Introduction & Risk Factors - The Sun's Kiss
- Most common human malignancy; locally invasive, slow-growing tumor.
- Origin: Basal layer of epidermis or hair follicles. Low metastatic potential.
- Primary Risk Factors:
- UV Radiation: Chronic sun exposure (UVB > UVA), history of sunburns.
- Phenotype: Fair skin (Fitzpatrick I-II), light hair/eyes.
- Age: Typically > 40 years.
- Genetics: Gorlin syndrome (NBCCS), Xeroderma Pigmentosum (XP).
- Immunosuppression (e.g., organ transplant recipients).
- Others: Ionizing radiation, arsenic, prior BCC.

⭐ BCC constitutes approximately 80% of all non-melanoma skin cancers (NMSC).
Pathogenesis (Hedgehog) - Hedgehog's Hijack

- Core: Uncontrolled Hedgehog (Hh) pathway.
- "Hedgehog's Hijack":
- Normal: SHH ligand binds PTCH1 (receptor); PTCH1's inhibition of SMO (transducer) is lifted → GLI activation → controlled growth.
- BCC (UV-induced mutations):
- PTCH1 (tumor suppressor) Loss-of-Function (LoF, ~90%): Fails to inhibit SMO.
- SMO (oncogene) Gain-of-Function (GoF, ~10%): Constitutively active.
- Outcome: Constitutive SMO activation → ↑GLI activity → uncontrolled proliferation.
- Gorlin Syndrome: Germline PTCH1 mutation.
⭐ UV-induced PTCH1 mutations are key in most sporadic BCCs.
Clinical Types & Sites - The Many Masks
- Nodular (~60%): Most common. Pearly papule/nodule, telangiectasias, rolled border. Central ulcer (rodent ulcer). Site: Head/neck (esp. nose).
- Superficial (~30%): Erythematous, scaly plaque; thread-like border. Site: Trunk, shoulders.
- Morpheaform/Sclerosing (~5-10%): Waxy, scar-like plaque; ill-defined. Aggressive, ↑recurrence. Site: Mid-face.
- Pigmented: Brown/black pigment in any type. Mimics melanoma.
- Fibroepithelioma of Pinkus (FEP): Rare. Firm, pink papule. Site: Lumbosacral.
- Sites: >80% head & neck (sun-exposed). Nose most common.
⭐ Nodular BCC: most common type; pearly papule with telangiectasias, often on nose. oka
Diagnosis & Histology - Clues in Cells
- Dermoscopy (ELM): Key diagnostic aid.
- Arborizing (branching) telangiectasias.
- Blue-gray globules/ovoid nests.
- Spoke-wheel areas, leaf-like structures.
- Shiny white structures (chrysalis).
- Ulceration.
- Skin Biopsy: Essential for confirmation (shave, punch, excisional).
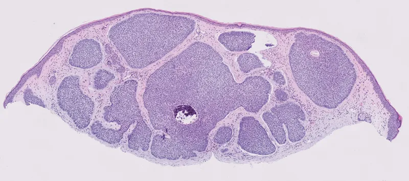
- Histopathology (H&E stain): 📌 BCC = Blue Cells, Clefts, Palisading.
- Tumor islands of basaloid cells (blue): scant cytoplasm, hyperchromatic nuclei.
- Peripheral palisading: columnar cells at nest periphery align.
- Stromal retraction (clefts): artifactual spaces around tumor islands.
- Mucinous stroma.
⭐ Peripheral palisading of nuclei and peritumoral stromal retraction are pathognomonic histological hallmarks of BCC.

Treatment & Prognosis - Erase & Chase

- Surgical (Gold Standard):
- Excision: 3-5 mm margins (low-risk).
- Mohs Micrographic Surgery (MMS): Highest cure, tissue sparing. For H-zone, recurrent, large, aggressive.
- Curettage & Electrodessication (C&E): Small, superficial, low-risk.
- Non-Surgical:
- Topical: Imiquimod, 5-FU (superficial BCC).
- Radiotherapy (RT): Adjuvant/primary if surgery contraindicated.
- Systemic: Vismodegib, Sonidegib for advanced/metastatic.
- Prognosis: Excellent (>95% 5-yr cure). Recurrence ↑ with aggressive subtypes, perineural invasion.
⭐ Mohs Micrographic Surgery offers the highest cure rates (up to 99%) and best tissue conservation, vital for facial BCCs.
High‑Yield Points - ⚡ Biggest Takeaways
- Most common human malignancy, linked to chronic sun (UVB) exposure.
- Slow, local invasion is characteristic; metastasis is extremely rare.
- Classic: pearly papule/nodule with telangiectasias, rolled borders, and central ulceration (rodent ulcer).
- Histo: nests of basaloid cells, peripheral palisading, and stromal retraction.
- Affects sun-exposed areas (face, neck); nose is a very common site.
- Nodular BCC is the most frequent subtype.
- Multiple early BCCs suggest Gorlin syndrome.
Unlock the full lesson and continue reading
Signup to continue reading this lesson and unlimited access questions, flashcards, AI notes, and more