Cardiac Tumor Classification - Heart's Unwanted Guests
- Primary Tumors: Originate in heart; rare.
- Benign (~75%):
- Myxoma: Most common primary in adults; 📌 "M"yxoma = "M"ost common, "M"ainly in left "A"trium.
- Rhabdomyoma: Most common in children; associated with Tuberous Sclerosis.
- Malignant (~25%):
- Sarcomas (e.g., Angiosarcoma): Most common primary malignant. Poor prognosis.
- Benign (~75%):
- Secondary (Metastatic) Tumors: More common than primary.
- Spread from: Lung, breast, melanoma, lymphoma, leukemia.
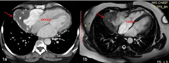
⭐ Atrial myxomas, most common primary adult cardiac tumor, are often pedunculated, arising from fossa ovalis in left atrium.

Benign Cardiac Tumors - Myxoma & Mates
- Most common primary cardiac tumors. Myxoma is the most frequent overall in adults.

| Tumor | Key Features | Associations |
|---|---|---|
| Myxoma | Adults; LA ~75% (fossa ovalis). Gelatinous, pedunculated. "Wrecking ball" effect, emboli, IL-6 (fever, malaise). | Carney complex (PRKAR1A) |
| Rhabdomyoma | Children (most common). Ventricles > Atria. "Spider cells" (glycogen). Often multiple, may regress. | Tuberous sclerosis (TSC1/TSC2) |
| Fibroma | Children (2nd most common). Ventricular septum/wall. Firm, white, whorled. Non-encapsulated. | Gorlin syndrome |
| Lipoma | Mature adipocytes. Subepicardial/myocardial. Usually asymptomatic. | - |
| Papillary Fibroelastoma | Adults; Valvular (aortic/mitral). "Sea-anemone" fronds on surface. High emboli risk. | - |
📌 Mnemonic for Myxoma: "Myxomas are MIXed up (gelatinous) and often LEFT hanging in the atrium (LA)."
Malignant Cardiac Tumors - Sarcoma Strikes
- Primary malignant cardiac tumors: Rare, aggressive. Sarcomas most common.
- Angiosarcoma: Most frequent type (~40%).
- Predilection: Right Atrium (RA).
- Behavior: Rapid growth, early metastasis (often lungs).
- Prognosis: Dismal, median survival < 1 year.
- Other sarcomas: Rhabdomyosarcoma (children), fibrosarcoma.
- Symptoms: Dyspnea, chest pain, heart failure, arrhythmias, embolic phenomena.
- Diagnosis: Echo, CT, MRI. Biopsy for confirmation.

⭐ Angiosarcoma, the most common primary malignant cardiac tumor, often arises in the right atrium and may cause hemorrhagic pericardial effusion.
Metastatic Cardiac Tumors - Secondary Spread
- Significantly more common than primary cardiac tumors, occurring 20-40 times more frequently.
- Most frequent primary origins:
- Lung carcinoma (often by direct extension)
- Breast carcinoma
- Malignant melanoma (high cardiac tropism)
- Leukemia and lymphoma
- Pathways of spread:
- Direct contiguous extension (e.g., lung, esophagus)
- Hematogenous dissemination (e.g., melanoma, sarcomas)
- Lymphatic spread
- Intracavitary diffusion (e.g., renal cell carcinoma via IVC)
- Pericardium is the most common site, followed by myocardium, then endocardium.

⭐ Malignant melanoma has the highest relative incidence of cardiac metastasis among all tumor types.
Cardiac Tumor Diagnosis - Signs & Scans
- Clinical: Highly variable. Dyspnea, chest pain, embolic phenomena, arrhythmias, new murmurs. Constitutional symptoms (fever, weight loss).
- Imaging:
- Echocardiography (TTE/TEE): First-line; identifies mass, location, mobility.
- Cardiac MRI/CT: Superior tissue characterization, assesses infiltration.
- Biopsy: Definitive diagnosis, often via surgery.

⭐ Most symptomatic cardiac tumors in adults are secondary (metastatic), commonly from lung, breast, melanoma, or lymphoma.
High‑Yield Points - ⚡ Biggest Takeaways
- Atrial myxoma: Most common primary cardiac tumor in adults; left atrium; ball-valve obstruction, emboli.
- Rhabdomyoma: Most common primary cardiac tumor in children; strong association with tuberous sclerosis.
- Metastatic tumors are the most frequent cardiac tumors overall (e.g., from lung, breast, melanoma).
- Carcinoid heart disease primarily involves right-sided valves (tricuspid/pulmonary stenosis/regurgitation).
- Papillary fibroelastoma: Common benign valvular tumor, often on aortic valve; risk of embolization.
Unlock the full lesson and continue reading
Signup to continue reading this lesson and unlimited access questions, flashcards, AI notes, and more