Bacterial Blight - TB & Syphilis Eyes
- Ocular Tuberculosis (TB):
- Most common: Posterior uveitis (choroiditis, retinal vasculitis).
- Choroidal tubercles: Creamy-yellow, deep lesions; may be single or multiple.
- Eales disease: Peripheral retinal periphlebitis, often bilateral; associated with tuberculoprotein hypersensitivity.
- Phlyctenular keratoconjunctivitis: Type IV hypersensitivity reaction.
- Treatment: Standard Anti-Tubercular Therapy (ATT) + Corticosteroids (for inflammation).
- Ocular Syphilis ("The Great Imitator"):
- Most common: Uveitis (anterior, intermediate, posterior, or panuveitis).
- Congenital: "Salt & pepper" fundus, interstitial keratitis (Hutchinson's triad component).
- Neurosyphilis: Argyll Robertson pupil.
- Acquired: Interstitial keratitis, chorioretinitis, optic neuritis.
- Treatment: Penicillin (dosage varies by stage and neurosyphilis presence).

⭐ Argyll Robertson pupil (ARP) in neurosyphilis: Characterized by Light-Near Dissociation. 📌 Mnemonic: ARP - Accommodation Reflex Present, Pupillary (Light) Reflex Absent ("Prostitute's Pupil" - accommodates but doesn't react).
Viral Visions - HIV & Herpes Hits
-
HIV/AIDS:
-
CMV Retinitis:
- Most common opportunistic ocular infection. CD4 < 50 cells/µL (high risk), < 100 (moderate risk).
- Fundus: "Cottage cheese & ketchup" or "pizza pie" appearance (hemorrhages, yellow-white infiltrates).
- Progresses to retinal necrosis, detachment if untreated.
-
HIV Retinopathy: Non-infectious microvasculopathy. Cotton wool spots, retinal hemorrhages. Common.
-
Others: Kaposi sarcoma (eyelid/conjunctiva), Molluscum contagiosum, increased HZO risk.
-
-
Herpes Viruses:
- HSV: Keratitis (dendritic ulcer 📌 pathognomonic), uveitis, Acute Retinal Necrosis (ARN).
- VZV (HZO): Hutchinson's sign 📌 (vesicles on nose tip/side) strongly predicts ocular involvement. Keratitis, uveitis, neuralgia.
⭐ CMV retinitis is the most common opportunistic ocular infection in AIDS, typically occurring when CD4 count < 50 cells/µL.
Fungal Focus - Mucor & Candida Chaos
- Mucormycosis (Zygomycosis)
- Risks: Diabetes (esp. DKA), immunosuppression, deferoxamine therapy, trauma.
- Key Presentation: Rhino-orbital-cerebral mucormycosis (ROCM) is most common; look for black necrotic eschar (nasal/palatal), proptosis, ophthalmoplegia, facial pain/numbness, vision loss.
- Microscopy: Broad, non-septate (aseptate) hyphae with wide-angle (often 90°) branching.
- Management: Urgent surgical debridement + systemic IV Amphotericin B (liposomal preferred).

- Candida Infections
- Risks: IV drug use, indwelling catheters, TPN, broad-spectrum antibiotics, immunosuppression, recent major surgery.
- Ocular: Endogenous endophthalmitis; chorioretinitis presenting as fluffy, white, deep retinal or subretinal lesions (“cotton ball” opacities), often with vitritis.
- Management: Systemic antifungals (e.g., Fluconazole, Voriconazole); intravitreal antifungals (Amphotericin B or Voriconazole) for significant vitritis/endophthalmitis.
⭐ Rhino-orbital-cerebral mucormycosis (ROCM) is an aggressive, life-threatening fungal infection often seen in diabetic ketoacidosis (DKA) patients, characterized by black necrotic eschar in the nasal cavity or palate and rapid progression if untreated.
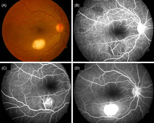
Parasite Plight - Toxo & Cystic Curses
- Ocular Toxoplasmosis: Toxoplasma gondii infection.
- Key: Necrotizing chorioretinitis.
- Active: "Headlight in fog" (vitritis, fluffy lesion).
- Inactive: Pigmented scar; satellite lesions common.
- Congenital (common): 📌 Sabin's triad (chorioretinitis, hydrocephalus, intracranial calcifications).
- Diagnosis: Clinical; serology (IgG/IgM), PCR (aqueous/vitreous).
- Rx: Triple therapy (Pyrimethamine + Sulfadiazine + Corticosteroids).
- Key: Necrotizing chorioretinitis.
- Ocular Cysticercosis: Taenia solium larvae (Cysticercus cellulosae).
- Sites: Subretinal (most common), vitreous, anterior chamber, orbit.
- Intraocular: Translucent cyst ± visible scolex.
- Orbital: Proptosis, diplopia, myositis.
- Diagnosis: Clinical, B-scan, CT/MRI (co-existing neurocysticercosis).
- Rx: Surgery (intraocular); Albendazole + steroids (orbital/adjunct).

⭐ In ocular toxoplasmosis, reactivation often occurs at the border of an old pigmented scar, leading to a satellite lesion.
High‑Yield Points - ⚡ Biggest Takeaways
- Tuberculosis commonly causes choroidal tubercles and uveitis; Eales disease is a sequela.
- Leprosy features madarosis, lagophthalmos, corneal anesthesia, and iris pearls.
- Syphilis ("great masquerader") can cause interstitial keratitis (congenital) and Argyll Robertson pupil.
- CMV retinitis ("pizza pie" appearance) is key in AIDS (CD4 <50).
- Toxoplasmosis presents as focal necrotizing retinochoroiditis ("headlight in fog").
- Herpes Zoster Ophthalmicus shows Hutchinson's sign, indicating higher risk of ocular involvement.
- Dengue fever can lead to maculopathy and retinal hemorrhages.
Unlock the full lesson and continue reading
Signup to continue reading this lesson and unlimited access questions, flashcards, AI notes, and more