Silicosis & CWP - Rock Dust Perils
- Pneumoconioses from inhaling crystalline silica (Silicosis) or coal dust (CWP).
- Pathogenesis: Dust → macrophage activation → inflammation → fibrosis.
- Key Features & Occupations:
- Silicosis: Mining, sandblasting, stone cutting.
- ↑ TB risk (silicotuberculosis), lung cancer.
- CWP: Coal mining. "Black Lung Disease".
- Silicosis: Mining, sandblasting, stone cutting.
- Clinical Presentation:
- Often asymptomatic initially; progresses to dyspnea, cough.
- PMF (Progressive Massive Fibrosis): Opacities >1 cm, severe impairment.
- Radiology:
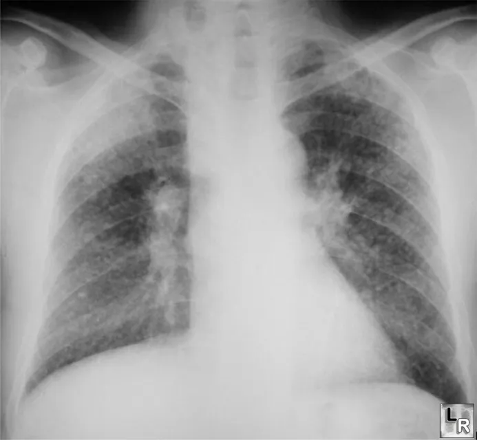
- Small, rounded opacities, predominantly upper lung zones. 📌 Mnemonic for upper lobe: "STAB C" (Silicosis, TB, Ankylosing Spondylitis, Berylliosis, CWP).
⭐ Silicosis shows 'egg-shell' calcification of hilar lymph nodes and predominantly affects upper lung zones.
- Shared Complication: Caplan's syndrome (pneumoconiosis + rheumatoid arthritis).
- Management: No cure; supportive, remove exposure, monitor.
Asbestosis & Berylliosis - Fiber & Metal Ills
- Asbestosis
- Source: Asbestos fiber inhalation (shipbuilding, insulation). Amphibole fibers → mesothelioma.
- Patho: Diffuse interstitial fibrosis (mainly lower lobes). Pleural plaques (parietal, calcified "holly leaf").
- C/F: Progressive dyspnea, dry cough, clubbing. Latency: 15-20+ years.
- Dx: CXR/HRCT (bibasilar opacities), PFTs (restrictive), asbestos bodies (sputum/BAL/biopsy).
⭐ Asbestosis primarily affects lower lung lobes and is strongly linked to mesothelioma and bronchogenic carcinoma (synergistic with smoking, risk ↑ ~50x).

- Berylliosis (Chronic Beryllium Disease - CBD)
- Source: Beryllium (aerospace, electronics, dental).
- Patho: Type IV hypersensitivity → non-caseating granulomas (sarcoid-like).
- C/F: Dyspnea, cough, fatigue, hilar lymphadenopathy.
- Dx: +BeLPT (blood/BAL), biopsy (granulomas). CXR/HRCT: nodules, hilar adenopathy, fibrosis (upper lobe predilection).
- Rx: Corticosteroids.
HP & Occupational Asthma - Allergen Alert
- Hypersensitivity Pneumonitis (HP): Immune-mediated lung disease (Type III/IV hypersensitivity) from inhaled organic antigens (e.g., molds, bird proteins).
- Acute: Fever, cough, dyspnea 4-8 hrs post-exposure.
- Chronic: Progressive fibrosis, irreversible.
- HRCT: Ground-glass opacities, centrilobular nodules (acute); honeycombing (chronic).
⭐ Farmer's Lung (HP) from thermophilic actinomycetes (e.g., Saccharopolyspora rectivirgula); recurrent flu-like symptoms hours after exposure.
- Occupational Asthma: Variable airflow obstruction due to workplace agents.
- Sensitizer-induced (latency) or Irritant-induced (immediate).
- Symptoms (wheeze, dyspnea) improve away from work.
- Diagnosis: PEFR variability (>20%), specific bronchial provocation tests.
- Management: Exposure cessation is key; corticosteroids.

Prevention & Medico-Legal - Lung Shield Laws
- Prevention: Key Measures
- Primary: Engineering controls (e.g., ventilation, wet methods), substitution of hazardous agents, appropriate PPE (respirators, masks).
- Secondary: Pre-placement & periodic health surveillance (spirometry, chest X-ray), worker education.
- Tertiary: Early diagnosis, treatment, rehabilitation, job retraining.
- Medico-Legal & Compensation (India):
- Factories Act, 1948: Safe work environment, disease notification.
- Workmen's Compensation Act, 1923 (Employees Comp Act): Compensation.
- Employees' State Insurance (ESI) Act, 1948: Medical care & disability benefits.
- Mines Act, 1952: Mine safety regulations.
- Certification: Medical boards assess disability for compensation.
⭐ The ILO Classification of Radiographs of Pneumoconioses is crucial for standardized assessment and medico-legal purposes in occupational lung diseases.
High‑Yield Points - ⚡ Biggest Takeaways
- Silicosis: Upper lobe opacities, eggshell calcification of hilar nodes, increased TB risk.
- CWP: Upper lobe nodules, risk of PMF; Caplan syndrome (RA + pneumoconiosis).
- Asbestosis: Lower lobe fibrosis, pleural plaques (commonest), ↑ risk of mesothelioma & bronchogenic carcinoma.
- Byssinosis: Cotton dust; "Monday fever" (chest tightness), symptoms improve through week.
- Berylliosis: Non-caseating granulomas (mimics sarcoidosis); aerospace/electronics exposure.
- Hypersensitivity Pneumonitis: (e.g., Farmer's Lung) Immune reaction to organic antigens (moldy hay).
Unlock the full lesson and continue reading
Signup to continue reading this lesson and unlimited access questions, flashcards, AI notes, and more