Cutaneous Histopathology Indian Medical PG Practice Questions and MCQs
Practice Indian Medical PG questions for Cutaneous Histopathology. These multiple choice questions (MCQs) cover important concepts and help you prepare for your exams.
Cutaneous Histopathology Indian Medical PG Question 1: Acanthosis involves:-
- A. Stratum lucidum
- B. Stratum malphigii (Correct Answer)
- C. Stratum corneum
- D. Stratum granulosum
Cutaneous Histopathology Explanation: ***Stratum malphigii***
- **Acanthosis** refers to an increase in the thickness of the **stratum spinosum** (also known as the stratum malpighii) of the epidermis [1].
- This thickening is due to an increase in the number of **keratinocytes** in this layer and is a common histological feature in various skin conditions, such as psoriasis [1].
*Stratum lucidum*
- The **stratum lucidum** is a thin, clear layer of the epidermis found only in thick skin (palms and soles).
- It consists of flat, densely packed keratinocytes and is not typically involved in acanthosis.
*Stratum corneum*
- The **stratum corneum** is the outermost layer of the epidermis, composed of dead, flattened keratinocytes.
- An increase in its thickness is called **hyperkeratosis**, not acanthosis.
*Stratum granulosum*
- The **stratum granulosum** is characterized by cells containing keratohyalin granules.
- Changes in this layer are usually described as **hypergranulosis** (increased thickness) or hypogranulosis (decreased thickness), which are distinct from acanthosis.
**References:**
[1] Cross SS. Underwood's Pathology: A Clinical Approach. 6th ed. Disorders Involving Inflammatory And Haemopoietic Cells, pp. 640-641.
Cutaneous Histopathology Indian Medical PG Question 2: The surgical registrar successfully performs a testicular biopsy and hands over the specimen to the attending nurse. The sister asks you how to send the specimen to the pathologist. What fluid will you tell the sister to put the specimen in?
- A. 95% ethanol
- B. Zenker's solution
- C. 10% formalin
- D. Bouin's solution (Correct Answer)
Cutaneous Histopathology Explanation: ***Bouin's solution***
- **Bouin's solution is the preferred fixative for testicular biopsies**, particularly for infertility evaluation and detailed assessment of spermatogenesis.
- It provides **superior preservation of testicular architecture** and excellent nuclear detail, which is critical for evaluating seminiferous tubule morphology and germ cell maturation.
- While it may cause some tissue shrinkage, the **enhanced nuclear detail and better preservation of seminiferous epithelium** make it the gold standard for testicular tissue.
- Bouin's is specifically recommended in standard pathology protocols for reproductive tissue.
*10% formalin*
- While 10% neutral buffered formalin is the most common fixative for general surgical pathology specimens, it is **not optimal for testicular biopsies**.
- Formalin provides adequate preservation but **does not give the superior nuclear and cytoplasmic detail** needed for detailed evaluation of spermatogenesis.
- For routine testicular tumor specimens, formalin may be acceptable, but for **diagnostic testicular biopsies (especially for infertility)**, Bouin's solution is preferred.
*95% ethanol*
- Ethanol is primarily a **dehydrating agent**, not a suitable primary fixative for histology specimens.
- It causes significant **tissue shrinkage and distortion**, making histological interpretation challenging.
- Not appropriate for testicular tissue preservation.
*Zenker's solution*
- Zenker's solution is a **mercuric chloride-based fixative** with significant drawbacks.
- Contains **toxic mercury** requiring special handling and disposal.
- Can interfere with certain special stains and cause **chromatin clumping**.
- Largely obsolete in modern pathology practice due to mercury content.
Cutaneous Histopathology Indian Medical PG Question 3: Nail changes are found in about ______ cases of psoriasis:
- A. Two thirds
- B. One third
- C. One half (Correct Answer)
- D. All cases
Cutaneous Histopathology Explanation: ***One half***
- Approximately **50% of patients with psoriasis** will experience nail changes, which can be a key diagnostic feature.
- Nail involvement is even higher, around **80-90%**, in patients with **psoriatic arthritis**.
*Two thirds*
- While a significant proportion, **two-thirds (roughly 66%)** is a slight overestimate of the general prevalence of nail changes in psoriasis.
- This figure might be seen in specific populations or more severe cases, but not overall.
*One third*
- **One-third (roughly 33%)** is an underestimation of the frequency of nail changes in psoriasis.
