Intro & Pathogenesis - Workplace Woes
- Occupational Lung Diseases (OLDs): Lung conditions from inhaling harmful agents (dusts, chemicals, fumes) at work.
- Key Pathogenesis Factors:
- Particle Size: 1-5 µm = greatest risk (reach alveoli).
- Deposition: Via impaction, sedimentation, diffusion based on size.
- Clearance: Mucociliary escalator & alveolar macrophages. Overwhelm or dysfunction leads to accumulation & injury.
- Host Factors: Smoking, genetics, immune status modify risk.
- Common Pathway: Persistent inflammation → cytokine release → fibrosis.

⭐ Particles 1-5 µm in diameter are most fibrogenic as they deposit in terminal airways and alveoli, triggering macrophage response and subsequent inflammation/fibrosis if clearance fails or exposure is chronic and heavy.
Silicosis & CWP - Deadly Dusts
Silicosis and Coal Worker's Pneumoconiosis (CWP) are fibrotic lung diseases from inhaling inorganic dusts (particle size <5µm), primarily affecting upper lobes.
| Feature | Silicosis | Coal Worker's Pneumoconiosis (CWP) |
|---|---|---|
| Etiology | Crystalline silica ($SiO_2$) dust (mining, sandblasting, stone cutting). | Coal dust (coal mining). |
| Pathology | Silicotic nodules (whorled collagen, birefringent particles). Hilar 'egg-shell' calcification. | Coal macules (carbon-laden macrophages), coal nodules. Anthracosis. Complicated: Progressive Massive Fibrosis (PMF). |
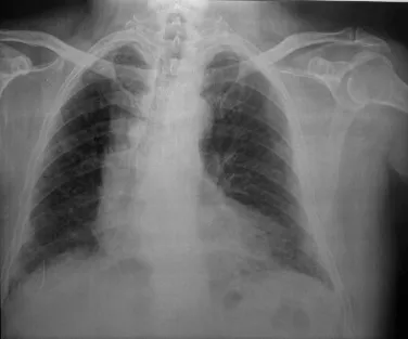
| CXR/CT | Upper lobe nodules, 'egg-shell' hilar calcification. PMF. | Upper lobe nodules. PMF (lesions >1cm). Caplan Syndrome (RA + nodules). ![]() |
| Complications | ↑ TB risk (Silicotuberculosis), PMF, cor pulmonale, lung cancer. | PMF, Caplan syndrome, cor pulmonale. Less TB risk than silicosis. |
Asbestosis & Mesothelioma - Fibers of Fate
- Asbestos Fibers: Amphibole (straight, more pathogenic, e.g., crocidolite) vs. Serpentine (curly, e.g., chrysotile).
- Asbestosis:
- Diffuse interstitial fibrosis, predominantly in lower lobes.
- Latency: 10-20 yrs.
- Asbestos bodies (ferruginous bodies): Golden-brown, beaded, iron-coated fibers.
- Leads to restrictive lung disease, "honeycomb lung" in advanced cases.
- Pleural Plaques:
- Most common manifestation of asbestos exposure.
- Well-demarcated, often calcified, dense collagen deposits on parietal pleura (especially posterolateral surfaces, diaphragm). Usually asymptomatic.
- Mesothelioma:
- Malignancy of pleura (80%) or peritoneum; strong link to asbestos (especially amphiboles).
- Latency: Long, 25-45 yrs.
- Symptoms: Chest pain, dyspnea, recurrent, often hemorrhagic, pleural effusions.
-
Markers: Calretinin+, WT-1+, CK5/6+.
⭐ Smoking is NOT a risk factor for mesothelioma, unlike for asbestos-related lung cancer.
- Lung Cancer (Bronchogenic Carcinoma):
- Most common cancer in asbestos-exposed individuals.
- 📌 Asbestos exposure + Tobacco smoking = Synergistic (multiplicative) ↑↑ risk for lung cancer.
Organic Dusts & Asthma - Reactive Airways
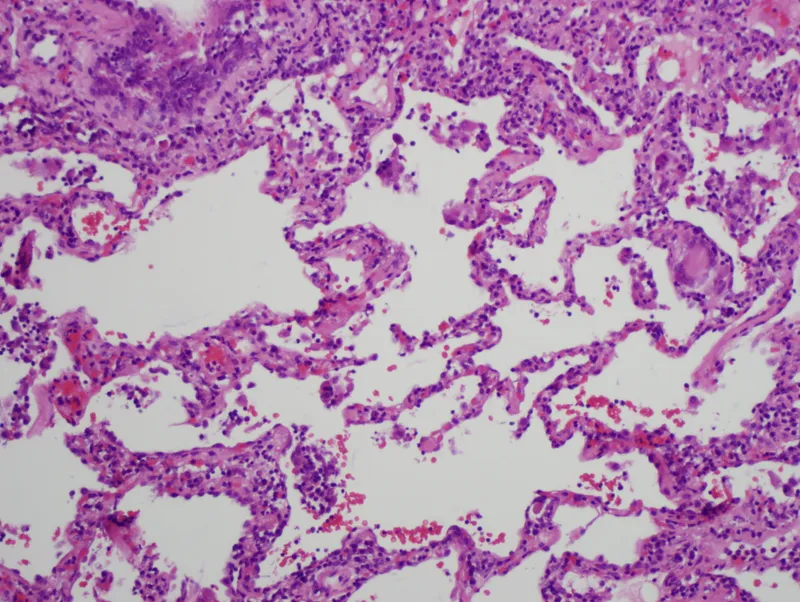
- Hypersensitivity Pneumonitis (HP): Immune (Type III/IV) reaction to inhaled organic dusts.
- Acute: Fever, cough, dyspnea 4-6 hrs post-exposure.
- Chronic: Fibrosis, non-caseating granulomas.

- Types of HP:
Antigen Source Disease Name Thermophilic actinomycetes Moldy hay, sugarcane Farmer's Lung, Bagassosis Avian proteins Bird droppings/feathers Bird Fancier's Lung Aspergillus spp. Contaminated barley Malt Worker's Lung - Occupational Asthma: Airway hyperresponsiveness from workplace agents.
- Sensitizer-induced (latency) vs. Irritant-induced (RADS, no latency).
- Symptoms improve away from work.
- Byssinosis: "Monday Fever" from cotton/flax/hemp dust (endotoxin). Chest tightness on 1st workday.
- Flowchart: Occupational Asthma Classification
⭐ Farmer's Lung (Thermophilic actinomycetes in moldy hay) is the most common type of Hypersensitivity Pneumonitis.
High‑Yield Points - ⚡ Biggest Takeaways
- Silicosis: Upper lobes, eggshell calcification, ↑ TB risk.
- CWP: Upper lobes, coal macules; PMF if complicated.
- Asbestosis: Lower lobes, pleural plaques (commonest), ferruginous bodies; ↑ mesothelioma & bronchogenic Ca risk.
- Berylliosis: Granulomatous disease (mimics sarcoidosis), aerospace; BeLPT for diagnosis.
- Byssinosis: Cotton dust exposure, "Monday fever" (chest tightness).
- Caplan Syndrome: Pneumoconiosis + Rheumatoid Arthritis + necrobiotic nodules.
- Hypersensitivity Pneumonitis: e.g., Farmer's Lung (moldy hay), immune-mediated.
Unlock the full lesson and continue reading
Signup to continue reading this lesson and unlimited access questions, flashcards, AI notes, and more
Hilar 'egg-shell' calcification.

