Cardiomyopathy Basics - Heart's Muscle Woes
- Definition: Cardiomyopathies are diseases of the myocardium associated with cardiac dysfunction (mechanical and/or electrical). They are distinct from dysfunction due to coronary artery disease, hypertension, or valvular disease.
- Classification: Primarily by WHO/ISFC based on morphology and function. The MOGE(S) system provides a comprehensive nosology: Morphofunctional phenotype, Organ involvement, Genetic inheritance, Etiological cause, and functional Stage (NYHA).
⭐ Cardiomyopathies are a significant cause of heart failure and sudden cardiac death, impacting global cardiovascular morbidity and mortality.
Dilated Cardiomyopathy - The Overstretched Heart
- Etiology: Often idiopathic; other causes include genetic mutations, alcohol abuse, viral infections (e.g., Coxsackie B), peripartum period, and toxins (e.g., doxorubicin).
- 📌 Mnemonic: ABCCCD (Alcohol, Beri-beri, Coxsackie B, Cocaine, Chagas, Doxorubicin).
- Pathophysiology: Characterized by systolic dysfunction due to impaired myocardial contractility, leading to decreased ejection fraction and ventricular dilation.
- Clinical Features: Presents with symptoms of heart failure (dyspnea, orthopnea, paroxysmal nocturnal dyspnea, peripheral edema), S3 gallop, and sometimes arrhythmias or thromboembolism.
- Diagnosis:
- Echocardiogram: Key diagnostic tool; shows left ventricular (LV) dilation and global hypokinesis with LVEF < 40%.

- Chest X-ray (CXR): May show cardiomegaly and signs of pulmonary venous congestion.
- Echocardiogram: Key diagnostic tool; shows left ventricular (LV) dilation and global hypokinesis with LVEF < 40%.
- Management:
- Medical: Standard heart failure therapy including ACE inhibitors (ACEi) or Angiotensin Receptor Blockers (ARBs), beta-blockers, diuretics, and aldosterone antagonists.
- Device Therapy: Implantable Cardioverter-Defibrillator (ICD) for primary/secondary prevention of sudden cardiac death and Cardiac Resynchronization Therapy (CRT) in eligible patients.
⭐ Dilated cardiomyopathy is the most common type of cardiomyopathy globally and a leading indication for heart transplantation.
Hypertrophic Cardiomyopathy - The Thickened Challenger
- Etiology: Autosomal dominant; mutations in sarcomeric proteins (e.g., MYH7, MYBPC3).
- Pathophysiology: Left Ventricular Hypertrophy (LVH), often asymmetric; diastolic dysfunction. LV Outflow Tract Obstruction (LVOTO) due to septal hypertrophy & Systolic Anterior Motion (SAM) of mitral valve.
- Clinical Features: Dyspnea, angina, syncope/presyncope (especially exertional), palpitations. Bifid pulse (pulsus bisferiens).
⭐ Hypertrophic cardiomyopathy is the most common genetic cardiovascular disease and a leading cause of sudden cardiac death in young athletes.
- Diagnosis:
- ECG: LVH criteria, deep "dagger-like" Q waves (inferolateral leads).
- Echocardiogram: Key diagnostic. Asymmetric septal hypertrophy (wall thickness > 15mm not explained by other causes), SAM, LVOTO (gradient > 30 mmHg).

- Management:
- Medical: Beta-blockers (1st line), Verapamil (CCB), Disopyramide.
- ⚠️ If LVOTO: Avoid drugs that ↓preload/↓afterload. 📌 Mnemonic: DNV (Diuretics, Nitrates, Vasodilators) worsen LVOTO.
- Invasive: Septal myectomy or alcohol septal ablation for refractory symptoms with LVOTO.
- SCD Prevention: ICD for high-risk (e.g., LV wall ≥30mm, family Hx SCD, syncope).
- Medical: Beta-blockers (1st line), Verapamil (CCB), Disopyramide.
SCD Risk Stratification in HCM:
Restrictive & Others - Stiff Hearts & Rare Cases
- Restrictive Cardiomyopathy (RCM): Stiff ventricles, impaired diastolic filling.
- Etiology: Amyloidosis, sarcoidosis, hemochromatosis, endomyocardial fibrosis (EMF), Löffler's endocarditis.
- Features: Right HF > Left HF, Kussmaul's sign (↑JVP on inspiration).
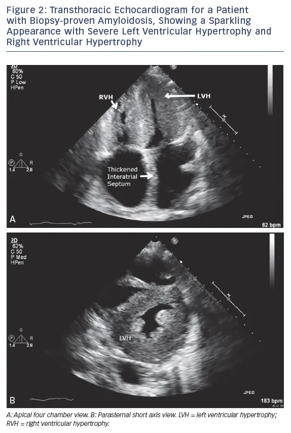
- Dx: Echo (biatrial enlargement, diastolic dysfunction; 'sparkling' myocardium in amyloidosis).
- Arrhythmogenic RV Dysplasia/Cardiomyopathy (ARVC): Fibrofatty replacement of RV myocardium.
- Etiology: Genetic (desmosomal proteins).
- Features: Ventricular arrhythmias, syncope, Sudden Cardiac Death (SCD).
- Dx: ECG (epsilon wave, T-wave inversion in V1-V3), Cardiac MRI.
- Takotsubo Cardiomyopathy (Stress CM): Transient LV apical ballooning.
- Pathophysiology: Stress-induced catecholamine surge.
- Features: Mimics Acute Coronary Syndrome (ACS).

⭐ Amyloidosis is a key cause of RCM, often presenting with a characteristic 'sparkling' appearance on echocardiogram due to amyloid fibril infiltration in the myocardium. Kussmaul's sign is also a classic finding in RCM due to the stiff, non-compliant right ventricle.
High‑Yield Points - ⚡ Biggest Takeaways
- Dilated Cardiomyopathy (DCM): Most common; S3 gallop; causes include alcohol, viral infections.
- Hypertrophic Cardiomyopathy (HCM): Autosomal dominant; sudden cardiac death in athletes; asymmetric septal hypertrophy.
- Restrictive Cardiomyopathy (RCM): Diastolic dysfunction; amyloidosis is a key cause; Kussmaul's sign.
- Arrhythmogenic Right Ventricular Dysplasia (ARVD): Fibrofatty replacement of RV; epsilon wave on ECG.
- Takotsubo Cardiomyopathy: Stress-induced; transient apical ballooning of the left ventricle.
- Peripartum Cardiomyopathy: LV dysfunction in late pregnancy or early postpartum.
Unlock the full lesson and continue reading
Signup to continue reading this lesson and unlimited access questions, flashcards, AI notes, and more