- Nail involvement is a very common manifestation of the disease.
*All cases*
- It is incorrect to state that **all cases of psoriasis** have nail changes.
- While common, nail involvement is not universal and can range from mild to severe, or be entirely absent.
Cutaneous Histopathology Indian Medical PG Question 4: Which of the following features is characteristic of psoriasis?
- A. Grenz zone
- B. Micro-Munro's abscess (Correct Answer)
- C. Hyperkeratosis
- D. Pautrier's microabscess
Cutaneous Histopathology Explanation: ***Micro-Munro's abscess***
- These are small collections of **neutrophils in the stratum corneum** and represent a **specific histological hallmark of psoriasis**.
- Also known as **Munro microabscesses**, they are formed due to neutrophil migration into the upper epidermis in response to inflammatory signals.
- This is a **characteristic and diagnostic feature** that helps differentiate psoriasis from other papulosquamous disorders.
*Hyperkeratosis*
- While hyperkeratosis (thickening of stratum corneum) is present in psoriasis and causes the silvery scales, it is **not specific** to psoriasis.
- Hyperkeratosis occurs in many dermatological conditions including **eczema, lichen planus, ichthyosis**, and other keratinization disorders.
- It is a general finding rather than a characteristic diagnostic feature.
*Grenz zone*
- The **Grenz zone** is a clear, narrow band of unaffected dermis between the epidermis and underlying dermal infiltrate.
- This feature is characteristic of conditions like **granulomatous diseases** and **mycosis fungoides**, not psoriasis.
- In psoriasis, the dermal infiltrate typically extends to the dermoepidermal junction without a clear zone.
*Pautrier's microabscess*
- These are **intraepidermal collections of atypical lymphocytes** and are a diagnostic feature of early-stage **mycosis fungoides** (cutaneous T-cell lymphoma).
- They are not seen in psoriasis; psoriasis involves **neutrophils** (Munro microabscesses), not lymphocytic collections.
Cutaneous Histopathology Indian Medical PG Question 5: Skin biopsy shows psoriasiform hyperplasia with neutrophilic microabscesses in stratum corneum. Most likely diagnosis?
- A. Psoriasis (Correct Answer)
- B. Seborrheic dermatitis
- C. Pityriasis rosea
- D. Lichen planus
Cutaneous Histopathology Explanation: ***Psoriasis***
- **Psoriasiform hyperplasia**, characterized by regular epidermal acanthosis and elongated rete ridges, is a classic histological feature of psoriasis.
- The presence of **neutrophilic microabscesses (Munro microabscesses)** in the stratum corneum is a pathognomonic finding for psoriasis.
*Seborrheic dermatitis*
- Histologically, seborrheic dermatitis typically shows **irregular acanthosis** with parakeratosis and a **perivascular lymphocytic infiltrate**, but not regular psoriasiform hyperplasia or Munro microabscesses.
- There may be *spongiosis* and neutrophils in the stratum corneum, but not the distinct microabscesses seen in psoriasis.
*Pityriasis rosea*
- Pityriasis rosea histology often reveals **focal parakeratosis**, **spongiosis**, and a **perivascular lymphocytic infiltrate** with extravasated red blood cells.
- It does not demonstrate the characteristic regular psoriasiform hyperplasia or neutrophilic microabscesses of psoriasis.
*Lichen planus*
- Lichen planus is characterized by a **"sawtooth" rete ridge pattern**, a **band-like lymphocytic infiltrate** at the dermo-epidermal junction, and **colloid bodies (Civatte bodies)**.
- It does not exhibit psoriasiform hyperplasia or neutrophilic microabscesses in the stratum corneum.
Cutaneous Histopathology Indian Medical PG Question 6: Psoriasis has the following features except
- A. Granular cell layer is thinned or almost absent.
- B. Munro abscesses in the parakeratotic layer
- C. Acanthosis with thickened lower portion
- D. Suprapapillary thinning of epidermis
- E. Prominent granular cell layer (Correct Answer)
Cutaneous Histopathology Explanation: ***Prominent granular cell layer***
- Psoriatic skin lesions are characterized by a **thinned or absent granular cell layer (stratum granulosum)**, not a prominent one.
- This observation is often used histopathologically to differentiate psoriasis from other skin conditions.
*Granular cell layer is thinned or almost absent*
- This statement accurately describes a key histological feature of psoriasis, where the **stratum granulosum** is significantly reduced or missing.
