Soft Tissue Tumors - Overview & Benign Buddies
- Mesenchymal neoplasms; classified by cell of origin (e.g., adipocytic, fibroblastic, vascular, neural, muscle).
- Benign tumors are significantly more common than their malignant counterparts (sarcomas).
- Grading (e.g., FNCLCC system) is crucial for sarcomas, not typically applied to benign tumors.
Common Benign Soft Tissue Tumors (Benign Buddies):
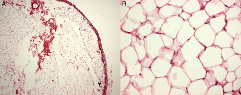
- Lipoma: Most common soft tissue tumor. Composed of mature adipocytes. Typically soft, mobile, and painless.
- Fibroma: Benign tumor of fibroblasts and collagen.
- Hemangioma: Benign vascular tumor; common in infancy/childhood.
- Capillary Hemangioma (Juvenile): Nests of capillaries; may regress.
- Cavernous Hemangioma: Large, dilated vascular channels.
- Neurofibroma: Composed of Schwann cells, perineurial-like cells, and fibroblasts. Associated with Neurofibromatosis Type 1 (NF1).
- Plexiform neurofibroma is pathognomonic for NF1.
- Schwannoma (Neurilemmoma): Encapsulated tumor of Schwann cells. S-100 positive.
- Features Antoni A (cellular, Verocay bodies) and Antoni B (myxoid) areas.
- Leiomyoma: Benign smooth muscle tumor. Most common in the uterus ("fibroids").
- Rhabdomyoma: Benign skeletal muscle tumor. Rare; cardiac type associated with Tuberous Sclerosis.
⭐ Lipoma is the most common soft tissue tumor in adults, characterized by mature fat cells indistinguishable from normal adipose tissue histologically unless lipoblasts are present (which would suggest liposarcoma).
Sarcomas - Malignant Mavericks
- Malignant mesenchymal neoplasms; locally aggressive, high recurrence.
- Spread: Primarily hematogenous (Lungs common). Lymphatic spread rare (exceptions: synovial, epithelioid, angiosarcoma, rhabdomyosarcoma).
FNCLCC Grading (Fédération Nationale des Centres de Lutte Contre le Cancer): Crucial for prognosis & treatment.
- Tumor Differentiation: Score 1-3 (closest to normal tissue to undifferentiated).
- Mitotic Count (per 10 HPF): Score 1 (<10 mitoses), 2 (10-19 mitoses), 3 (≥20 mitoses).
- Tumor Necrosis: Score 0 (none), 1 (<50%), 2 (≥50%).
- Total Score → Grade 1, 2, or 3.
Staging (AJCC 8th Ed.): Based on T (Tumor size/invasion), N (Nodes), M (Metastasis), and Grade.
Key Sarcoma Types & Features:
- Liposarcoma: Most common; MDM2 amplification (well-diff/dedifferentiated); lipoblasts.
- Leiomyosarcoma: Smooth muscle; SMA, desmin, h-caldesmon positive.
- Rhabdomyosarcoma: Skeletal muscle; common in children; Desmin, Myogenin, MyoD1. 📌 "Rhabdo has MyoD".
- Synovial Sarcoma: Young adults; t(X;18) SYT-SSX fusion; often not synovial origin. TLE1, EMA.
- MPNST: Malignant Peripheral Nerve Sheath Tumor; ~50% arise in NF1 patients; S100 (often focal).
- Angiosarcoma: Endothelial cells; CD31, CD34, ERG. Stewart-Treves (post-mastectomy lymphedema).

⭐ Synovial sarcoma, despite its name, rarely arises from synovial tissue and is characterized by the specific chromosomal translocation t(X;18)(p11.2;q11.2) resulting in SYT-SSX fusion proteins, a key diagnostic marker.
Special Sarcomas - Tricky Tumors, Lab Clues
- Alveolar Soft Part Sarcoma (ASPS): Young adults, deep soft tissues. Distinctive PAS+ diastase-resistant crystals. ASPSCR1-TFE3 fusion.
- Clear Cell Sarcoma (Melanoma of soft parts): Tendons/aponeuroses (foot/ankle). S100+, HMB45+, SOX10+. EWSR1-ATF1/CREB1 fusion.
- Epithelioid Sarcoma: Distal extremities (fingers), often ulcerates. CK+, EMA+, CD34+. Crucial: INI1/SMARCB1 loss.
- Desmoplastic Small Round Cell Tumor (DSRCT): Intra-abdominal, young males. Polyphenotypic: CK+, Desmin+, WT1 (C-terminus)+. EWSR1-WT1 fusion.
IHC & Molecular Clues:
- Key IHC Markers:
- S100: Neural, Melanocytic, Chondroid
- Desmin: Myogenic (Rhabdo-, Leiomyo-)
- CD34: Vascular, SFT, DFSP, Epithelioid Sarcoma
- STAT6 (nuclear): Solitary Fibrous Tumor (SFT)
- MDM2/CDK4: Well-diff/Dediff Liposarcoma
- Myogenin/MyoD1: Rhabdomyosarcoma
- INI1 loss: Epithelioid Sarcoma, Malignant Rhabdoid Tumor

⭐ Synovial Sarcoma, despite its name, rarely arises from synovium and is characterized by the SS18-SSX fusion gene (t(X;18)).
High‑Yield Points - ⚡ Biggest Takeaways
- Lipoma: Most common benign soft tissue tumor in adults.
- Rhabdomyosarcoma: Most common soft tissue sarcoma in childhood/adolescence.
- Nodular fasciitis: Rapid growth, "tissue culture" spindle cells, self-limiting; often mimics sarcoma.
- Synovial sarcoma: t(X;18) translocation (SYT-SSX fusion), typically juxta-articular in adolescents/young adults, not arising from synovium.
- Liposarcoma: MDM2 amplification (hallmark of well-differentiated/dedifferentiated types), pathognomonic lipoblasts.
- Leiomyosarcoma: Commonly in uterus/retroperitoneum of adults, shows cigar-shaped nuclei.
- MPNST (Malignant Peripheral Nerve Sheath Tumor): Strong association with Neurofibromatosis Type 1 (NF1); aggressive behavior.
Unlock the full lesson and continue reading
Signup to continue reading this lesson and unlimited access questions, flashcards, AI notes, and more
