Pediatric FB: Overview - Tiny Trespassers Alert
- Common pediatric emergency; driven by curiosity & oral exploration.
- Peak incidence: 1-3 years.
- Types:
- Organic: Peanuts, seeds (can swell, ↑ inflammation).
- Inorganic: Coins, button batteries ⚠️, small toys.
- Common sites: Ear, nose, airway (laryngotracheal), esophagus.
- Button batteries & paired magnets: URGENT removal.

⭐ Most common age group for foreign body aspiration is 1-3 years.
Pediatric FB: Presentation - Location Clues Galore
Foreign body (FB) presentation varies significantly with its location. Early recognition is key.
| Site | Key Symptoms |
|---|---|
| Nose | Unilateral foul purulent discharge, epistaxis, nasal obstruction, pain, sneezing. |
| Ear Canal | Otalgia, otorrhea (may be foul), ↓hearing, bleeding; often initially asymptomatic. |
| Pharynx/Larynx | Sudden gagging, dysphagia, odynophagia, excessive drooling, stridor, hoarseness, cough, dyspnea. |
| Trachea/Bronchus | Paroxysmal cough, unilateral/fixed wheeze, dyspnea, stridor, cyanosis; "Audible slap", "Palpable thud". |
| Esophagus | Dysphagia (solids > liquids), odynophagia, drooling, food refusal, retrosternal pain, vomiting. |
Pediatric FB: Diagnosis - Spotting the Suspect
- High clinical suspicion is key: based on history (witnessed event, acute choking/drooling) & exam.
- Imaging Studies:
- X-ray (AP/Lat): First-line. Shows radio-opaque FBs.
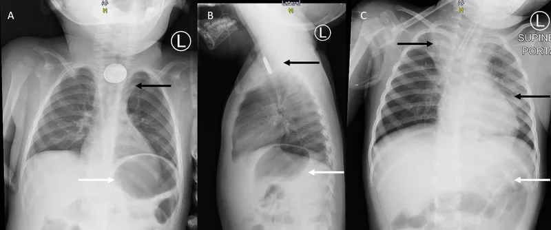
- 📌 Coin Sign: Esophagus (AP: O, Lat: |), Trachea (AP: |, Lat: O).
- CT Scan: If X-ray normal with high suspicion, or for complications.
- Endoscopy (Bronchoscopy/Esophagoscopy): Gold standard for diagnosis & removal.
⭐ A coin in the esophagus typically appears as a circle (en face) on an AP X-ray, while in the trachea it appears as a circle on a lateral X-ray (sagittal orientation).

Pediatric FB: Management - Eviction & Aftermath
FB Removal Techniques:
| Site | Primary Method(s) | Key Point(s) |
|---|---|---|
| Airway | ⭐ Rigid Bronchoscopy (Gold Standard) | GA essential |
| Flexible Bronchoscopy | Diagnostic/select removal | |
| Esophagus | Endoscopy (Rigid/Flexible) | Button battery: EMERGENCY (<6h) |
| Foley catheter / Bougienage | Specific indications | |
| Nose | Positive pressure, Instrumentation | Avoid posterior push |
| Ear | Instrumentation, Irrigation (not organic/battery) | Kill live insects (oil/lidocaine) |
Airway FB Management Flow:
Aftermath & Complications:
- Post-removal: Observation, follow-up CXR (airway FB). Steroids/antibiotics if indicated (e.g., edema, infection).
- Potential Complications:
- Airway: Pneumonia, atelectasis, granulation, stenosis.
- Esophageal: Perforation, mediastinitis, stricture. Button battery: severe burns, fistula.
⭐ Rigid bronchoscopy is the gold standard for diagnosis and removal of tracheobronchial foreign bodies in children.
Pediatric FB: Special Cases - Battery & Magnet Menace
- Button Batteries: Urgent!
- Mechanism: Liquefaction necrosis, electrical discharge.
- Anode: $Li + H_2O \rightarrow LiOH + 1/2 H_2$
- Cathode: $MnO_2 + 2H_2O + 2e^- \rightarrow Mn(OH)_2 + 2OH^-$
- ⚠️ Esophageal: Remove <2 hrs. X-ray: Halo (AP), step-off (Lat).
- Complications: Perforation, fistula.
⭐ Button batteries lodged in the esophagus require emergent removal, ideally within 2 hours, due to the high risk of liquefaction necrosis and perforation.
- Mechanism: Liquefaction necrosis, electrical discharge.
- Magnets (Multiple/Metal FB):
- Risk: Pressure necrosis → bowel fistula/perforation.
- Tx: Prompt removal (endoscopic/surgical).
oka
High‑Yield Points - ⚡ Biggest Takeaways
- Esophageal button batteries: EMERGENCY! Remove within 2-6 hours to prevent necrosis/perforation.
- Airway FBs: Commonly in right main bronchus. Rigid bronchoscopy for diagnosis & removal.
- Esophageal coins: Appear circular on AP X-ray. Tracheal coins are edge-on.
- Nasal FBs: Suspect with unilateral foul rhinorrhea or persistent epistaxis.
- Aural FBs (insects): Kill/immobilize insects (e.g., lidocaine, oil) before removal.
- Choking: Heimlich maneuver (>1 yr); 5 back blows & 5 chest thrusts for infants (<1 yr).
Unlock the full lesson and continue reading
Signup to continue reading this lesson and unlimited access questions, flashcards, AI notes, and more