COM: Definition & Types - Ear's Unending Encore
- Persistent inflammation of middle ear cleft (ā„ 3 months); chronic/recurrent mucopurulent discharge via tympanic membrane perforation.
- Two main types:
- Tubotympanic (Safe/Mucosal COM): Central perforation, no cholesteatoma. Generally benign course.
- Atticoantral (Unsafe/Squamous COM): Marginal/attic perforation, often with cholesteatoma. Higher complication risk.
ā Atticoantral disease (unsafe COM) is characterized by the presence of cholesteatoma and carries a higher risk of complications.
š Safe = Superior/central perforation; Unsafe = Upper/attic/marginal perforation (cholesteatoma risk).
COM: Pathophysiology & Bugs - The Bug Culprits
- Pathophysiology: Eustachian tube dysfunction (ETD), persistent tympanic membrane (TM) perforation, and recurrent infections leading to chronic mucosal inflammation.
- Aerobic Bacteria:
- Pseudomonas aeruginosa (most common)
- Staphylococcus aureus
- Proteus mirabilis
- Klebsiella pneumoniae
- Anaerobic Bacteria:
- Bacteroides spp.
- Peptostreptococcus spp.
- Fungal (less common): Aspergillus, Candida.
ā Pseudomonas aeruginosa is the most common aerobic bacterium isolated in active chronic suppurative otitis media (CSOM).
COM: Clinical Features - Whispers of Woe
- Tubotympanic (Safe COM / Mucosal):
- Discharge: Profuse, mucoid/mucopurulent, odorless, intermittent.
- Hearing Loss: Conductive, mild to moderate.
- Perforation: Central, in pars tensa.
- Atticoantral (Unsafe COM / Squamous / Cholesteatoma):
- Discharge: Scanty, purulent, persistent, characteristically foul-smelling.
- Hearing Loss: Conductive or mixed, often progressive.
- Perforation: Marginal, attic, or posterosuperior.
- Pain: Usually absent; presence suggests complication.
ā Painless, scanty, foul-smelling ear discharge, often blood-tinged, is highly suggestive of cholesteatoma (unsafe COM).
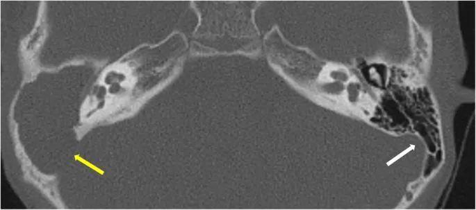
COM: Investigations - Unmasking the Issue
- Otoscopy/Microscopy: Visualizes tympanic membrane perforation, discharge, granulations, or cholesteatoma.
- Audiometry (PTA): Quantifies hearing loss (typically conductive); establishes air-bone gap.
- Culture & Sensitivity: For active discharge; guides targeted antibiotic therapy.
- Imaging:
- X-ray Mastoids (Schullerās view): Limited; may show sclerosis, reduced pneumatization.
- HRCT Temporal Bone: Assesses cholesteatoma extent, bony erosion, ossicular chain integrity.

ā High-Resolution Computed Tomography (HRCT) of the temporal bone is the imaging modality of choice to assess the extent of cholesteatoma and bony erosion.
COM: Complications - Complication Cascade

Untreated/aggressive Chronic Otitis Media (COM), especially unsafe atticoantral type with cholesteatoma, can lead to severe complications through various pathways.
ā Meningitis is the most common intracranial complication of chronic otitis media.
COM: Management - Mending the Drum
Aims: Disease eradication, complication prevention, hearing restoration.
Medical:
- Aural toilet (suction).
- Topical antibiotic/steroid drops (active discharge).
- Systemic antibiotics (exacerbations).
- Water precautions.
Surgical:
- Myringoplasty: TM repair.
- Tympanoplasty: TM + ossicular repair.
- Mastoidectomy:
- Canal Wall Up (CWU): For limited disease.
- Canal Wall Down (CWD): For extensive disease.
ā Canal Wall Down (CWD) mastoidectomy (e.g., Modified Radical Mastoidectomy) is preferred for extensive cholesteatoma to create a safe, exteriorized cavity.

HighāYield Points - ā” Biggest Takeaways
- COM: Middle ear inflammation > 3 months with TM perforation & otorrhea.
- Types: Tubotympanic (safe, mucosal) vs. Atticoantral (unsafe, squamosal, cholesteatoma).
- Cholesteatoma: Keratin debris in middle ear, causes bone erosion, signifies unsafe ear.
- Commonest organism in active CSOM: Pseudomonas aeruginosa.
- HRCT temporal bone: Gold standard for cholesteatoma assessment.
- Key complications: Mastoiditis, facial palsy, labyrinthitis, intracranial abscesses.
- Treatment: Aural toilet, antibiotics, and surgery (tympanomastoidectomy).
Unlock the full lesson and continue reading
Signup to continue reading this lesson and unlimited access questions, flashcards, AI notes, and more
