Paramyxoviruses - General Properties & Fusion Fanatics
- Structure: Enveloped viruses; helical nucleocapsid. Genome: linear, non-segmented, negative-sense RNA ($-ssRNA$).
- Key Proteins:
- F (Fusion) protein: Mediates viral entry and cell-to-cell fusion, forming characteristic syncytia (multinucleated giant cells).
- HN/H/G protein: Attachment glycoproteins (Hemagglutinin-Neuraminidase, Hemagglutinin, or Glycoprotein).
- Key Proteins:
- Replication: Occurs in the cytoplasm.
⭐ Paramyxoviruses possess an RNA-dependent RNA polymerase in their virion, essential for transcription of $-ssRNA$ to $+mRNA$.
- Pathogenesis: Syncytia formation is a hallmark, driven by F protein.
- 📌 Mnemonic: PaRaMyxo = Parainfluenza, RSV, Measles, Mumps.
Measles (Rubeola) - Koplik's Calling Card
- Virus: Morbillivirus (Paramyxoviridae), highly contagious RNA virus.
- Prodrome: Fever with Cough, Coryza, Conjunctivitis (the 3 Cs), lasting 3-4 days.
- Koplik's spots: Pathognomonic bluish-white lesions on buccal mucosa opposite molars.
⭐ Koplik's spots on the buccal mucosa are pathognomonic for measles and appear 1-2 days before the rash.
- Rash: Erythematous maculopapular rash; begins on face/hairline, spreads cephalocaudally over 3 days.

- Complications: 📌 "MEASLES gives you POME"
- Pneumonia (most common cause of death)
- Otitis Media
- Myocarditis
- Encephalitis (ADEM), Subacute Sclerosing Panencephalitis (SSPE - rare, late, fatal).
- Diagnosis: Primarily clinical; confirmed by IgM antibodies or PCR.
- Prevention: MMR vaccine (live-attenuated virus).
Mumps Virus - Swollen & Sore Saga
- Genus: Rubulavirus; single-stranded RNA virus.
- Primary Manifestation: Acute parotitis (painful, unilateral or bilateral swelling of salivary glands).
- 📌 Mumps makes your Parotids and Privates Puffy.
- Systemic Complications:
- Orchitis: Inflammation of testes, common in post-pubertal males, can lead to ↓fertility or rarely sterility.
- Meningitis: Aseptic meningitis is a frequent neurological complication.
- Encephalitis: Less common but serious.
- Pancreatitis: Abdominal pain, nausea.
- Oophoritis: Inflammation of ovaries.
- Diagnosis: Primarily clinical; confirmed by detecting IgM antibodies or viral RNA via PCR.
- Prevention: Highly effective MMR (Measles, Mumps, Rubella) live-attenuated vaccine.
⭐ Mumps is a common cause of aseptic meningitis.

Respiratory Syncytial Virus (RSV) - Tiny Airways Terror
Error generating content for this concept group: No object generated: the tool was not called.
Parainfluenza Viruses (PIVs) - Croup's Croaky Crew
- Types & Genera:
- Respirovirus: HPIV-1, HPIV-3
- Rubulavirus: HPIV-2, HPIV-4
- Clinical Features:
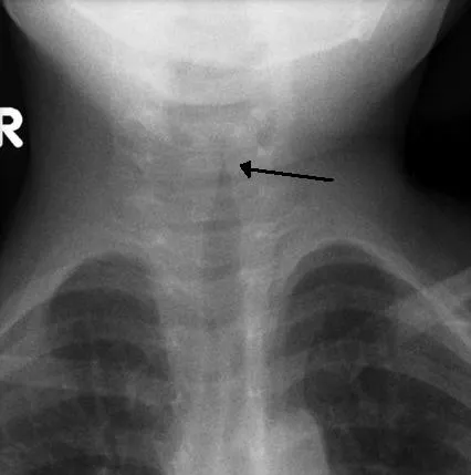
- Croup (Laryngotracheobronchitis): Barking cough, inspiratory stridor, hoarseness (esp. HPIV-1, HPIV-2). 📌 Croup: Steeple sign on neck X-ray.
- Bronchiolitis, pneumonia (esp. HPIV-3).
- Diagnosis: Clinical grounds; confirmed by Immunofluorescence (IF), PCR.
- Management: Supportive; no specific antiviral or vaccine available.
⭐ Parainfluenza viruses, particularly types 1 and 2, are the most common cause of croup (acute laryngotracheobronchitis) in children.
oka
High‑Yield Points - ⚡ Biggest Takeaways
- Enveloped, single-stranded, negative-sense RNA viruses; replicate in the cytoplasm.
- Characteristic syncytia formation (multinucleated giant cells) due to F (fusion) protein.
- Measles (Rubeola): Koplik's spots, maculopapular rash (cephalo-caudal spread), risk of SSPE.
- Mumps: Parotitis, orchitis/oophoritis, aseptic meningitis.
- RSV (Respiratory Syncytial Virus): Most common cause of bronchiolitis and pneumonia in infants (<1 year).
- Parainfluenza viruses: Major cause of croup (laryngotracheobronchitis).
Unlock the full lesson and continue reading
Signup to continue reading this lesson and unlimited access questions, flashcards, AI notes, and more
oka