- The absence of this layer is linked to the rapid epidermal turnover seen in psoriatic plaques.
*Munro abscesses in the parakeratotic layer*
- **Munro microabscesses** are collections of neutrophils found within the **parakeratotic stratum corneum** in psoriatic lesions [1].
- These microabscesses are a characteristic histopathological finding that helps in the diagnosis of psoriasis.
*Suprapapillary thinning of epidermis*
- There is a characteristic **thinning of the suprapapillary epidermis** (the epidermis directly above the dermal papillae) [1].
- This thinning, combined with dilated capillaries in the dermal papillae, contributes to the **Auspitz sign**, where pinpoint bleeding occurs after scratching the surface of a psoriatic plaque [1].
**References:**
[1] Cross SS. Underwood's Pathology: A Clinical Approach. 6th ed. Disorders Involving Inflammatory And Haemopoietic Cells, pp. 636-641.
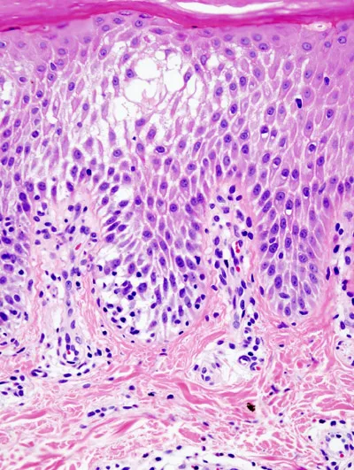
Cutaneous Histopathology Indian Medical PG Question 7: The skin biopsy shown below is most consistent with which of the following conditions?

- A. Lichen planus (Correct Answer)
- B. Lichen nitidus
- C. Morphea
- D. Lupus erythematosus
Cutaneous Histopathology Explanation: ***Lichen planus***
- The image shows **basal cell degeneration** (liquefaction degeneration), a **sawtooth rete ridge pattern**, and a band-like inflammatory infiltrate primarily composed of lymphocytes at the dermo-epidermal junction, which are classic histological features of **lichen planus**.
- **Civatte bodies** (apoptotic keratinocytes forming colloid bodies) are typically present, resulting from keratinocyte damage at the basal layer.
- These features make lichen planus the most consistent diagnosis.
*Lichen nitidus*
- Characterized by **"ball and claw" lesions**, which are small, localized epidermal invaginations enclosing a central infiltrate of lymphocytes and histiocytes.
- The granulomatous infiltrate is more focal and circumscribed compared to the band-like pattern of lichen planus.
- While both are interface dermatitides, the architectural pattern differs significantly.
*Morphea*
- This is a localized form of **scleroderma**, characterized by increased **collagen deposition**, thickening of the dermis, and loss of adnexal structures like hair follicles and sweat glands.
- The inflammatory infiltrate is typically perivascular and interstitial, not band-like at the dermo-epidermal junction.
- The image does not show features of dermal fibrosis or homogenization of collagen bundles expected in morphea.
*Lupus erythematosus*
- Also shows **interface dermatitis** with basal vacuolar changes and lymphocytic infiltrate.
- However, lupus typically shows a **perivascular and periappendageal pattern** of infiltrate rather than the dense band-like pattern of lichen planus.
- Additional features in lupus include dermal mucin deposition, thickened basement membrane (PAS-positive), and follicular plugging.
- The dense, continuous band-like infiltrate and sawtooth rete ridges favor lichen planus over lupus.
Cutaneous Histopathology Indian Medical PG Question 8: Statement 1 - A 59-year-old patient presents with flaccid bullae. Histopathology shows a suprabasal acantholytic split.
Statement 2 - The row of tombstones appearance is diagnostic of Pemphigus vulgaris.
