Intro & Epi - Defining the Dots
- Definition: Chronic inflammatory dermatosis of palms & soles.
- Variants:
- Non-pustular (Hyperkeratotic): Well-demarcated, erythematous, scaly plaques; painful fissures common.
- Pustular (Palmoplantar Pustulosis - PPP): Crops of sterile, yellow-brown pustules on erythematous base.
- Variants:
- Epidemiology:
- Affects ~3-5% of psoriatic patients.
- Onset: Bimodal (20-30s & 50-60s); PPP often later.
- PPP: Predominantly females (F:M ≈ 9:1).
- Key Associations:
- Smoking: Very strong link, esp. for PPP (📌 Smoking Predisposes Pustules).
- Other psoriasis types (e.g., plaque psoriasis).
- Psoriatic Arthritis (PsA).
⭐ Up to 95% of Palmoplantar Pustulosis (PPP) patients are current or former smokers.

Clinical Features - Palms & Soles on Fire
- Appearance:
- Sharply demarcated, erythematous plaques.
- Thick, silvery-white, adherent scales.
- Marked hyperkeratosis (thickened skin).
- Painful fissures and cracks are common.
- Sterile pustules may be present (palmoplantar pustulosis variant).
- Distribution & Extent:
- Typically bilateral on palms and/or soles.
- May involve digits, leading to psoriatic dactylitis ("sausage digits").
- Key Symptoms:
- Significant pain and tenderness.
- Intense pruritus.
- Functional impairment (difficulty walking, using hands).
- Associated Nail Changes:
- Frequent: Pitting, onycholysis, subungual hyperkeratosis, oil-drop sign.

⭐ Palmoplantar pustulosis (PPP), a variant of palmoplantar psoriasis, shows a very strong association with smoking, especially in women.
DDx & Dx - Spot the Impostor
Key DDx:
| Condition | Key Features |
|---|---|
| Palmoplantar Psoriasis | Well-demarcated plaques, silvery scales, symmetrical. Pustules possible. |
| Palmoplantar Pust. | Sterile pustules (palms/soles), chronic, relapsing. Smoking link. |
| Eczema | Vesicles, itching, ill-defined. Irritant/allergen history (contact). |
| Tinea | Asymmetrical, active border, central clearing. KOH +ve. |
| Keratoderma | Diffuse/focal hyperkeratosis. Hereditary/acquired. |
| Reactive Arthritis | Keratoderma blennorrhagicum, arthritis, urethritis, uveitis. |
| PRP | Orange-red plaques, islands of sparing, follicular keratosis. |
- Dx:
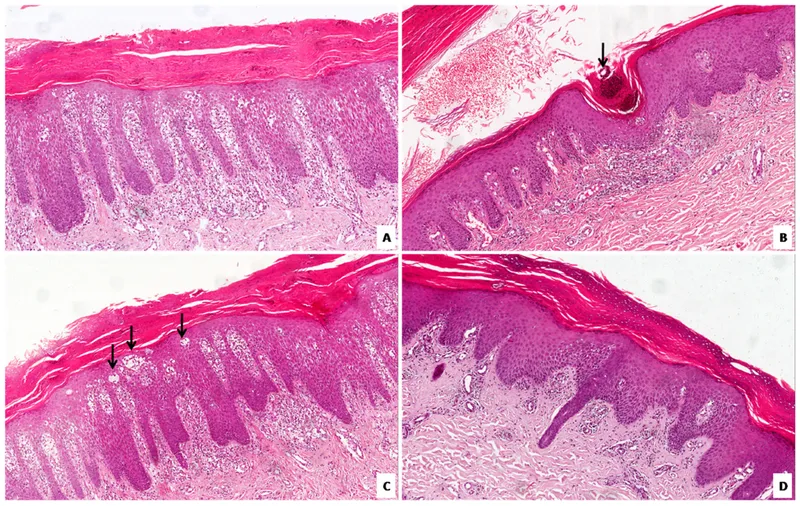
- Mainly clinical.
- Biopsy (HPE): Acanthosis, parakeratosis, Munro's microabscesses. Kogoj's pustules (pustular).
- KOH Smear: Excludes tinea.
⭐ Munro's microabscesses (neutrophils in stratum corneum) are key HPE findings in psoriasis.
Management - Soothing the Scales
- General measures: Emollients, keratolytics (salicylic acid, urea), avoidance of trauma/irritants.
- Topical therapy:
- Potent corticosteroids (e.g., clobetasol propionate) often under occlusion.
- Vitamin D analogues (calcipotriol, calcitriol).
- Tazarotene.
- Coal tar.
- Phototherapy:
- PUVA (topical or systemic).
- NBUVB (less effective due to skin thickness).
- Systemic therapy (for severe/recalcitrant cases):
- Acitretin (often first-line, e.g., 0.25-0.5 mg/kg/day).
- Methotrexate.
- Cyclosporine.
- Biologics:
- TNF-α inhibitors (e.g., infliximab/adalimumab).
- IL-17 inhibitors (e.g., secukinumab/ixekizumab).
- IL-23 inhibitors (e.g., guselkumab/risankizumab).
⭐ Acitretin is a key systemic agent for palmoplantar psoriasis; strict contraception mandatory due to teratogenicity; monitor LFTs & lipids.
High‑Yield Points - ⚡ Biggest Takeaways
- Well-demarcated, erythematous plaques with thick, yellowish-white, adherent scales on palms and soles.
- Often symmetrical, leading to painful fissures and significant functional disability.
- Can be an isolated finding or associated with psoriasis elsewhere (nails, joints, scalp).
- Auspitz sign is frequently absent or difficult to elicit due to thick hyperkeratosis.
- Important differentials include hyperkeratotic eczema, tinea manuum/pedis, and Reiter's disease.
- Management: Potent topical corticosteroids, keratolytics, vitamin D analogues; systemics for severe disease.
Unlock the full lesson and continue reading
Signup to continue reading this lesson and unlimited access questions, flashcards, AI notes, and more