Neuroimaging Basics - Tiny Brain Pixels
| Modality | Principle | Best for (Pediatric Neuro) | Pros | Cons |
|---|---|---|---|---|
| USG | Sound waves, Doppler effect | Neonatal brain (open fontanelles), IVH, hydrocephalus, cysts | Portable, no radiation, real-time, low cost | Operator-dependent, limited acoustic window |
| CT | X-ray attenuation ($HU$) | Acute head trauma (fractures, bleeds), shunt check, hydrocephalus | Very fast, widely available, good for bone | Radiation exposure (↑cancer risk), poor soft tissue |
| MRI | Nuclear magnetic resonance | Tumors, epilepsy, stroke, infection, congenital malformations, myelination | Superior soft tissue detail, no radiation | Costly, long scan time, needs sedation/GA, noisy |
T1W: Unmyelinated WM dark, myelinated WM bright (↑lipids). T2W: Unmyelinated WM bright (↑water), myelinated WM dark.
Cranial Ultrasound - First Peek Show
First-line neuroimaging in neonates, especially premature. Uses anterior fontanelle as acoustic window.
- Indications:
- Prematurity (e.g., < 32 weeks, < 1500g)
- Suspected Intraventricular Hemorrhage (IVH)
- Hypoxic-Ischemic Encephalopathy (HIE)
- Seizures, hydrocephalus, CNS infections
- Advantages:
- Bedside, portable, real-time
- No radiation, no sedation
- Cost-effective
- Limitations:
- Operator-dependent
- Limited view: posterior fossa, convexity
- Fontanelle closure limits use
- Papile Grading (IVH): 📌 Germs Vex Very Poorly
- Grade I: Germinal matrix hemorrhage (GMH)
- Grade II: IVH, no ventricular dilatation
- Grade III: IVH + ventricular dilatation
- Grade IV: IVH + parenchymal involvement (e.g., periventricular hemorrhagic infarction)
⭐ Germinal matrix is the most common site of hemorrhage in premature infants, best visualized by cranial USG through the anterior fontanelle or mastoid fontanelle for posterior fossa structures like cerebellum and cisterna magna.
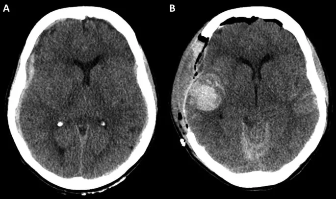
CT Scan - Speedy Brain Slices
Rapid X-ray cross-sections. Key for urgent brain assessment.
- Indications: 📌 Trauma (acute head), Tubes (shunt eval), Tumors (calcified/mass), Tantrums (acute seizures - initial), hemorrhage, hydrocephalus.
- Advantages:
- Very fast (<1 min)
- Widely available
- Good for bone, acute blood, $Ca^{2+}$
- Disadvantages:
- Radiation (ALARA principle vital)
- Less soft tissue detail vs MRI
- Identifying Blood (Hounsfield Units):
- Acute blood: Hyperdense, +50 to +100 HU
- CSF: 0 HU; Brain: +20 to +40 HU
⭐ Non-contrast CT (NCCT) is the initial imaging of choice in acute pediatric head trauma due to its speed and sensitivity for fractures and acute hemorrhage.
oka
MRI Magic - Detailed Brain Maps
| Sequence | CSF | Fat | Acute Blood | Chronic Blood (Hemosid) | Acute Ischemia |
|---|---|---|---|---|---|
| T1 | Dark | Bright | Iso/↓ | ↓ | ↓ |
| T2 | Bright | Bright | ↓ (DeoxyHb) | ↓ | ↑ |
| FLAIR | Dark | Bright | ↓ (DeoxyHb) | ↓ | ↑ |
| DWI | Dark | Dark | Variable | Dark | ↑ (Bright) |
-
📌 T2 = H2O is bright. DWI = Bright in acute infarct.
-
Indications:
- Seizures, developmental delay, CNS infection/inflammation.
- Hypoxic-ischemic encephalopathy (HIE).
- Congenital malformations, tumors, demyelinating diseases.
-
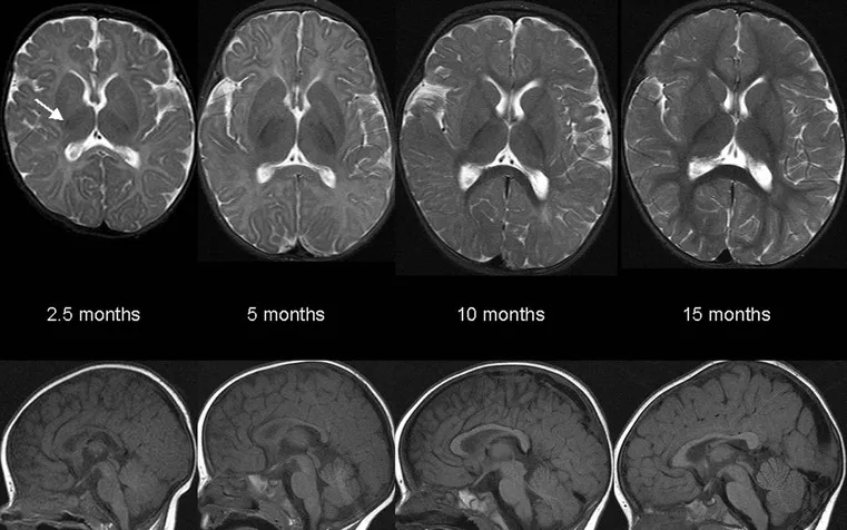
Myelination (Age-dependent): Inferior → superior, post → ant, central → peripheral.
- T1: Myelin ↑. T2: Myelin ↓.
- Birth: Brainstem, PLIC.
- 3-6 mo: ALIC, SCC.
- 6-12 mo: GCC, occipital WM.
- 18-24 mo: Frontal WM (adult by 2 yrs).

⭐ DWI (Diffusion-Weighted Imaging) is the most sensitive sequence for detecting acute ischemic stroke within minutes to hours of onset.
High‑Yield Points - ⚡ Biggest Takeaways
- Cranial USG: Initial choice for neonatal IVH & hydrocephalus.
- MRI: Gold standard for brain/spinal congenital malformations, tumors, & white matter diseases.
- CT: Preferred for acute head trauma (fractures, hemorrhage) & shunt evaluation.
- DWI (MRI): Key for acute stroke & cytotoxic edema.
- MRS (MRI): Differentiates tumors from non-neoplastic lesions; assesses metabolic disorders.
- Contrast: Essential for infection, inflammation, tumors, & vascular lesions in CT/MRI.
Unlock the full lesson and continue reading
Signup to continue reading this lesson and unlimited access questions, flashcards, AI notes, and more