Tuberculosis - The White Plague
- Agent: Mycobacterium tuberculosis (AFB). Airborne.
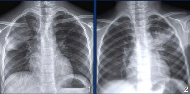
- Key Dx: Sputum smear (ZN), Culture (LJ - Gold Std), CBNAAT (rapid, Rif-R), CXR (cavities, Ghon complex), TST.
- ATT (DOTS):
- New: 2 (HRZE) + 4 (HR).
- MDR-TB: H+R resistant.
- Prevention: BCG vaccine (intradermal, M. bovis); protects vs severe childhood TB.
- NTEP Goal: Eliminate TB by 2025.

⭐ CBNAAT (Cartridge Based Nucleic Acid Amplification Test) provides rapid diagnosis of TB and also detects Rifampicin resistance within 2 hours.
📌 RIPE side effects:
- R (Rifampicin): Red-orange urine, hepatotoxicity.
- I (Isoniazid): Peripheral neuropathy (give Vit B6), hepatotoxicity.
- P (Pyrazinamide): Hyperuricemia, hepatotoxicity.
- E (Ethambutol): Optic neuritis (check red-green color).
Measles & Varicella - Rash Decisions
Key differences between two common airborne viral exanthems:
| Feature | Measles (Rubeola) | Varicella (Chickenpox) |
|---|---|---|
| Virus | Paramyxovirus | Varicella-Zoster Virus (VZV) |
| Incubation (d) | 10-14 | 14-16 |
| Prodrome | 3Cs (Cough, Coryza, Conjunctivitis) | Mild fever, malaise |
| Rash Type | Maculopapular, confluent | Vesicular (successive crops) |
| Spread | Cephalocaudal | Centripetal, pleomorphic |
| Key Sign | Koplik's spots (buccal mucosa) | "Dew drop on rose petal" |
| Complications | Pneumonia, Otitis, SSPE (late) | Pneumonia, Encephalitis, Reye's Synd. |
| Vaccine (India) | MMR: 9m, 15m, 4-6y | Varicella: 12-15m, 4-6y |
⭐ Subacute Sclerosing Panencephalitis (SSPE) is a rare, fatal, progressive neurological disorder, a late complication of measles, typically occurring 7-10 years after natural infection. It is characterized by cognitive decline, seizures, and motor abnormalities.
Diphtheria & Pertussis - Suffocating Spasms
| Feature | Diphtheria | Pertussis (Whooping Cough) |
|---|---|---|
| Agent | Corynebacterium diphtheriae (Gram +ve rod) | Bordetella pertussis (Gram -ve coccobacillus) |
| Key Feature | Greyish pseudomembrane (pharynx/larynx), Bull neck | Paroxysmal cough, inspiratory "whoop", post-tussive vomiting; "Hundred-day cough" 📌 |
| Toxin Mechanism | Diphtheria toxin (inhibits protein synthesis via ADP-ribosylation of EF-2) | Pertussis toxin (ADP-ribosylates Gi → ↑cAMP) |
| Complications | Myocarditis (most common cause of death), Neuritis | Pneumonia, Seizures, Encephalopathy, Apnea (infants), Lymphocytosis |
| Diagnosis | Albert's stain, Elek's test, Culture (Loeffler's, Tellurite agar) | Culture (Bordet-Gengou, Regan-Lowe), PCR (gold standard), Serology |
| Treatment | Diphtheria Antitoxin (DAT) + Antibiotics (Penicillin/Erythromycin) | Macrolides (Azithromycin/Erythromycin); Supportive care |
| Vaccine | Toxoid (in DPT/Tdap/Td) | Acellular components (in DPT/Tdap) |
Influenza & Other Viral Threats - Viral Vapors
- Influenza (Flu): Orthomyxovirus (RNA); Types A, B, C.
- Antigenic Drift: Minor changes (A & B) → epidemics.
- Antigenic Shift: Major changes (A only) → pandemics. 📌 Shift = Sudden, Severe.
- Symptoms: Abrupt fever, myalgia, cough. Complication: Pneumonia.
- Rx: Oseltamivir, Zanamivir (within 48 hrs).
- Vaccine: Inactivated (IM/ID), Live attenuated (intranasal).
- COVID-19 (SARS-CoV-2): Coronavirus (RNA).
- Transmission: Droplets, aerosols.
- Symptoms: Fever, cough, fatigue, anosmia/ageusia. Severe: ARDS.
- High risk: Age >60, comorbidities (diabetes, HTN).
- Prevention: Vaccination, masks, hand hygiene.

⭐ Influenza A virus is responsible for most widespread epidemics and all pandemics due to its ability to undergo both antigenic drift and shift.
High‑Yield Points - ⚡ Biggest Takeaways
- Measles: Koplik's spots (pathognomonic), SSPE (late complication), Vitamin A reduces morbidity.
- Tuberculosis: Ghon complex (primary TB), DOTS strategy, BCG vaccine for prevention.
- Influenza: Antigenic drift (epidemics) & shift (pandemics), Oseltamivir for treatment.
- Varicella-Zoster: Pleomorphic rash (chickenpox), Zoster (dermatomal reactivation).
- Diphtheria: Pseudomembrane, bull neck, DPT vaccine for prevention.
- Pertussis: Paroxysmal cough, inspiratory whoop, DPT vaccine for control.
- COVID-19: SARS-CoV-2 pathogen, droplet/aerosol transmission, vaccination is key.
Unlock the full lesson and continue reading
Signup to continue reading this lesson and unlimited access questions, flashcards, AI notes, and more