Zoonoses: Overview - Critter Culprits
Zoonoses: Infections naturally transmitted from vertebrate animals to humans. Modes include direct/indirect contact, foodborne, vector-borne, or airborne.
- Major Animal Groups & Associated Diseases:
- Mammals:
- Dogs: Rabies, Leishmaniasis, Echinococcosis
- Cats: Toxoplasmosis, Cat Scratch Disease
- Rodents: Plague, Leptospirosis, Hantavirus
- Livestock (cattle, pigs, sheep): Brucellosis, Anthrax, Cysticercosis/Taeniasis, Q Fever
- Bats: Rabies, Nipah, Coronaviruses (e.g., SARS, MERS)
- Birds: Avian Influenza, Psittacosis
- Arthropods (as vectors, transmitting from animal reservoirs):
- Ticks: Kyasanur Forest Disease (KFD), Lyme Disease
- Mosquitoes: Japanese Encephalitis (pigs/birds are reservoirs)
- Mammals:

⭐ India is a global hotspot for rabies, primarily transmitted by dog bites (>95% of human cases).
Bacterial Zoonoses - Fever & Frights
- Plague (Yersinia pestis): Rodents, fleas.
- Forms: Bubonic (painful buboes), Septicemic, Pneumonic (highly contagious).
- Microscopy: Bipolar "safety pin" stain.
- Brucellosis (Brucella spp.): Cattle, goats, sheep, pigs.
- Transmission: Unpasteurized dairy, contact.
- Symptoms: Undulant fever, arthralgia, hepatosplenomegaly.
- Anthrax (Bacillus anthracis): Herbivores (spores in soil).
- Forms: Cutaneous (painless black eschar), Inhalational (widened mediastinum), GI.
- Leptospirosis (Leptospira interrogans): Rodents (urine).
- Transmission: Contaminated water/soil.
- Weil’s Disease: Jaundice, renal failure, hemorrhage.

⭐ Widened mediastinum on chest X-ray is a hallmark of inhalational anthrax.
Viral Zoonoses - Neuro & Hemorrhage
- Rabies (Neurotropic)
- Lyssavirus (RNA). Transmission: animal bite (e.g., dog).
- Pathogenesis: Retrograde axonal transport to CNS → fatal encephalitis.
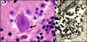
- Key features: Hydrophobia, aerophobia. Diagnosis: Negri bodies (intracytoplasmic inclusions).
- Post-Exposure Prophylaxis (PEP): Crucial; wound care, vaccine, Rabies Immunoglobulin (RIG).
- Kyasanur Forest Disease (KFD) (Hemorrhagic/Neuro)
- Flavivirus. "Monkey Fever". Vector: Haemaphysalis tick.
- Endemic: Karnataka (Western Ghats). Reservoir: monkeys, rodents.
- Clinical: Biphasic illness - initial high fever, headache, myalgia → can progress to hemorrhagic manifestations (epistaxis, GI bleed) & neurological (meningoencephalitis).
- Vaccine available (inactivated, for endemic areas).

⭐ > Rabies: Intracytoplasmic eosinophilic Negri bodies in neurons (especially hippocampus pyramidal cells, cerebellar Purkinje cells) are pathognomonic, though not found in all cases (~70-80%).
Parasitic & Rickettsial Zoonoses - Insidious Invaders
- Parasitic Zoonoses:
- Toxoplasmosis (Toxoplasma gondii): Cats, undercooked meat. Risk in pregnancy; chorioretinitis, hydrocephalus.
- Cysticercosis (Taenia solium): Pork tapeworm (fecal-oral). Neurocysticercosis (seizures, hydrocephalus).
- Hydatid Disease (Echinococcus granulosus): Dog tapeworm (fecal-oral). Liver/lung cysts; anaphylaxis on rupture.
- Leishmaniasis (Leishmania spp.): Sandfly bite. Visceral (Kala-azar: fever, hepatosplenomegaly, pancytopenia), Cutaneous (ulcers).
- Strongyloidiasis (Strongyloides stercoralis): Soil (larval penetration). Hyperinfection in immunocompromised.
- Rickettsial Zoonoses: (Fever, rash, headache common)
- Scrub Typhus (Orientia tsutsugamushi): Chigger mite. Eschar common. IgM ELISA diagnostic.
- Indian Tick Typhus (Rickettsia conorii): Tick bite. Eschar (tache noire), maculopapular rash.
- Murine Typhus (Rickettsia typhi): Rat flea. Rash spares palms/soles.
- Q Fever (Coxiella burnetii): Aerosol from livestock. Atypical pneumonia, hepatitis. No rash/vector usually.

⭐ Scrub typhus, caused by Orientia tsutsugamushi, is a major cause of acute febrile illness in India, often presenting with a characteristic eschar at the chigger bite site; doxycycline is the treatment of choice.
High‑Yield Points - ⚡ Biggest Takeaways
- Brucellosis: Undulant fever, arthralgia; unpasteurized milk; Rose Bengal test.
- Leptospirosis: Weil's disease (jaundice, renal failure); rodent urine exposure; MAT gold standard.
- Plague: Yersinia pestis; rat flea vector; bubonic (buboes), pneumonic forms.
- Anthrax: Bacillus anthracis; malignant pustule (cutaneous), wool-sorter's disease (inhalational).
- Rabies: Viral encephalitis; Negri bodies pathognomonic; crucial post-exposure prophylaxis.
- KFD: Tick-borne flavivirus; hemorrhagic fever; Karnataka focus.
- Scrub Typhus: Orientia tsutsugamushi; eschar at chigger bite; Weil-Felix OX-K positive_markdown_
Unlock the full lesson and continue reading
Signup to continue reading this lesson and unlimited access questions, flashcards, AI notes, and more