Neurodegenerative Diseases - Brain's Protein Glitches
Definition: Progressive, often age-related, loss of neuron structure and/or function. Common mechanisms:
- Protein misfolding & aggregation (proteinopathies)
- Oxidative stress
- Neuroinflammation
- Impaired proteostasis
⭐ Most neurodegenerative diseases involve intracellular or extracellular aggregates of misfolded proteins.
Key Proteinopathies & Associated Diseases:

| Protein | Disease Examples | Location of Aggregates |
|---|---|---|
| Aβ (Amyloid-β) | Alzheimer's Disease | Extracellular plaques |
| Tau | Alzheimer's, FTD | Intracellular NFTs |
| α-synuclein | Parkinson's, MSA | Intracellular Lewy bodies |
| TDP-43 | ALS, FTD | Cytoplasmic inclusions |
| PrP (Prion) | CJD | PrPSc aggregates (intra/extra) |
Neurodegenerative Diseases - Memory's Missing Pages
- Alzheimer's Disease (AD): Most common dementia.
- Etiopathogenesis: Extracellular Aβ plaques (from Amyloid Precursor Protein - APP); Intracellular neurofibrillary tangles (NFTs) of hyperphosphorylated Tau protein.
- Gross: Cortical atrophy (frontal, temporal, parietal lobes), widened sulci, hydrocephalus ex vacuo.
- Microscopic: Neuritic plaques, NFTs, amyloid angiopathy, neuronal loss.

- Genetic Factors:
- Early-onset (familial): APP, PSEN1, PSEN2.
- Late-onset (sporadic):
⭐ APOEε4 is the major genetic risk factor for sporadic AD.
- 📌 Mnemonic: Old APPs Play Songs 1 & 2 Every 4ever (APP, PSEN1, PSEN2, APOEε4).
- Association: ↑ risk in Down syndrome (Trisomy 21; APP gene on Chr 21).
- Clinical: Progressive memory loss, cognitive decline, dementia features develop over years (e.g., disorientation, mood changes).
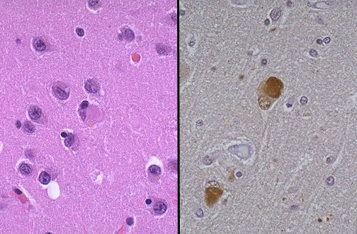
Neurodegenerative Diseases - Synuclein's Shaky Saga
- Parkinson's Disease (PD):
- Pathology: Loss of dopaminergic neurons in substantia nigra pars compacta → ↓ dopamine.

- Hallmark: Intracytoplasmic Lewy bodies (α-synuclein aggregates).

- Clinical: 📌 TRAP mnemonic: Tremor (resting, "pill-rolling"), Rigidity ("cogwheel"), Akinesia/Bradykinesia, Postural instability.
- Pathology: Loss of dopaminergic neurons in substantia nigra pars compacta → ↓ dopamine.
⭐ Lewy bodies containing α-synuclein are the hallmark of Parkinson's disease.
- Other α-Synucleinopathies:
- Lewy Body Dementia (LBD): Fluctuating cognition, visual hallucinations (early), Parkinsonism. Lewy bodies in cortex & brainstem.
- Multiple System Atrophy (MSA): Parkinsonism (poor L-dopa response), autonomic failure (e.g., orthostatic hypotension), cerebellar ataxia. α-synuclein in oligodendroglial cytoplasm (Papp-Lantos bodies).
Neurodegenerative Diseases - Genetic Repeats & Motor Retreats
- Huntington's Disease (HD): Autosomal Dominant (AD); CAG repeats (HTT gene, Chr 4). >40 repeats = full penetrance; 36-39 = reduced penetrance. Exhibits anticipation.
- Pathophysiology: Caudate atrophy, ↓GABAergic neurons. 📌 "Hunting for GABA in the Caudate with CAGs".

⭐ Huntington's disease is caused by a CAG repeat expansion in the huntingtin gene, exhibiting anticipation.
- Amyotrophic Lateral Sclerosis (ALS): Combined Upper Motor Neuron (UMN) & Lower Motor Neuron (LMN) signs.
- Pathophysiology: TDP-43 proteinopathy (most common); SOD1 gene mutations (familial cases).
- Histology: Bunina bodies (characteristic intracytoplasmic inclusions in LMNs).

Neurodegenerative Diseases - Spongy Scare & Frontal Flare
- Prion Diseases (Spongy Scare):
- Pathogenesis: Accumulation of abnormal prion protein (PrPSc).
- Key CNS finding: Spongiform encephalopathy (neuronal loss, gliosis, vacuolation).
- Creutzfeldt-Jakob Disease (CJD): Rapidly progressive dementia, myoclonus, ataxia, visual disturbances. 📌 Mnemonic: Can't Jog Daily (ataxia, rapid).
⭐ Spongiform encephalopathy (vacuolation) is the characteristic CNS finding in Creutzfeldt-Jakob disease.

- Frontotemporal Dementia (FTD) (Frontal Flare):
- Pathology: Progressive frontotemporal lobar atrophy.
- Key proteinopathies: Tau (e.g., Pick bodies) or TDP-43.
- Clinical Variants:
- Behavioral (bvFTD): Early personality/behavioral changes (disinhibition, apathy).
- Primary Progressive Aphasia (PPA): Language deficits (semantic, nonfluent, logopenic).
High‑Yield Points - ⚡ Biggest Takeaways
- Alzheimer's: Aβ plaques (extracellular), tau tangles (intraneuronal); ApoE4 major genetic risk.
- Parkinson's: α-synuclein Lewy bodies in substantia nigra; marked dopamine loss.
- Huntington's: Autosomal dominant CAG repeats (HTT gene); progressive caudate atrophy.
- ALS: UMN & LMN degeneration; common proteinopathies include TDP-43 or SOD1.
- Prion Diseases (CJD): PrPSc induces spongiform encephalopathy; rapidly fatal dementia.
- FTD: Frontal/temporal lobar atrophy; characteristic tau (Pick bodies) or TDP-43 inclusions.
Unlock the full lesson and continue reading
Signup to continue reading this lesson and unlimited access questions, flashcards, AI notes, and more