Cestodes: General Characteristics - Flatworm Fundamentals
- Tapeworms: Dorsoventrally flattened, segmented (proglottids).
- No alimentary canal; absorb nutrients through tegument.
- Hermaphroditic (monoecious) - most species.
- Body: Scolex (attachment), Neck (growth), Strobila (segments).

⭐ All cestodes require at least one intermediate host (except Hymenolepis nana).
Taenia solium & T. saginata - Pork & Beef Terrors
- Key Differentiators:
| Feature | Taenia solium (Pork) | Taenia saginata (Beef) |
|---|---|---|
| Intermediate Host | Pigs | Cattle |
| Scolex | Armed: Rostellum + hooks | Unarmed: No hooks |
| Uterine Branches | 7-13 (tree-like) | 15-30 (finger-like) |
| Human Cysticercosis | YES (Neurocysticercosis - NCC) | NO |
- Transmission:
- Taeniasis: Ingesting cysticerci (undercooked meat).
- Cysticercosis (T. solium): Ingesting eggs (fecal-oral; autoinfection).

⭐ Neurocysticercosis (T. solium) is a leading cause of acquired epilepsy worldwide.
- Diagnosis: Stool (eggs/proglottids); Imaging (CT/MRI for NCC); Serology.
- Treatment: Praziquantel (Taeniasis); Albendazole + Corticosteroids (NCC).
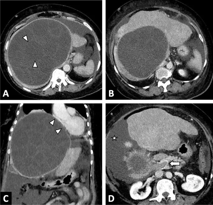
Echinococcus granulosus & E. multilocularis - Hydatid Horrors
- E. granulosus (Cystic Echinococcosis - CE):
- Hosts: Dog (definitive); Sheep, humans (intermediate, accidental).
- Forms unilocular hydatid cysts, often large. Sites: Liver (~70%), lungs (~20%).
- Cyst: Inner germinal layer (protoscolices, daughter cysts), outer laminated layer. Host forms pericyst.
- Diagnosis: Imaging (USG/CT), serology. WHO staging guides therapy.
- Treatment: PAIR, surgery, albendazole.
⭐ "Hydatid sand" (free protoscolices in cyst fluid) is a key diagnostic finding.
- E. multilocularis (Alveolar Echinococcosis - AE):
- Hosts: Fox, dog (definitive); Rodents, humans (intermediate, accidental).
- Forms multilocular, infiltrative alveolar cysts (liver); aggressive, "parasitic tumor".
- Diagnosis: Imaging, serology, biopsy (PAS stain for laminated layer).
- Treatment: Radical surgery if possible, lifelong albendazole. Poor prognosis.
- 📌 Mnemonic: Granulosus = Giant Grape-like cysts; Multilocularis = Malignant-Mimicking Multiple locules.

Diphyllobothrium latum & Hymenolepis nana - Smaller Wormy Woes
-
Diphyllobothrium latum (Fish Tapeworm)
- Largest human tapeworm (up to 10-15 m).
- Source: Raw/undercooked freshwater fish (plerocercoid larva).
- Pathogenesis: Competes for Vitamin B12 → Megaloblastic anemia.
- Diagnosis: Operculated eggs (abopercular knob) in stool.
- Treatment: Praziquantel.
-
Hymenolepis nana (Dwarf Tapeworm)
- Most common human tapeworm, especially in children.
- Transmission: Fecal-oral (ingestion of embryonated eggs).
- Unique: Direct life cycle; internal autoinfection common. 📌 Nana is Near (direct) & Nasty (autoinfection).
- Clinical: Heavy infection → enteritis, abdominal pain.
- Diagnosis: Eggs with oncosphere & 4-8 polar filaments.
- Treatment: Praziquantel.
⭐ H. nana is the only human tapeworm that can complete its entire lifecycle in a single host, often leading to autoinfection.
vs Hymenolepis nana egg (polar filaments))
High‑Yield Points - ⚡ Biggest Takeaways
- Taenia solium (pork tapeworm) causes cysticercosis; neurocysticercosis is a key CNS infection.
- Taenia saginata (beef tapeworm) does not cause human cysticercosis.
- Echinococcus granulosus leads to hydatid disease (unilocular cysts).
- Diphyllobothrium latum (fish tapeworm) is the longest, causing Vitamin B12 deficiency.
- Hymenolepis nana (dwarf tapeworm) is unique for direct infection and autoinfection.
- Cestodes are segmented flatworms with a scolex for attachment, lacking a digestive tract.
- Praziquantel is the drug of choice for most cestode infections.
Unlock the full lesson and continue reading
Signup to continue reading this lesson and unlimited access questions, flashcards, AI notes, and more