- A. Statements 1 & 2 are correct, 2 is not explaining 1 (Correct Answer)
- B. Statements 1 and 2 are correct and 2 is the correct explanation for 1
- C. Statements 1 and 2 are incorrect
- D. Statement 1 is incorrect
Cutaneous Histopathology Explanation: ***Correct: Statements 1 & 2 are correct, 2 is not explaining 1***
**Analysis of Statement 1:**
- A 59-year-old patient with **flaccid bullae** and **suprabasal acantholytic split** on histopathology is the classic presentation of **Pemphigus vulgaris**
- The flaccid (easily ruptured) nature of bullae distinguishes it from tense bullae seen in bullous pemphigoid
- The suprabasal location of the split (just above the basal layer) with acantholysis (loss of cell-to-cell adhesion) is pathognomonic
- **Statement 1 is CORRECT** ✓
**Analysis of Statement 2:**
- The **"row of tombstones" or "tombstone appearance"** is indeed a diagnostic histopathological feature of Pemphigus vulgaris
- This appearance results from basal keratinocytes remaining attached to the basement membrane while suprabasal cells separate due to acantholysis
- The intact basal cells standing upright resemble a row of tombstones
- **Statement 2 is CORRECT** ✓
**Does Statement 2 explain Statement 1?**
- Statement 2 describes a **histopathological appearance** (tombstone pattern) that is a **consequence** of the suprabasal split
- However, it does NOT explain the **underlying cause** of the flaccid bullae or the suprabasal split
- The true explanation involves **IgG autoantibodies against desmoglein 3 (and desmoglein 1)**, which attack intercellular adhesion structures (desmosomes), causing **acantholysis**
- Therefore, **Statement 2 does NOT explain Statement 1** ✗
*Incorrect: Statement 2 is the correct explanation for Statement 1*
- While both statements describe features of Pemphigus vulgaris, the tombstone appearance is a descriptive finding, not an explanatory mechanism
*Incorrect: Statements 1 and 2 are incorrect*
- Both statements are medically accurate descriptions of Pemphigus vulgaris features
*Incorrect: Statement 1 is incorrect*
- Statement 1 correctly describes the cardinal clinical and histopathological features of Pemphigus vulgaris
Cutaneous Histopathology Indian Medical PG Question 9: The burrow in scabies is in
- A. S. corneum (Correct Answer)
- B. Malpighian layer
- C. S. germinatum
- D. S. granulosum
Cutaneous Histopathology Explanation: ***S. corneum***
- The **burrow** created by the *Sarcoptes scabiei* mite is specifically found within the **stratum corneum** of the epidermis.
- This superficial location allows the mite to feed on **keratinocytes** and deposit eggs, leading to the characteristic rash and intense itching.
- The burrow appears as a **serpiginous tract** and is a pathognomonic finding in scabies.
*Malpighian layer*
- The **Malpighian layer** encompasses the **stratum basale** and **stratum spinosum**, which are deeper layers of the epidermis.
- The scabies mite does not burrow into these deeper, metabolically active layers.
*S. germinatum*
- **Stratum germinativum** is another term for the **stratum basale**, the deepest epidermal layer responsible for cell division.
- The scabies mite creates burrows at a much more superficial level in the stratum corneum.
*S. granulosum*
- The **stratum granulosum** lies between the stratum spinosum and stratum corneum.
- While closer to the surface than the Malpighian layer, scabies burrows are specifically located in the more superficial **stratum corneum**, not the granulosum layer.
Cutaneous Histopathology Indian Medical PG Question 10: Acantholysis is seen in all except which of the following conditions?
- A. Pemphigus vulgaris
- B. Darier's disease
- C. Bullous pemphigoid (Correct Answer)
- D. SSSS
Cutaneous Histopathology Explanation: ***Bullous pemphigoid***
- This condition involves **subepidermal blistering**, meaning the separation of the epidermis from the dermis, which occurs *below* the **basal cell layer**.
- **Acantholysis**, the loss of cohesion between keratinocytes *within* the epidermis, does not occur in bullous pemphigoid, making it the correct answer.
*Pemphigus vulgaris*
- This is an **autoimmune blistering disease** characterized by the presence of autoantibodies against **desmoglein 3** (and often desmoglein 1).
- This leads to intraepidermal blistering caused by **acantholysis**, the primary pathophysiological event.
*Darier's disease*
- This is an **autosomal dominant genodermatosis** characterized by abnormal keratinization and acantholysis.
- Due to defects in **ATP2A2** (encoding SERCA2), there is impaired calcium handling in keratinocytes, leading to premature desmosomal degradation and **acantholysis**.
*SSSS (Staphylococcal Scalded Skin Syndrome)*
- Caused by **exfoliative toxins** (ETA and ETB) produced by *Staphylococcus aureus* that target **desmoglein 1**.
- The cleavage of desmoglein 1 results in superficial **intraepidermal blistering** due to **acantholysis** in the granular layer of the epidermis.
More Cutaneous Histopathology Indian Medical PG questions available in the OnCourse app. Practice MCQs, flashcards, and get detailed explanations.