Bacterial Meningitis & Abscess - Brain Under Siege
- Bacterial Meningitis: Acute inflammation of leptomeninges.
- Pathogens: S. pneumoniae (adults), N. meningitidis (teens, petechiae), GBS/E.coli (neonates), Listeria (elderly/immunocompromised).
- CSF: ↑Pressure, ↑PMNs (>1000/µL), ↑Protein (>45mg/dL), ↓Glucose (<40mg/dL). Gram stain often positive.
- Complications: Hydrocephalus, seizures, deafness.
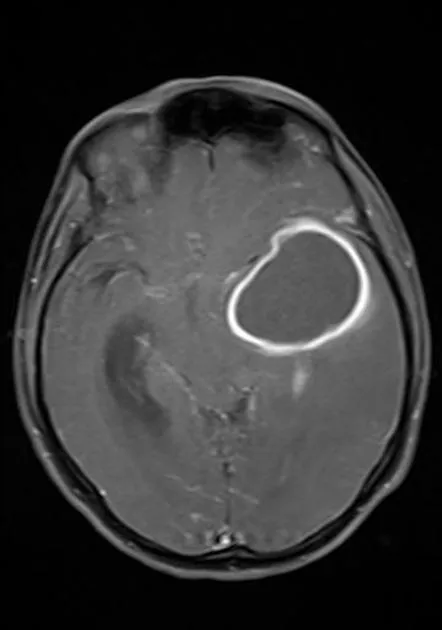
- Brain Abscess: Focal collection of pus within brain parenchyma.
- Etiology: Direct spread (sinusitis, otitis), hematogenous.
- Imaging: CT/MRI shows characteristic ring-enhancing lesion.
- Stages: Early cerebritis → Late cerebritis → Capsule formation.

⭐ CSF in bacterial meningitis: Glucose <40 mg/dL, Protein >45 mg/dL, WBC (Neutrophils) >1000/µL.
Viral Encephalitis & Myelitis - Viral Voltage
- Viral inflammation of brain parenchyma (encephalitis) or spinal cord (myelitis).
- Common Etiologies & Key Features:
- Herpes Simplex Virus (HSV-1): Most common sporadic encephalitis; affects temporal lobes. Rx: Acyclovir.
- Arboviruses (e.g., Japanese Encephalitis, West Nile Virus): Epidemics, mosquito-borne; JE affects thalamus, basal ganglia.
- Enteroviruses (Poliovirus, Coxsackie): Aseptic meningitis; Polio targets anterior horn cells (myelitis).
- Rabies Virus: Ascending myelitis/encephalitis; Negri bodies (intracytoplasmic inclusions).
- JC Virus: Progressive Multifocal Leukoencephalopathy (PML) in immunocompromised (CD4 < 200).
- Clinical: Fever, headache, altered sensorium, seizures, focal neurological deficits. Myelitis: weakness, paralysis.
- Diagnosis: CSF (lymphocytic pleocytosis, ↑protein), PCR for viral nucleic acid, MRI.
⭐ HSV encephalitis is the most common cause of fatal sporadic encephalitis in adults and classically involves the inferomedial temporal lobes and limbic system; early Acyclovir is crucial.
Fungal & Parasitic CNS - Unwelcome Guests
- Fungal Infections:
- Cryptococcosis: C. neoformans. HIV/AIDS. India ink (CSF), soap bubble lesions (MRI). Rx: Ampho B + Flucytosine.
- Mucormycosis: Rhino-orbital-cerebral. Diabetics (DKA). Angioinvasion, black eschar. Rx: Surgery + Ampho B.
- Aspergillosis: Angioinvasive, hemorrhagic infarcts. Neutropenia. Galactomannan antigen.
- Parasitic Infections:
- Neurocysticercosis (NCC): T. solium larvae. Seizures. CT/MRI: cysts, scolex, calcifications. Rx: Albendazole + steroids.
⭐ NCC is the most common cause of adult-onset seizures in endemic areas like India.
- Cerebral Toxoplasmosis: T. gondii. HIV (CD4 < 100). Multiple ring-enhancing lesions. Rx: Pyrimethamine + Sulfadiazine.
- Cerebral Malaria: P. falciparum. Coma, seizures. Retinal hemorrhages. Rx: IV Artesunate.
oka
- Neurocysticercosis (NCC): T. solium larvae. Seizures. CT/MRI: cysts, scolex, calcifications. Rx: Albendazole + steroids.
TB Meningitis & Prions - Chronic Creepers
Tuberculous (TB) Meningitis:
- Thick, gelatinous basal exudates; often leads to cranial nerve palsies (VI, VII, III, IV).
- Complications: Hydrocephalus, vasculitis, infarcts.
- CSF: Lymphocytic pleocytosis, ↑ protein (often >100 mg/dL), ↓ glucose (<40 mg/dL or <40% of blood glucose), ↑ ADA.
- Diagnosis: AFB smear (low sensitivity), GeneXpert/MTB PCR (high specificity).
- Treatment: Anti-Tubercular Therapy (ATT) + Corticosteroids (e.g., Dexamethasone for 6-8 weeks).
⭐ CSF in TB meningitis classically shows a "cobweb coagulum" upon standing due to high fibrinogen content.
Prion Diseases (Transmissible Spongiform Encephalopathies - TSEs):
- Agent: Abnormal prion protein (PrPSc) - protease-resistant, induces conformational change in normal PrPC.
- Examples: Creutzfeldt-Jakob Disease (CJD), Kuru, Gerstmann-Sträussler-Scheinker (GSS).
- CJD: Rapidly progressive dementia, myoclonus (startle myoclonus), ataxia.
- EEG (sCJD): Periodic sharp wave complexes.
- Histology: Spongiform degeneration, neuronal loss, astrogliosis.

High‑Yield Points - ⚡ Biggest Takeaways
- Bacterial meningitis: S. pneumoniae (adults). CSF: ↑Protein, ↓Glucose, ↑Neutrophils.
- Viral meningitis: CSF: Normal/↑Protein, Normal Glucose, ↑Lymphocytes.
- Tuberculous meningitis: CSF: Markedly ↑Protein, ↓↓Glucose, ↑Lymphocytes, cobweb coagulum.
- Brain abscess: Ring-enhancing lesion on imaging; central necrosis, surrounding fibrous capsule.
- Herpes Simplex Encephalitis (HSE): Affects temporal lobes; hemorrhagic necrosis, Cowdry A inclusions.
- Progressive Multifocal Leukoencephalopathy (PML): JC virus in immunocompromised; widespread demyelination affecting oligodendrocytes.
- Rabies: Negri bodies (intracytoplasmic inclusions) in hippocampal pyramidal cells and Purkinje cells of cerebellum.
Unlock the full lesson and continue reading
Signup to continue reading this lesson and unlimited access questions, flashcards, AI notes, and more