Introduction to Heavy Metal Poisoning - Toxic Titans Overview
- Definition: Dense metals/metalloids toxic at low exposures.
- Sources: Environmental (water, soil), occupational, accidental, pica, traditional medicines.
- Mechanisms: Enzyme inhibition, oxidative stress, binding sulfhydryl (-SH) groups.
- Clues: Multi-systemic effects; symptoms disproportionate to common illnesses.
- Diagnosis: History (exposure, occupation), exam, basic labs, specific metal screening.
⭐ Many heavy metals exert toxicity by binding sulfhydryl (-SH) groups in proteins, disrupting function.
Lead Poisoning - Plumbism's Punch
- Sources: Old paint, batteries, pipes, traditional cosmetics (Surma).
- Clinical Features:
- Children: Neurodevelopmental delay, encephalopathy, behavioral changes.
- Adults: Peripheral neuropathy (wrist/foot drop), abdominal colic, constipation, microcytic anemia (basophilic stippling), Burtonian line, renal dysfunction.

- Diagnosis: Blood Lead Level (BLL), X-ray (lead lines in long bones of children; radiopaque paint chips in GIT), ↑Erythrocyte protoporphyrin (EP).
- Management: Remove exposure. Chelation based on BLL (action level >5 µg/dL):
- Children: Succimer (DMSA) if BLL ≥45 µg/dL.
- Severe (BLL >70 µg/dL)/Encephalopathy: CaNa2EDTA + Dimercaprol (BAL).
- 📌 Mnemonic 'LEAD': Lead lines, Encephalopathy/Erythrocyte stippling, Abdominal colic/Anemia, Drop foot/wrist.
⭐ Basophilic stippling of red blood cells is a classic finding in lead poisoning, though not entirely specific.
Arsenic Poisoning - Arsenic's Assault
- Sources: Groundwater, pesticides, industry, traditional meds. Forms: Inorganic (↑toxic)/Organic.
- Acute: GIT (rice-water stool), garlic odor, hypotension, QTc ↑, encephalopathy.
- Chronic: Skin (raindrop pigment, hyperkeratosis, Mees' lines), neuropathy, anemia, cancers.

- Dx: Urine (acute), hair/nail (chronic).
- Rx: Supportive, decontamination, Chelation (BAL; DMSA/DMPS).
- 📌 ARSENIC: Anemia, Raindrop skin, Sensory neuropathy, Encephalopathy, Nail (Mees'), Intestinal colic, Cancers.
⭐ Chronic arsenic exposure is infamously linked to characteristic skin changes like raindrop pigmentation and palmar/plantar hyperkeratosis, as well as an increased risk of various cancers.
Mercury Poisoning - Quicksilver Crisis
- Forms & Sources:
- Elemental (vapor): Thermometers, dental amalgams.
- Inorganic salts (ingestion): Batteries, disinfectants.
- Organic (methylmercury, ingestion): Contaminated fish.
- Clinical Features:
- Elemental: Pneumonitis, tremor, erethism ('Mad Hatter').
- Inorganic: Corrosive gastroenteritis, renal failure (ATN).
- Organic: Neurotoxic (Minamata disease - paresthesias, ataxia); teratogenic.
- Acrodynia ('pink disease') in children.
- Diagnosis: Blood/urine mercury.
- Management: Remove exposure. Chelation: DMSA, DMPS. ⚠️ BAL contraindicated for methylmercury. 📌 MERCURY: Mad hatter, Erethism, Renal, CNS, Ulcerative gingivostomatitis, Respiratory, Yummy fish.
⭐ Methylmercury bioaccumulates in fish, causing Minamata disease (severe neurological damage).
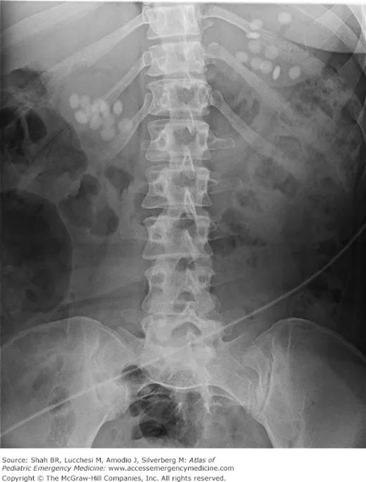
Iron & Chelation Therapy - Ferrous Fright & Metal Mop-Up
- Iron Poisoning (Acute, Children):
- Stages: GIT (0-6h) → Latent (6-24h) → Systemic (12-48h: shock, acidosis) → Hepatic failure → Strictures.
- Dx: Serum Fe (peak 4-6h), AXR (radiopaque).

- Rx: Supportive, WBI. IV Deferoxamine if severe (Fe > 500 µg/dL, shock, acidosis).
⭐ Deferoxamine, the chelator for iron poisoning, characteristically turns the urine a 'vin rosé' (pinkish-orange) color when iron is being excreted.

- Chelation: Forms stable, excretable complexes.
- Key Chelators:
- Deferoxamine (Fe): IV/IM.
- BAL (Dimercaprol) (As, Pb, Hg): IM, painful.
- CaNa2EDTA (Pb): IV/IM, nephrotoxic.
- DMSA (Succimer) (Pb, As, Hg): Oral.
- Key Chelators:
High‑Yield Points - ⚡ Biggest Takeaways
- Lead poisoning: Basophilic stippling, Burton's line, neuropathy (wrist/foot drop). Antidotes: EDTA, DMSA, BAL.
- Arsenic poisoning: Garlic breath, Mees' lines, skin changes. Antidotes: BAL, DMSA.
- Mercury poisoning: Tremors, erethism, acrodynia (children). Antidotes: BAL, DMSA, DMPS.
- Iron toxicity: Managed with deferoxamine (causes vin rosé urine).
- Copper (Wilson's disease): Kayser-Fleischer rings. Chelator: Penicillamine.
- Thallium poisoning: Alopecia, painful neuropathy. Antidote: Prussian blue.
- Dimercaprol (BAL): Contraindicated in iron and cadmium poisoning.
Unlock the full lesson and continue reading
Signup to continue reading this lesson and unlimited access questions, flashcards, AI notes, and more