Diabetic Nephropathy - Sweet Kidney Sorrow
- Pathogenesis: Non-enzymatic glycosylation (AGEs), PKC activation, hemodynamic changes (glomerular hyperfiltration), sorbitol pathway flux → all cause glomerular damage.
- Morphology:
- GBM thickening
- Diffuse mesangial sclerosis
- Nodular glomerulosclerosis (Kimmelstiel-Wilson lesions)

- Hyaline arteriolosclerosis (afferent & efferent arterioles)
- Stages (Mogensen) & Clinical Features:
> ⭐ Kimmelstiel-Wilson nodules (nodular glomerulosclerosis) are pathognomonic for diabetic nephropathy.
Lupus Nephritis - Wolf's Kidney Attack
Pathogenesis: Type III Hypersensitivity; DNA/anti-DNA immune complex deposition.
ISN/RPS Classification (2003/2018): 📌 (I-VI)
| Class | Name | Key Feature |
|---|---|---|
| I | Minimal Mesangial LN | Normal LM, mesangial IC |
| II | Mesangial Proliferative LN | Mesangial hypercellularity |
| III | Focal LN | <50% glomeruli affected |
| IV | Diffuse LN | ≥50% glomeruli (S/G) |
| V | Membranous LN | Subepithelial deposits |
| VI | Advanced Sclerosing LN | >90% sclerosed glomeruli |
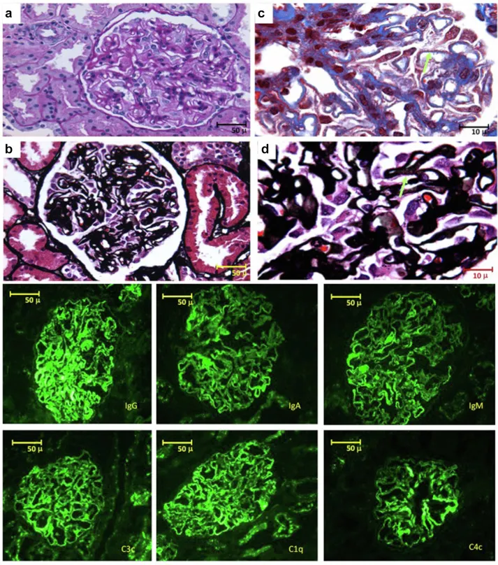
- IF: "Full house" pattern (IgG, IgA, IgM, C3, C1q).

- EM: Subendothelial, mesangial, subepithelial deposits.
- LM: Wire loop lesions, hyaline thrombi, endocapillary proliferation, crescents.
Clinical: Varies by class; hematuria, proteinuria, nephrotic/nephritic syndrome, HTN, renal insufficiency.
⭐ "Full house" immunofluorescence (co-deposition of IgG, IgA, IgM, C3, and C1q) is highly characteristic of lupus nephritis.
Renal Vasculitis - Vessel Villainy
ANCA-Associated Vasculitis (AAV) comprises systemic necrotizing vasculitides targeting small vessels, frequently causing severe renal injury.
- Primary Renal Lesion: Pauci-immune crescentic glomerulonephritis (GN) - minimal immune deposits on IF/EM.
- Presentation: Rapidly Progressive GN (RPGN), hematuria, non-nephrotic proteinuria, systemic symptoms (fever, weight loss, arthralgia).
| AAV Type | ANCA Profile | Distinguishing Systemic Involvement |
|---|---|---|
| GPA (Granulomatosis with Polyangiitis) | c-ANCA (anti-PR3) | Upper/lower respiratory tract (granulomas), sinusitis, renal |
| MPA (Microscopic Polyangiitis) | p-ANCA (anti-MPO) | Kidneys, lungs (capillaritis); no granulomas |
| EGPA (Eosinophilic GPA) | p-ANCA (anti-MPO) | Asthma, significant eosinophilia, neuropathy, cardiac involvement |

Renal Amyloidosis - Congo Red Kidneys
- Definition: Extracellular deposition of misfolded proteins (insoluble fibrils).
- Types:
Type Precursor Protein Associations AL Ig light chains Plasma cell dyscrasias (e.g., MM) AA Serum Amyloid A (SAA) Chronic inflammation (e.g., RA, IBD) - Renal Morphology:
- Glomeruli: Most common. Amorphous, eosinophilic deposits (mesangium & capillary walls).
- Congo Red: Salmon-pink; apple-green birefringence (polarized light).

- EM: Non-branching fibrils (7.5-10 nm diameter), randomly arranged.
- Tubulointerstitial & vascular deposits also occur.
- Clinical:
- Nephrotic syndrome (most common).
- Proteinuria, progressive renal insufficiency.
- Kidneys: Enlarged or normal-sized.
⭐ Congo Red: Apple-green birefringence (polarized light) is pathognomonic for amyloidosis.
High‑Yield Points - ⚡ Biggest Takeaways
- Diabetic Nephropathy: Kimmelstiel-Wilson nodules are pathognomonic; leading cause of ESRD.
- Lupus Nephritis: Class IV (DPGN) is most common and severe; "full-house" immunofluorescence.
- Hypertensive Nephrosclerosis: Hyaline arteriolosclerosis (benign); hyperplastic "onion-skinning" (malignant).
- Amyloidosis: Congo Red stain shows apple-green birefringence; commonly causes nephrotic syndrome.
- Multiple Myeloma: Cast nephropathy (myeloma kidney) is characteristic; Bence Jones proteinuria is key.
- Goodpasture Syndrome: Anti-GBM antibodies cause linear IgG deposition on IF; nephritis & hemoptysis.
- ANCA-associated Vasculitis: Typically causes pauci-immune crescentic GN (e.g., GPA, MPA).
Unlock the full lesson and continue reading
Signup to continue reading this lesson and unlimited access questions, flashcards, AI notes, and more