Salivary Gland Tumors - Glandular Grand Tour
- Classification: Benign (e.g., Pleomorphic Adenoma, Warthin's) vs. Malignant (e.g., Mucoepidermoid Ca, Adenoid Cystic Ca).
- Location: Parotid (~80%) > Submandibular (~10-15%) > Sublingual/Minor (~5-10%).
⭐ Parotid gland is the most common site for salivary gland tumors (approx. 80%).
- Presentation: Often painless mass. Facial nerve palsy ⚠️ (parotid malignancy sign).
- Diagnosis: FNA, imaging (USG, CT/MRI).
- 📌 Rule of 80s (Parotid): 80% of tumors, 80% benign, 80% of benign are Pleomorphic Adenomas.

Salivary Gland Tumors - Gentle Giants Parade

- Benign Tumors (80%)
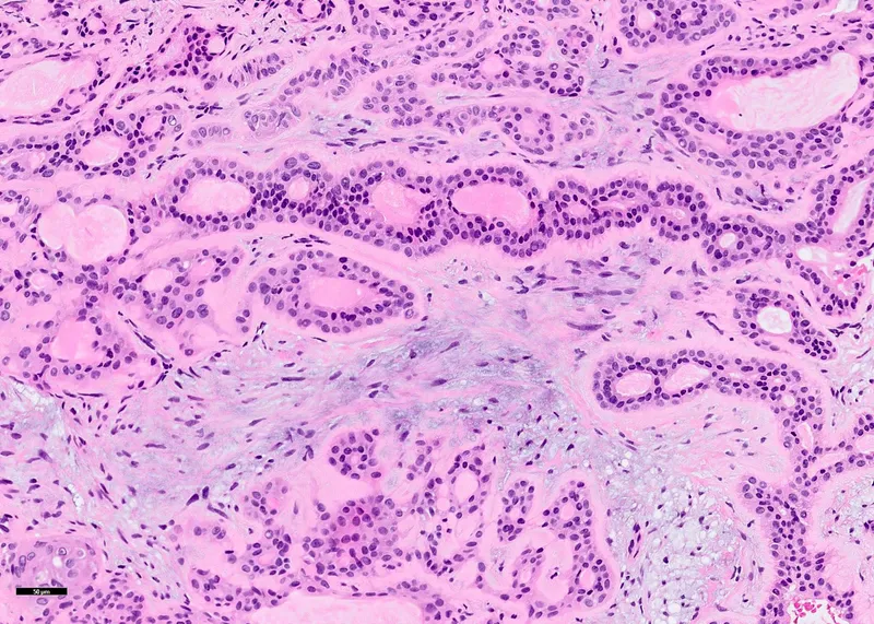
- Pleomorphic Adenoma (Benign Mixed Tumor)
- Most common salivary gland tumor (overall & benign).
- Parotid > Submandibular > Minor salivary glands.
- Painless, slow-growing, mobile mass.
- Histology: Epithelial & myoepithelial cells in a variable stroma (📌 "Pleomorphic" = diverse appearance).
- Risk of malignant transformation (Carcinoma ex pleomorphic adenoma).
⭐ Pleomorphic adenoma is the most common salivary gland tumor overall and the most common benign salivary gland tumor.
- Warthin's Tumor (Papillary Cystadenoma Lymphomatosum)
- Second most common benign tumor; almost exclusively in parotid.
- Strong association with smoking.
- Often bilateral; more common in older males.
- Histology: Papillary cystic structures with double layer of oncocytic epithelial cells & lymphoid stroma.
- Pleomorphic Adenoma (Benign Mixed Tumor)
- Malignant Tumors (20%)
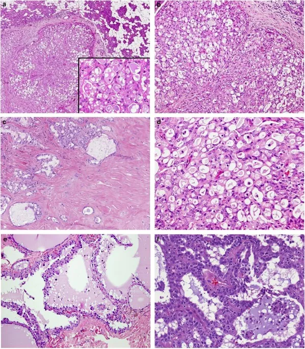
- Mucoepidermoid Carcinoma (most common malignant overall, most common in parotid)
- Adenoid Cystic Carcinoma (Perineural invasion common ⚠️; cribriform pattern)
Salivary Gland Tumors - Sinister Swellings

- Malignant features: Rapid growth, pain, facial nerve (CN VII) palsy, firm/fixed mass.
- Mucoepidermoid Carcinoma (MEC): Most common malignant. MAML2 translocation. Graded low to high.
⭐ Mucoepidermoid carcinoma is the most common malignant salivary gland tumor overall and also the most common in children.
- Adenoid Cystic Carcinoma (ACC): Perineural invasion (PNI) → pain. "Swiss cheese" (cribriform). MYB-NFIB. Relentless course.
- Acinic Cell Carcinoma: Parotid common. Good prognosis. Serous acinar cells.
- Carcinoma ex Pleomorphic Adenoma: Malignancy in pre-existing PA. Aggressive.
- Polymorphous Adenocarcinoma (PAC): Minor salivary glands. Indolent. PRKD1 mutations.
- Salivary Duct Carcinoma: Aggressive. Resembles breast ductal CA. Often Androgen Receptor (AR)+.
Salivary Gland Tumors - Gland Wars Chart
| Tumor | Gland | Type | Key Features |
|---|---|---|---|
| Pleomorphic Adenoma | Parotid (80%) | Benign | Most common overall; "mixed tumor"; recurrence if capsule breached |
| Warthin Tumor | Parotid | Benign | 📌 "Warriors smoke"; older men; often bilateral (10%); cystic |
| Mucoepidermoid Ca. | Parotid | Malignant | Most common malignant (adults & children); MAML2 fusion |
| Adenoid Cystic Ca. | Minor glands | Malignant | Perineural invasion (pain); cribriform ("Swiss cheese"); lung mets |
Salivary Gland Tumors - Tumor Takedown Tactics
- Initial Workup: Detailed history, thorough clinical examination (palpation, VII nerve status, cervical nodes).
- Imaging: Ultrasound often first; CT/MRI for deep extension, bone/nerve involvement, staging.
- Diagnostic Biopsy:
⭐ Fine Needle Aspiration Cytology (FNAC) is the crucial initial diagnostic investigation of choice for most salivary gland swellings, guiding further management.
- Treatment Principles:
- Benign: Complete surgical excision (e.g., superficial/total parotidectomy, gland excision). Facial nerve preservation is paramount.
- Malignant: Multimodal approach. Wide surgical resection, often with neck dissection. Post-op radiotherapy common. Nerve sacrifice if involved by tumor for cure.
High‑Yield Points - ⚡ Biggest Takeaways
- Pleomorphic adenoma: Most common overall salivary tumor, predominantly benign.
- Mucoepidermoid carcinoma: Most common malignant salivary tumor.
- Parotid gland: Most common location for salivary tumors (80%).
- Warthin's tumor: Second most common benign parotid tumor; strong smoker association, often bilateral.
- Adenoid cystic carcinoma: Characterized by perineural invasion and high recurrence rates.
- Facial nerve involvement in a parotid mass strongly indicates malignancy.
- Frey's syndrome (gustatory sweating) is a key complication post-parotidectomy.
Unlock the full lesson and continue reading
Signup to continue reading this lesson and unlimited access questions, flashcards, AI notes, and more