Hallux Valgus: Intro - Bunion Blueprint
- Definition: Lateral deviation of hallux (great toe) & medial deviation of 1st metatarsal. "Bunion" = medial prominence over 1st MTPJ.
- Etiology Snippets: Multifactorial; tight/pointed footwear, genetics, pes planus, female sex often implicated.
- Key Angles (Deformity Markers):
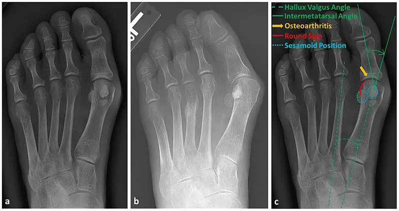
- Hallux Valgus Angle (HVA): Normal < 15°. (Angle: 1st metatarsal & proximal phalanx)
- Intermetatarsal Angle (IMA): Normal < 9°. (Angle: 1st & 2nd metatarsals)
- Core Anatomy Involved:
- 1st Metatarsophalangeal (MTP) joint: Site of deformity.
- Sesamoids (tibial & fibular): Displace laterally with deformity.
- Medial capsule & collateral ligament: Attenuated/stretched.
- Pathoanatomic Cascade:
- Progressive 1st MTPJ subluxation.
- Imbalance of intrinsic/extrinsic muscles.
- Bunion formation (medial exostosis, adventitious bursa).

⭐ Hallux valgus is the most common forefoot deformity, affecting women more than men (approx. 9:1).
Hallux Valgus: Clinicals - Deformity Detective
-
Presentation:
- Lateral deviation of great toe (hallux) & medial deviation of 1st metatarsal.
- Pain over medial eminence (bunion), footwear difficulty.
- Numbness/tingling (compression of medial dorsal cutaneous nerve).
- Associated deformities: hammertoe, lesser metatarsalgia.
-
Examination:
- Assess deformity reducibility, range of motion (1st MTPJ).
- Check for callosities, skin irritation, neurovascular status.
- Gait assessment.
-
Radiographic Evaluation (Weight-bearing AP & Lateral views):
- Key angles for severity & surgical planning:
| Angle | Normal | Mild | Moderate | Severe |
|---|---|---|---|---|
| Hallux Valgus Angle (HVA) | < 15° | 15-20° | 21-39° | ≥ 40° |
| Intermetatarsal Angle (IMA) | < 9° | 9-11° | 12-15° | ≥ 16° |
| Distal Metatarsal Articular Angle (DMAA) | < 10° |
- Assess joint congruity, arthritis, sesamoid position (📌 AP view).
Hallux Valgus: Non-Surgical - Gentle Footsteps
- Primary Goals: Alleviate pain, reduce inflammation, slow deformity progression, improve foot function.
- Footwear Modifications:
- Wide, deep toe-box shoes.
- Soft, non-restrictive uppers.
- Heels < 1-2 inches.
- Orthotics & Devices:
- Toe spacers/Hallux valgus splints (day/night).
- Bunion pads/shields (protect prominence).
- Arch supports (for associated pes planus).
- Analgesia: NSAIDs (oral/topical).
- Physical Therapy: Stretching (toe adductors, calf), intrinsic muscle strengthening.
- Activity Modification: Avoid pain-triggering activities.
⭐ Conservative management aims to relieve symptoms and slow progression, not to correct the anatomical deformity.
Hallux Valgus: Surgery - Bunion Be-Gone!
Error: Failed to generate content for this concept group.
High‑Yield Points - ⚡ Biggest Takeaways
- Hallux Valgus: Lateral deviation of great toe, medial deviation of 1st metatarsal.
- Ill-fitting footwear is a key extrinsic cause.
- Key angles: Hallux Valgus Angle (HVA) > 15°; Intermetatarsal Angle (IMA) > 9°.
- Bunion (medial eminence) is a characteristic painful prominence.
- Conservative: Shoe modification, orthotics, NSAIDs.
- Surgery: Osteotomies (Chevron, Scarf) for deformity correction; Keller arthroplasty for elderly.
- Complications: Recurrence, hallux varus, nerve injury.
Unlock the full lesson and continue reading
Signup to continue reading this lesson and unlimited access questions, flashcards, AI notes, and more