barium): classic for colorectal carcinoma.
- Key barium signs: Bird's beak (achalasia), String sign (Crohn's), Rat-tail (esophageal Ca).
- Pneumoperitoneum (X-ray/CT): indicates bowel perforation (e.g., Rigler's sign).
- Small bowel obstruction: dilated loops (>2.5 cm), air-fluid levels on X-ray/CT.
Unlock the full lesson and continue reading
Signup to continue reading this lesson and unlimited access questions, flashcards, AI notes, and more