Malaria - Mosquito's Kiss of Misery
- Agents: Plasmodium spp. (P.f - severe; P.v - common, relapses; P.o - relapses; P.m - quartan).
- Vector: Female Anopheles mosquito.
- Life Cycle: Sporozoites (infect) → Liver (exo-erythrocytic schizogony; hypnozoites in P.v/P.o cause relapse) → Merozoites → RBCs (erythrocytic schizogony, symptoms) → Gametocytes (transmit).
- Clinical: Periodic fever (cold-hot-sweat stages), chills, splenomegaly, anemia. Tertian (48h: P.f, P.v, P.o), Quartan (72h: P.m).
- Severe P. falciparum: Cerebral malaria, severe anemia (Hb < 5 g/dL), ARDS, hypoglycemia, renal failure (Blackwater fever), shock, acidosis, hyperparasitemia.
- Diagnosis:
- Microscopy (Giemsa): Thick (detection), Thin (species, parasitemia). Ring forms; P.f gametocytes crescent-shaped.
- RDTs: Detect HRP-2 (P.f) or pLDH (all species).
- Treatment (NVBDCP):
- Uncomplicated P.v/P.o: Chloroquine + Primaquine (⚠️ check G6PD).
- Uncomplicated P.f: ACT (e.g., Artemether-Lumefantrine).
- Severe Malaria: IV Artesunate, then oral ACT.
- Prevention: Mosquito control (LLINs, IRS), repellents.

⭐ Blackwater fever (hemoglobinuria, renal failure) is a severe complication of P. falciparum malaria, often linked to quinine usage or G6PD deficiency with oxidant drugs during infection.
Other Protozoa - Tiny Terrors, Big Troubles
| Feature | Amoebiasis (E. histolytica) | Giardiasis (G. lamblia) |
|---|---|---|
| Site | Colon | Duodenum, Jejunum |
| Stool | Dysentery (blood, mucus) | Steatorrhea (foul, fatty), non-bloody |
| Key Lesion | Flask-shaped ulcers | Villous atrophy, malabsorption |
| Complication | Liver abscess (anchovy sauce pus) | Chronic diarrhea, weight loss |
| Trophozoite | Ingested RBCs, single nucleus | Pear-shaped, 2 nuclei, 4 pairs flagella |
| Cyst | Up to 4 nuclei | 4 nuclei, ovoid |
| Treatment | Metronidazole + Diloxanide furoate | Metronidazole, Tinidazole |
- Leishmaniasis (Kala-azar: L. donovani)
- Vector: Sandfly (Phlebotomus).
- Clinical: Fever, massive splenomegaly, pancytopenia, hypergammaglobulinemia.
- Diagnosis: LD bodies (macrophages), rK39 antigen test.
- Treatment: Amphotericin B (liposomal), Miltefosine.
- Trichomoniasis (T. vaginalis)
- Transmission: Sexual (STD).
- Female: Frothy yellow-green discharge, vulvovaginitis, "strawberry cervix" (colpitis macularis).
- Male: Often asymptomatic; urethritis.
- Diagnosis: Motile trophozoites on wet mount.
- Treatment: Metronidazole (patient & partner). 📌 Treat partners!
Helminths - Crawling Critter Chaos
- Nematodes (Roundworms):
- Ascaris lumbricoides (Giant roundworm): Intestinal/biliary obstruction, Loeffler's syndrome. Rx: Albendazole.
- Ancylostoma/Necator (Hookworm): Ground itch, iron deficiency anemia. Rx: Albendazole.
- Filariasis (Wuchereria bancrofti, B. malayi):
- Lymphatic dysfunction → elephantiasis, hydrocele, chyluria.
- Dx: Nocturnal microfilariae in blood. Rx: Diethylcarbamazine (DEC).
- ⭐ > Wuchereria bancrofti microfilariae exhibit nocturnal periodicity, best detected in blood samples taken between 10 PM - 2 AM.
- Strongyloides stercoralis: Larva currens, autoinfection; hyperinfection (immunocompromised). Rx: Ivermectin.
- Enterobius vermicularis (Pinworm): Nocturnal perianal itching. Dx: Scotch tape test. Rx: Albendazole.
- Cestodes (Tapeworms):
- Taenia solium (Pork Tapeworm):
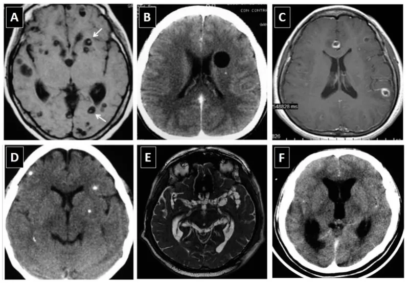
- Neurocysticercosis (NCC): Commonest cause of adult-onset seizures in endemic areas.
- Dx: CT/MRI (calcified granulomas, vesicular cysts with scolex). Rx (NCC): Albendazole + Corticosteroids.

- Echinococcus granulosus (Hydatid Disease):
- Liver/lung cysts (eggshell calcification, hydatid sand). Rx: Albendazole, PAIR. ⚠️ Anaphylaxis on cyst rupture.
- Taenia solium (Pork Tapeworm):
- Trematodes (Flukes):
- Schistosoma haematobium: Hematuria, ↑ bladder Ca risk. S. mansoni/japonicum: portal hypertension. Rx: Praziquantel.
- 📌 Mnemonic for Praziquantel: "Prazi for Flukes & Tapes!" (Schistosoma, Taenia).
High‑Yield Points - ⚡ Biggest Takeaways
- P. falciparum causes severe malaria; ACT is first-line. Primaquine for P. vivax/ovale radical cure (check G6PD).
- Dengue (Aedes): Tourniquet test, warning signs crucial. Supportive care.
- Kala-azar (sandfly): Fever, splenomegaly, pancytopenia. Liposomal Amphotericin B is DOC.
- Lymphatic Filariasis: Lymphedema, hydrocele. DEC is treatment.
- Amoebic liver abscess: Commonest extra-intestinal amoebiasis. Metronidazole is DOC.
- Neurocysticercosis (T. solium): Adult-onset seizures. Albendazole + steroids.
- Hookworm: Causes iron deficiency anemia. Treat with Albendazole.
Unlock the full lesson and continue reading
Signup to continue reading this lesson and unlimited access questions, flashcards, AI notes, and more