Introduction & Anatomy - Fallen Arches 101
Pes planus, or "fallen arches," signifies the collapse or flattening of the medial longitudinal arch (MLA) of the foot. This common deformity can be flexible or rigid.
- Core Anatomical Components:
- Medial Longitudinal Arch (MLA): Keystone arch; primary shock absorber.
- Tibialis Posterior Tendon (TPT): Crucial dynamic stabilizer; its dysfunction is a common cause.
- Spring Ligament (Plantar Calcaneonavicular): Major static supporter of the talar head.
- Deltoid Ligament Complex: Provides medial ankle stability; can attenuate in progressive deformity.

⭐ The tibialis posterior tendon is the primary dynamic stabilizer of the medial longitudinal arch; its insufficiency is a hallmark of adult-acquired flatfoot.
Etiology & Classification - Why Feet Flatten
-
Etiological Types:
- Congenital:
- Tarsal Coalition: Bony fusion (calcaneonavicular, talocalcaneal). "Painful peroneal spastic flatfoot".
- Congenital Vertical Talus.
- Acquired: Develops later.
⭐ Posterior Tibial Tendon Dysfunction (PTTD) is the most common cause of adult acquired flatfoot.
- Charcot Arthropathy: Neuropathic joint destruction (common in diabetes).
- Ligamentous laxity (e.g., Ehlers-Danlos).
- Trauma, Inflammatory arthritis (e.g., RA).
- Congenital:
-
Classification by Flexibility:
Feature Flexible Flatfoot Rigid Flatfoot Arch Collapses on load, reforms off-load Stiff, always flat Key Causes Laxity, early PTTD Tarsal coalition, advanced arthritis -
PTTD Stages (Johnson & Strom Classification):
Clinical Assessment - Spotting the Signs
- Symptoms:
- Medial ankle/hindfoot pain, fatigue.
- Key Physical Signs:
- "Too many toes" sign: >2-3 toes visible laterally (posterior view) → forefoot abduction.
- Heel Rise Test (Single/Double): Difficulty/pain, hindfoot remains in valgus (Posterior Tibial Tendon Dysfunction - PTTD).
- Forefoot abduction, Hindfoot valgus.
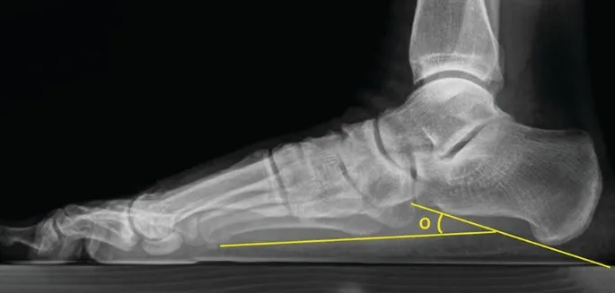
- Radiographic Evaluation (Weight-bearing views):
- Views: AP, Lateral, Hindfoot alignment (e.g., Saltzman).
- Key Angles:
- Meary's Angle (Lat): $angle(talus_long_axis, first_metatarsal_long_axis)$. Normal: 0°. Apex plantar in flatfoot.
- Talonavicular Coverage Angle (AP): Normal: < 7°. ↑ indicates talar subluxation.
- Calcaneal Pitch (Lat): Normal: 20-30°. ↓ in flatfoot (e.g., < 18°).

⭐ The "too many toes" sign, seen from posterior, is indicative of forefoot abduction and hindfoot valgus.
Management Strategies - Fixing Flat Feet
Conservative:
- Activity modification, NSAIDs
- Orthotics: UCBL, SMO
- Physiotherapy
Surgical (Indications: Failed conservative, progressive deformity, pain):
- Soft Tissue:
- PTT repair/debridement
- FDL transfer to navicular
- Spring ligament repair
- Osteotomies:
- MDCO
- LCL (Evans)
- Cotton (medial cuneiform)
- Arthrodesis: Subtalar, talonavicular, double, triple
PTTD Stage-Specific Management:
- I: Conservative (NSAIDs, orthotics, PT).
- II (Flexible deformity):
⭐ FDL (Flexor Digitorum Longus) tendon transfer is commonly used to substitute for the dysfunctional PTT in flexible flatfoot (Stage II PTTD).
- FDL transfer, PTT debridement/repair, spring lig. repair ± osteotomies (MDCO, Evans, Cotton), ± gastroc recession.
- III (Rigid deformity): Arthrodesis (e.g., triple).
- IV (Ankle valgus/arthritis): Arthrodesis (triple/pantalar) ± deltoid repair.
High‑Yield Points - ⚡ Biggest Takeaways
- Flexible flatfoot is common in children, often self-correcting; rigid flatfoot is pathological.
- Posterior Tibial Tendon Dysfunction (PTTD) is the most common cause of Adult Acquired Flatfoot Deformity (AAFD).
- "Too many toes" sign is a key indicator for AAFD/PTTD.
- Tarsal coalition (e.g., talocalcaneal) is a primary cause of adolescent rigid flatfoot.
- Jack's test assesses hindfoot flexibility; arch restoration indicates flexible flatfoot.
- Important radiographic angles: Meary's angle, calcaneal pitch, talar declination angle.
Unlock the full lesson and continue reading
Signup to continue reading this lesson and unlimited access questions, flashcards, AI notes, and more