Introduction & Epidemiology - Tiny Trespassers
- Foreign Body Aspiration (FBA): Inhalation of an object into the airway, lodging typically below the vocal cords.
- Peak Incidence: 6 months - 3 years.
- Due to oral exploratory behaviour, immature dentition, and uncoordinated swallowing.
- Common Culprits:
- Organic (most frequent): Peanuts (common in India), seeds, vegetable pieces. Cause significant inflammation.
- Inorganic: Small toys, coins, button batteries (⚠️ high risk of corrosion/perforation).
- Usual Suspect Location: Right main bronchus > Left main bronchus.
⭐ The majority of aspirated foreign bodies lodge in the right main bronchus due to its wider diameter and more vertical orientation.
- Risk Factors: Male sex, underlying neurological disorders, developmental delay.
oka
Clinical Features - Chokes & Wheezes
Key: Sudden onset. Varies by FB location/obstruction.
- Laryngeal FB:
- Acute distress, stridor, hoarseness, aphonia.
- May be life-threatening.
- Tracheal FB:
- Asthmatoid wheeze, audible slap, palpable thud.
- Biphasic wheeze.
- Bronchial FB (most common, R > L):
- Persistent cough.
- Localized/unilateral wheeze (often unresponsive to bronchodilators).
- Unilateral ↓air entry.
- 📌 CUD Triad: Cough, Unilateral wheeze, Decreased air entry (often incomplete).
- Recurrent/non-resolving pneumonia, atelectasis.

⭐ Unilateral persistent wheezing in a child, especially if sudden in onset and unresponsive to bronchodilators, is highly suggestive of bronchial foreign body aspiration.
Diagnosis - Spotting Stowaways
- History: Sudden onset choking, coughing, or gagging, especially if witnessed.
- Clinical Examination:
- Classic Triad: Unilateral wheeze, cough, decreased air entry.
- Stridor (laryngeal/tracheal FB), hoarseness, or asymptomatic interval possible.
- Imaging:
- Chest X-ray (PA & Lateral):
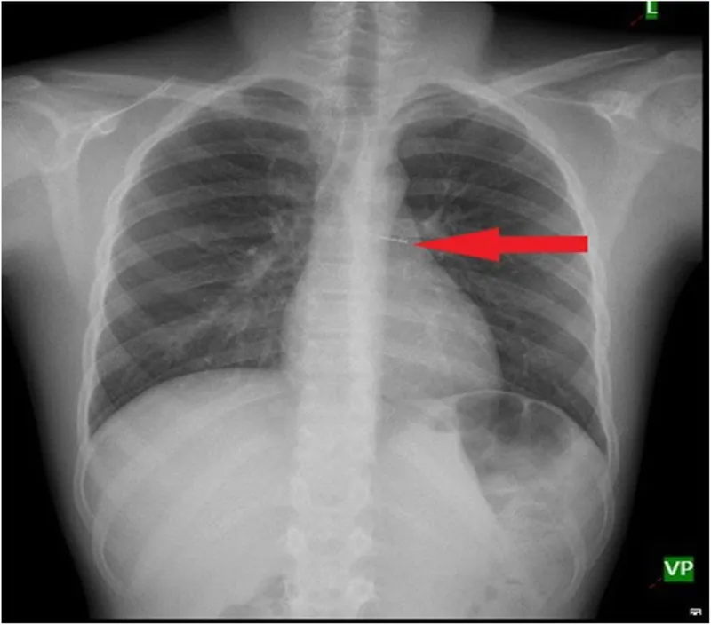
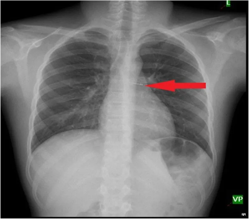
- Radio-opaque FB visible.
- Indirect signs for radiolucent FB: Unilateral hyperinflation (ball-valve), mediastinal shift (expiratory film), atelectasis/collapse.
- Inspiratory/Expiratory films or lateral decubitus views (affected side down) can accentuate findings.
- Normal CXR in 15-30% of cases.
- CT Scan: Useful for radiolucent FBs or equivocal X-ray findings.
- Chest X-ray (PA & Lateral):
⭐ A normal chest X-ray does not rule out foreign body aspiration, especially with a strong history.
- Definitive Diagnosis & Treatment:
- Rigid Bronchoscopy: Gold standard for both diagnosis and removal.

Management & Prevention - Eviction & Escape
Eviction (Management):
- Stable Patient:
- X-ray (insp/exp, lat decubitus) may show air trapping, atelectasis.
- Rigid bronchoscopy: Gold standard for diagnosis & removal.
- Unstable Patient (Acute Choking):
- <1 yr: 5 back blows, then 5 chest thrusts.
- >1 yr: Heimlich maneuver (abdominal thrusts).
- Ineffective: Direct laryngoscopy, Magill forceps.
- Advanced airway (e.g., cricothyroidotomy) if fails.
- Post-Eviction:
- Observe; steroids/antibiotics if indicated.
⭐ > Rigid bronchoscopy is the definitive diagnostic and therapeutic procedure for most foreign body aspirations.
Prevention (Escape):
- Age-appropriate food; avoid nuts/seeds/hard candy < 4 yrs.
- Keep small objects (toys, coins, button batteries) out of reach.
- Supervise children during meals and play. 📌 Mnemonic (Prevention): "Small PARTS" (Peanuts And Round Things Supervise).
High-Yield Points - ⚡ Biggest Takeaways
- Peak incidence: 6 months - 3 years; organic FBs (e.g., peanuts) most common.
- Right main bronchus is the most frequent site of lodgement.
- Classic triad: Sudden cough, wheeze, ↓ air entry (unilateral); often incomplete.
- Expiratory chest X-ray: Shows air trapping (hyperinflation) & mediastinal shift.
- Rigid bronchoscopy: Gold standard for diagnosis and removal.
- Ball-valve obstruction causes unilateral hyperinflation; complete obstruction causes atelectasis.
- Beware of asymptomatic interval post-choking episode.
Unlock the full lesson and continue reading
Signup to continue reading this lesson and unlimited access questions, flashcards, AI notes, and more