Hand Anatomy & Fracture Basics - Bone Blueprint
- Hand Skeleton (27 Bones):
- Carpals (8): Two rows of four.
- Proximal: Scaphoid, Lunate, Triquetrum, Pisiform. (📌 SLTP: "So Long To Pinky")
- Distal: Trapezium, Trapezoid, Capitate, Hamate. (📌 TTCH: "Try To Catch Him")
- Metacarpals (5): Numbered I-V, lateral to medial. Each has base, shaft, neck, head.
- Phalanges (14): Thumb (proximal, distal); Fingers (proximal, middle, distal).
- Carpals (8): Two rows of four.
- Fracture Principles:
- Description: Location, pattern (transverse, oblique, spiral, comminuted), displacement, angulation, rotation.
- Open vs. Closed.
- Children: Salter-Harris classification for physeal injuries (Types I-V).
⭐ Scaphoid fractures: Most common carpal bone injury. High risk of avascular necrosis (AVN) and non-union, especially waist/proximal pole fractures.

Phalangeal & Metacarpal Mayhem - Finger Fixes
- Phalangeal Fractures:
- Tuft (Distal): Crush injury; subungual hematoma (trephinate).
- Shaft/Intra-articular: Check angulation/rotation.
- Mallet Finger: Extensor avulsion (DIP). Splint DIP in full extension 6-8 wks.
- Jersey Finger: FDP avulsion (DIP). 📌 "Sweater finger" sign. Surgical repair.
- Metacarpal Fractures:
- Boxer's (5th MC neck): Apex dorsal. Acceptable angulation: 5th MC <40°, 4th MC <30°, 3rd MC <20°, 2nd MC <10°.
- Shaft: Rotational deformity critical.
- Bennett's: 1st MC base intra-articular # dislocation. Often needs CRPP/ORIF.
- Rolando's: 1st MC base comminuted (Y/T) intra-articular #. Often needs ORIF.
- General Treatment:
- Undisplaced/Stable: Buddy tape, splint.
- Displaced/Unstable/Rotated: CRPP, ORIF.
- Dislocations:
- PIP (most common): Dorsal (reduce, buddy tape); Volar (often Open Reduction).
- MCP: Dorsal often irreducible (volar plate interposition).
⭐ Rotational deformity is the most functionally impairing malunion in hand fractures; correct meticulously.

Carpal Chaos & Scaphoid Saga - Wrist Wreckers
- Carpal Bones (Proximal → Distal, Radial → Ulnar):
- Proximal: Scaphoid, Lunate, Triquetrum, Pisiform
- Distal: Trapezium, Trapezoid, Capitate, Hamate
- 📌 Mnemonic: "Some Lovers Try Positions That They Can't Handle"
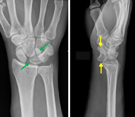
- Scaphoid Fracture: Most common carpal #. FOOSH.
- Anatomical snuffbox tenderness.
- Blood supply: Retrograde; ↑AVN risk (proximal pole).
- X-ray: Scaphoid views. MRI if occult.
- Complications: AVN, non-union (SNAC wrist).
- Tx:
- Undisplaced: Thumb spica 6-12 wks.
- Displaced (>1mm)/Proximal pole: ORIF.
⭐ Scaphoid fracture non-union can lead to Scaphoid Nonunion Advanced Collapse (SNAC wrist), a predictable pattern of wrist arthritis.
- Lunate/Perilunate Dislocation: High energy. FOOSH.
- Lunate dislocation: "Spilled teacup" sign (lateral X-ray).
- Perilunate: Other carpals dislocate dorsally.
- Tx: Urgent reduction ± ORIF.

Dislocations & Ligament Drama - Joint Jolts
- PIP Joint Dislocation: Most common finger joint. Dorsal (hyperextension) > Volar.
- Dorsal: Reduce, extension block splint 0-30° flexion.
- Volar plate injury: Swan neck deformity risk.
- MCP Joint Dislocation: Thumb (forced hyperextension) most common. Index finger often irreducible (volar plate entrapment).
- DIP Joint Dislocation: Less common, usually dorsal. Easily reducible.
- Skier's/Gamekeeper's Thumb (UCL Tear): Thumb MCPJ. Forced radial deviation/abduction.
- Valgus stress test: Laxity >30-35° or >15° than contralateral.
- 📌 Stener Lesion: UCL displaced superficial to adductor aponeurosis.
⭐ Stener lesion (UCL displaced over adductor aponeurosis) blocks healing, requires surgery.
- Scapholunate (SL) Dissociation: FOOSH. SL gap >3mm (Terry Thomas sign). Watson scaphoid shift test. Leads to SLAC wrist.
High‑Yield Points - ⚡ Biggest Takeaways
- Boxer's fracture: 5th metacarpal neck fracture; ulnar gutter splint.
- Bennett's fracture: Intra-articular fracture, 1st metacarpal base; requires ORIF.
- Rolando's fracture: Comminuted intra-articular fracture, 1st metacarpal base; T/Y shape.
- Scaphoid fracture: Most common carpal fracture; anatomical snuffbox tenderness; risk of AVN.
- Mallet Finger: Extensor tendon avulsion at DIP joint; splint in extension.
- Gamekeeper's Thumb: UCL injury of thumb MCP joint; instability.
Unlock the full lesson and continue reading
Signup to continue reading this lesson and unlimited access questions, flashcards, AI notes, and more