Vulva & Vagina - Outer Defenses
- Physiological Defenses: Key to preventing infections.
- Normal Flora: Predominantly Lactobacilli (Döderlein's bacilli).
- Metabolize glycogen (estrogen-dependent) to lactic acid.
- Maintains acidic vaginal pH (3.8-4.5), inhibiting pathogen growth.
- Epithelium:
- Vulva: Keratinized stratified squamous epithelium.
- Vagina: Non-keratinized stratified squamous epithelium, rich in glycogen (estrogen-dependent).
- Provides a physical barrier.
- Secretions: Cervical mucus & vaginal transudate offer a flushing mechanism.
- Local Immunity: Includes Langerhans cells (APCs) & intraepithelial lymphocytes.

- Normal Flora: Predominantly Lactobacilli (Döderlein's bacilli).
⭐ Estrogen is vital for vaginal health; it promotes glycogen accumulation in vaginal epithelial cells, supporting Lactobacilli and maintaining an acidic pH, crucial for defense against infections like bacterial vaginosis and candidiasis.
Cervix - Gatekeeper's Woes
- Cervicitis:
- Acute (PMNs), Chronic (lymphocytes).
- Causes: C. trachomatis (common), N. gonorrhoeae, HSV, T. vaginalis.
- HPV & Pre-cancer:
- High-risk (HR-HPV): 16, 18, 31, 33; E6 (↓p53), E7 (↓Rb).
- Low-risk (LR-HPV): 6, 11 → Condyloma.
- Transformation Zone (TZ): Key site for dysplasia.
- Koilocytes: HPV effect (perinuclear halo, nuclear atypia).
- Cervical Intraepithelial Neoplasia (CIN):
- CIN I: Mild dysplasia (lower 1/3 epithelium).
- CIN II: Moderate (lower 2/3).
- CIN III/CIS: Severe (full thickness).
- Cervical Cancer:
- Types: SCC (
75%), AdenoCa (20%). - Screening: Pap smear, HPV DNA.
- Prevention: HPV vaccine.
- Types: SCC (
- Benign:
- Nabothian cysts, Endocervical polyps.
⭐ HR-HPV types 16 & 18 cause ~70% of cervical cancers.

Uterus (Corpus & Endometrium) - Womb Wonders & Worries
- Endometrial Hyperplasia & Carcinoma:
- Hyperplasia: Unopposed estrogen. PTEN inactivation. Precursor to Type I Ca. EIN classification.
- Ca Type I: ~80%. Estrogen-dependent. PTEN, KRAS, MSI. Endometrioid. Good prognosis.
- Ca Type II: ~15%. Estrogen-independent. p53. Serous, clear cell. Aggressive.
- Adenomyosis: Endometrial glands/stroma in myometrium. Menorrhagia, dysmenorrhea, enlarged uterus.
- Leiomyoma (Fibroid): Benign smooth muscle tumor. Most common tumor in women. Estrogen-sensitive. MED12.
- Locations: Submucosal, Intramural, Subserosal. (📌 Mnemonic: "SIMS")

- Locations: Submucosal, Intramural, Subserosal. (📌 Mnemonic: "SIMS")
- Leiomyosarcoma: Malignant. De novo. Necrosis, atypia, >10 mitoses/10 HPF.
- Endometritis:
- Acute: Bacterial, post-partum/abortion. Neutrophils.
- Chronic: Plasma cells diagnostic. Causes: PID, IUD, TB.
- Asherman Syndrome: Intrauterine adhesions. Amenorrhea, infertility.
⭐ Endometrial carcinoma is the most common invasive cancer of the female genital tract.
Ovaries & Fallopian Tubes - Eggcellent Adventures & Alarms
- Ovarian Cysts & Tumors:
- Functional Cysts: Follicular, Corpus Luteum, Theca-Lutein. Usually benign.
- Surface Epithelial (most common):
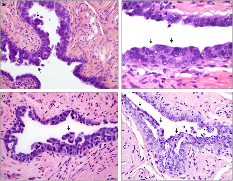
- Serous: Most common malignant. Psammoma bodies. CA-125.
- Mucinous: Large. Pseudomyxoma peritonei.
- Endometrioid: Assoc. w/ endometriosis.
- Brenner: Benign. Coffee-bean nuclei.
- Germ Cell (younger patients):
- Teratoma (Dermoid): Most common GCT. Mature (benign). Struma ovarii.
- Dysgerminoma: LDH, hCG. Radiosensitive. (📌 "D"ysgerminoma = ra"D"iosensitive)
- Yolk Sac Tumor: AFP. Schiller-Duval bodies.
- Choriocarcinoma: ↑hCG. Aggressive.
- Sex Cord-Stromal:
- Granulosa Cell: Estrogen ↑ (bleeding/precocity). Call-Exner bodies. Inhibin.
- Sertoli-Leydig: Androgens ↑ (virilization).
- Fibroma: Solid. Meigs syndrome (fibroma, ascites, hydrothorax).
- Fallopian Tube Pathology:
- Salpingitis (PID): Inflammation. Hydrosalpinx, pyosalpinx. Infertility risk.
- Ectopic Pregnancy: Ampulla (most common). Rupture risk.
- Carcinoma: Rare, serous type. BRCA assoc.
⭐ Meigs syndrome triad: Ovarian fibroma, ascites, and hydrothorax. Resolves with tumor removal.

High‑Yield Points - ⚡ Biggest Takeaways
- HPV infection (types 16, 18) is key in cervical intraepithelial neoplasia (CIN) and cancer.
- Endometriosis: ectopic endometrial tissue; "chocolate cysts" (ovary).
- PCOS: anovulation, hyperandrogenism, polycystic ovaries; ↑ risk of endometrial cancer.
- Leiomyomas (fibroids): most common benign uterine tumor.
- Serous cystadenocarcinoma: most common malignant ovarian epithelial tumor; psammoma bodies.
- Lichen sclerosus: thin, white plaques on vulva; slight ↑ risk of SCC.
- Granulosa cell tumors of ovary often produce estrogen; Call-Exner bodies.
Unlock the full lesson and continue reading
Signup to continue reading this lesson and unlimited access questions, flashcards, AI notes, and more