Intro & Fibrous Lesions - Bone's Benign Bafflers
- Tumor-Like Lesions:
- Non-neoplastic, reactive/developmental bone changes.
- Key differences from true tumors: No malignant potential, often self-limiting, distinct histology (not frankly neoplastic).
- Fibrous Dysplasia (FD):
- Benign fibro-osseous lesion; GNAS1 gene mutation.
- Types:
- Monostotic (single bone), Polyostotic (multiple bones).
- McCune-Albright Syndrome: 📌 3 P's: Polyostotic FD, Pigmentation (café-au-lait, "coast of Maine"), Precocious puberty/endocrinopathy.
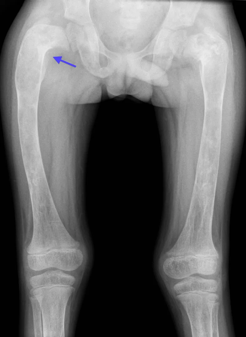
- X-ray: "Ground glass" opacity, "Shepherd's crook" deformity (femur).

- Non-ossifying Fibroma (NOF) / Fibrous Cortical Defect (FCD):
- Common developmental defect; FCD < 3 cm, NOF > 3 cm.
- Children/adolescents (long bone metaphysis).
- Often asymptomatic, incidental; most resolve spontaneously.
- X-ray: Eccentric, lytic, well-defined sclerotic rim, "soap bubble" look.
⭐ McCune-Albright syndrome: polyostotic fibrous dysplasia, café-au-lait spots (coast of Maine), endocrinopathies (e.g., precocious puberty).
Cystic & Histiocytic Lesions - Cavities & Characters
-
Simple Bone Cyst (SBC) / Unicameral Bone Cyst (UBC)
- Location: Central, metaphyseal (proximal humerus/femur common).
- Content: Fluid-filled cavity.
- X-ray: 'Fallen leaf' sign (pathognomonic if cortical fragment seen in dependent part of cyst).
⭐ The 'fallen leaf' sign, a fragment of cortical bone that has fractured and settled into the dependent portion of a fluid-filled simple bone cyst, is highly suggestive of this lesion.
-
Aneurysmal Bone Cyst (ABC)
- Location: Eccentric, expansile, lytic lesion.
- Content: Blood-filled cavities; not a true cyst (no epithelial lining).
- Imaging: 'Fluid-fluid levels' on MRI/CT.
- Types: Can be primary or secondary (to GCT, chondroblastoma, etc.).
- 📌 Mnemonic: A Bloody Cyst.
-
Eosinophilic Granuloma (EG) (Langerhans Cell Histiocytosis - LCH)
- Age: Children & young adults.
- X-ray: Lytic lesions.
- Skull: 'Punched-out' lesions.
- Spine: 'Vertebra plana' (coin-on-edge appearance).
- Microscopy: Birbeck granules (tennis-racket shaped) on Electron Microscopy (EM) in Langerhans cells.
Metabolic, Reparative & Dx - Reactive Responders
- Brown Tumor (Osteitis Fibrosa Cystica):
- Pathophysiology: Hyperparathyroidism (1°/2°) causes ↑ osteoclastic bone resorption.
- Radiology: Well-defined, lytic, expansile lesions. "Brown" from hemosiderin.
- Common Sites: Mandible, clavicle, ribs, pelvis, long bones.
⭐ Not a true neoplasm. Regresses with hyperparathyroidism correction.
- Giant Cell Reparative Granuloma (GCRG):
- Location: Jaw bones (mandible > maxilla); small bones of hands/feet.
- Radiology: Lytic, uni/multilocular, variable margins.
- Histology: Fibrous stroma, giant cells (fewer vs GCT), hemorrhage, hemosiderin. Distinct from GCT.

- Diagnostic Approach (Tumor-Like Lesions):
- Evaluation: Age, location (epiphysis, metaphysis, diaphysis). X-ray features (lytic/sclerotic, margins, matrix, periosteal reaction).
- Further Steps:
- Biopsy: Crucial if diagnosis uncertain or malignancy suspected after imaging.
- General Management Principles:
- Asymptomatic & Stable: Observation, serial imaging.
- Symptomatic/Progressive: Curettage common. Bone graft/substitutes (PMMA) for defects.
- Underlying Cause: Treat (e.g., parathyroidectomy for Brown Tumor; Vit D for rickets).
High‑Yield Points - ⚡ Biggest Takeaways
- Tumor-like lesions are non-neoplastic, mimicking true bone tumors.
- Fibrous dysplasia: Ground-glass matrix, Shepherd's crook deformity, McCune-Albright syndrome.
- Non-ossifying fibroma (NOF): Common, eccentric lytic lesion, asymptomatic, may regress spontaneously.
- Simple Bone Cyst (SBC): Central lytic, proximal humerus/femur, "fallen leaf" sign.
- Aneurysmal Bone Cyst (ABC): Expansile, blood-filled, "fluid-fluid levels" on MRI.
- Eosinophilic granuloma (LCH): Lytic lesions, vertebra plana in children, skull involvement.
- Brown Tumor: Due to hyperparathyroidism and increased osteoclastic activity.
Unlock the full lesson and continue reading
Signup to continue reading this lesson and unlimited access questions, flashcards, AI notes, and more