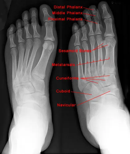
Foot Fractures - Bones & Breaks 101

- Hindfoot: Talus (connects to tibia/fibula), Calcaneus (heel bone).
- Common: Calcaneal fractures (axial load, e.g., fall from height).
- Midfoot: Navicular, Cuboid, 3 Cuneiforms. Forms arches.
- Key: Lisfranc joint complex (tarso-metatarsal articulation); injury often missed.
- Forefoot: 5 Metatarsals (MT), 14 Phalanges.
- Common: Stress fractures (e.g., March fx - 2nd/3rd MT), Jones fx (base of 5th MT).
⭐ Calcaneal Bohler's angle < 20° (normal 20-40°) suggests calcaneal fracture and posterior facet collapse.
Foot Fractures - Heel Shatter Showdown
- Calcaneal Fractures: Most common tarsal #; axial load injury.
- Classification:
- Essex-Lopresti: Tongue-type vs. Joint depression.
- Sanders (CT): Types I-IV (posterior facet involvement).
- Key Angles:
- Bohler's: Normal $20^\circ-40^\circ$. < $20^\circ$ = severe collapse.
- Gissane's (Critical): Normal $120^\circ-145^\circ$.

- Surgical Indications:
- Displaced intra-articular (> 2mm step-off).
- Bohler's angle < $20^\circ$.
- Widening, varus malunion.
⭐ ~75% of calcaneal fractures are intra-articular, affecting the subtalar joint.
Foot Fractures - Talar Tilt & Trauma
- Blood Supply: Precarious, retrograde (posterior tibial a. → artery of tarsal canal). High AVN risk.
- Mechanism: Forced hyperdorsiflexion of ankle with axial load (e.g., MVA dashboard injury, fall from height).
- Hawkins Classification (Talar Neck Fx):
- Type I: Undisplaced. AVN: 0-15%.
- Type II: Subtalar dislocation/subluxation. AVN: 20-50%.
- Type III: Subtalar + Tibiotalar dislocation. AVN: 80-100%.
- Type IV (Canale): Type III + Talonavicular dislocation. AVN: ~100%.
- 📌 Mnemonic: AVN risk ↑ with ↑ type number.

- Management:
- Type I (truly undisplaced): Non-operative (cast immobilization).
- Type II-IV: Urgent ORIF to ↓ AVN risk.
⭐ The artery of the tarsal canal (branch of posterior tibial artery) is the primary supply to the talar body; injury dramatically ↑ AVN risk post-fracture.
Foot Fractures - Arch Enemies & Toe Woes
-
Lisfranc Injury (Tarsometatarsal Joint):
-
Mechanism: Axial load on plantarflexed foot; crush injury.
-
Diagnosis: Plantar ecchymosis, tenderness over TMT joints, diastasis > 2mm (1st-2nd MT bases), "fleck sign" (avulsion of Lisfranc ligament).
-
Management (Hardcastle/Myerson classification guides treatment):
⭐ "Fleck sign" - a small bony fragment seen in the space between the 1st and 2nd metatarsal bases - is pathognomonic for Lisfranc ligament injury.
-
-
Navicular Fractures:
-
High risk of Avascular Necrosis (AVN), especially central third (watershed area).
-
Watson-Jones Classification: Type I (tuberosity), Type II (dorsal lip/body, undisplaced), Type III (body, displaced), Type IV (stress fracture).
-
Management: I (cast); II (cast/ORIF if large); III (ORIF); IV (NWB, prolonged immobilization).
-
-
5th Metatarsal Base Fractures:
-
Jones Fracture: Zone 2 (metaphyseal-diaphyseal junction); ↑ risk of non-union/delayed union due to tenuous blood supply. Rx: NWB cast for 6-8 wks, or IM screw fixation (esp. athletes).
-
Avulsion Fracture (Pseudo-Jones/Dancer's): Zone 1 (tuberosity, peroneus brevis insertion); Rx: symptomatic, WBAT in hard-soled shoe/boot.
-
-
March Fracture:
- Stress fracture, typically of 2nd or 3rd metatarsal shaft.
- Mechanism: Repetitive overuse.
- Rx: Rest, activity modification, stiff-soled shoe or boot. X-rays may be initially negative.
High‑Yield Points - ⚡ Biggest Takeaways
- Jones fracture: 5th metatarsal base (metaphyseal-diaphyseal junction); high non-union risk.
- Lisfranc injury: TMT joint disruption; look for fleck sign (2nd MT base avulsion) or >2mm diastasis.
- Calcaneal fractures: Axial load (fall); Bohler's angle <20°. Associated spine fractures common.
- Talar neck fractures: High AVN risk, especially displaced (Hawkins type II-IV).
- March fracture: Stress fracture of 2nd/3rd metatarsal diaphysis.
- Navicular stress fractures: Vague midfoot pain in athletes; often needs CT/MRI for diagnosis.
Unlock the full lesson and continue reading
Signup to continue reading this lesson and unlimited access questions, flashcards, AI notes, and more