Accumulations and Deposits - Cellular Stash Secrets
- Intracellular accumulation occurs via: abnormal metabolism, defective protein folding/transport, enzyme deficiency, or ingestion of indigestible materials.
- Key Examples:
- Lipids: Steatosis (e.g., fatty liver), cholesterolosis.
- Proteins: Russell bodies (plasma cells), Mallory-Denk bodies (liver disease).
- Glycogen: Diabetes mellitus, glycogen storage diseases (GSDs).
- Pigments: Lipofuscin (wear & tear), melanin, hemosiderin (iron).
- Calcium: Dystrophic (damaged tissue), metastatic (hypercalcemia).
⭐ Lipofuscin, the "wear-and-tear" pigment, is an insoluble brownish-yellow granular material accumulating in aging cells, particularly heart, liver, and brain.
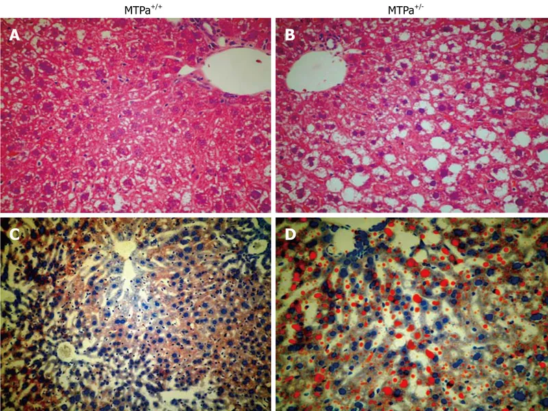
Accumulations and Deposits - Fat, Protein Pile-Up
- Fatty Change (Steatosis): Abnormal triglyceride accumulation in cells; often reversible.
- Liver: Most common. Causes: Alcohol, toxins, DM, obesity, malnutrition.
- Gross: ↑Size, yellow, greasy.
- Micro: Fat vacuoles (can cause signet ring appearance). Stains: Oil Red O, Sudan Black B (frozen).
- Heart: "Tigeroid" pattern (severe anemia, diphtheria).

- Liver: Most common. Causes: Alcohol, toxins, DM, obesity, malnutrition.
- Protein Accumulation: Excess synthesis/uptake or defective folding/transport; often eosinophilic.
- Examples:
- Reabsorption droplets: Renal tubules (proteinuria).
- Russell bodies: Ig in plasma cell RER (distended).
- Mallory-Denk bodies: Cytokeratin in hepatocytes (alcoholic liver disease, NAFLD).
- Neurofibrillary tangles: Alzheimer's (tau protein).
- $\alpha$1-antitrypsin deficiency: Misfolded protein in liver ER.
⭐ Mallory-Denk bodies: Eosinophilic cytokeratin inclusions in hepatocytes (alcoholic hepatitis, NAFLD), appear as rope-like structures.
- Examples:
Accumulations and Deposits - Sugar & Stain Stories
- Glycogen:
- Excess intracellular glucose.
- Causes: Diabetes (DM), Glycogen Storage Diseases (GSDs).
- Sites: Liver, kidney (Armanni-Ebstein lesions in DM), heart.
- Stain: PAS (+, magenta), diastase-sensitive.
- Appearance: Clear cytoplasmic vacuoles.
- Pigments (Endogenous):
- Lipofuscin (Wear & Tear):
- Yellow-brown granules; lipid peroxidation.
- Sites: Heart, liver, brain (elderly).
- Stain: Sudan Black B.
- Melanin:
- Brown-black; tyrosine oxidation.
- Cells: Melanocytes.
- Stain: Fontana-Masson (silver).
- Hemosiderin (Iron):
- Golden-yellow/brown; hemoglobin breakdown (ferritin aggregates).
- Sites: Hemorrhage, chronic congestion.
- Stain: Prussian blue (Perls') - iron blue.
⭐ Hemosiderin-laden macrophages in alveoli are "heart failure cells" (chronic pulmonary congestion).
- Bilirubin (No Iron):
- Yellow-green/brown; heme degradation.
- Sites: Liver (jaundice, cholestasis).
- Stain: Hall's (Fouchet) - bilirubin green.
- Lipofuscin (Wear & Tear):
Accumulations and Deposits - Outside Cell Overload
-
Amyloidosis: Extracellular deposition of misfolded fibrillar proteins (β-pleated sheets).
- Stain: Congo Red → apple-green birefringence (polarized light).
- Key Types:
- AL: Ig light chains (plasma cell dyscrasias).
- AA: Serum Amyloid A (chronic inflammation).
- Aβ: APP (Alzheimer's disease plaques).
- ATTR: Transthyretin (senile/familial amyloidosis).
- Organs: Kidney (nephrotic syndrome), heart (restrictive cardiomyopathy), liver, spleen.
⭐ Congo Red stain showing apple-green birefringence under polarized light is pathognomonic for amyloidosis.
-
Pathologic Calcification: Abnormal Ca²⁺ salt deposition. Two types:
- Gout: Monosodium Urate (MSU) crystal deposition in/around joints; from hyperuricemia.
- Crystals: Needle-shaped, negatively birefringent. 📌 Mnemonic: Yellow when Parallel (YAP), Blue when Perpendicular (BUP) to compensator.
- Tophus: Pathognomonic; MSU crystals + chronic granulomatous inflammation (macrophages, giant cells).

High‑Yield Points - ⚡ Biggest Takeaways
- Steatosis: Reversible triglyceride accumulation, common in the liver.
- Cholesterol: Accumulates in atherosclerosis, xanthomas, and cholesterolosis.
- Lipofuscin: "Wear-and-tear" pigment from lipid peroxidation, linked to brown atrophy.
- Hemosiderin: Iron-storage pigment, Prussian blue positive, indicates hemorrhage or iron overload.
- Pathologic Calcification: Dystrophic in damaged tissue (normocalcemia); Metastatic with hypercalcemia.
- Amyloidosis: Extracellular misfolded proteins; Congo Red stain shows apple-green birefringence.
- Proteinopathies: Include Russell bodies (immunoglobulins) and Mallory-Denk bodies (cytokeratin).
Unlock the full lesson and continue reading
Signup to continue reading this lesson and unlimited access questions, flashcards, AI notes, and more
