Endocrine System Overview - Hormone Harmony 101

- Hormone Types & Receptors:
- Peptide (Insulin, GH): Water-soluble; act on cell surface receptors.
- Steroid (Cortisol, Aldosterone): Lipid-soluble; act on intracellular receptors, alter gene expression.
- Amine (Thyroxine, Epinephrine): Derived from amino acids; variable mechanisms.
- Key Signaling: Second messengers (cAMP, IP3, Ca2+) amplify signals from surface receptors.
- Control: Feedback loops maintain homeostasis.
- Negative feedback: Predominant (e.g., thyroid axis).
- Positive feedback: Less common (e.g., oxytocin in labor).
⭐ The hypothalamic-pituitary-adrenal (HPA) axis is a classic example of a negative feedback loop controlling stress response via cortisol.
Hypothalamus-Pituitary Axis - The Command Center

- Hypothalamus: CEO of endocrine system. Produces releasing hormones (RH) & inhibiting hormones (IH) that act on anterior pituitary. Examples: TRH, CRH, GnRH, GHRH, Somatostatin, Dopamine.
- Pituitary Gland:
- Anterior Lobe (Adenohypophysis):
- Connected by hypophyseal portal system.
- Hormones: GH, PRL, ACTH, TSH, FSH, LH. (📌 FLAT PEG: FSH, LH, ACTH, TSH, PRL, GH).
- Posterior Lobe (Neurohypophysis):
- Neural extension of hypothalamus via infundibulum.
- Stores & releases ADH (vasopressin) & Oxytocin (synthesized in hypothalamic supraoptic & paraventricular nuclei).
- Anterior Lobe (Adenohypophysis):
⭐ The posterior pituitary is not a true endocrine gland as it only stores and releases hormones (ADH, Oxytocin) produced by the hypothalamus.
Thyroid & Parathyroid Glands - Metabolic & Calcium Kings
- Thyroid Gland:
- Follicular cells: T4 (thyroxine), T3 (triiodothyronine); T3 more potent. Regulate Basal Metabolic Rate (BMR), growth. Iodine essential.
- Transport: Thyroxine-Binding Globulin (TBG).
- Parafollicular (C cells): Calcitonin → ↓ serum Ca²⁺ (opposes PTH, minor role).
- Parathyroid Glands (Usually 4):
- Chief cells: Parathyroid Hormone (PTH) → ↑ serum Ca²⁺, ↓ serum PO₄³⁻.
- Kidney action: ↑ Ca²⁺ reabsorption, ↓ PO₄³⁻ reabsorption, stimulates 1-α-hydroxylase for Vit D activation.
- 📌 PTH: "Phosphate Trashing Hormone".

⭐ MEN 1 (Wermer's) and MEN 2A (Sipple's) syndromes can involve parathyroid hyperplasia/adenomas leading to primary hyperparathyroidism.
Adrenal Glands - Stress & Steroid Sentinels

- Location: Retroperitoneal, superomedial to kidneys.
- Adrenal Cortex (Outer): Steroid hormones. 📌 GFR - Salt, Sugar, Sex (Outer to Inner layers & products).
- Zona Glomerulosa: Mineralocorticoids (e.g., Aldosterone - regulates $Na^+$ reabsorption, $K^+$ secretion).
- Zona Fasciculata: Glucocorticoids (e.g., Cortisol - ↑glucose, anti-inflammatory).
- Zona Reticularis: Androgens (e.g., DHEA, androstenedione).
- Adrenal Medulla (Inner): Neuroectodermal origin. Chromaffin cells secrete Catecholamines (Epinephrine, Norepinephrine) for fight-or-flight response.
⭐ Pheochromocytoma, a tumor of adrenal medulla chromaffin cells, classically presents with the triad: Palpitations, Headache, Episodic sweating (PHE).
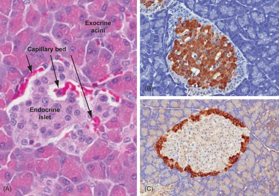
Endocrine Pancreas - Glucose Guardian

- Islets of Langerhans:
- Alpha (α) cells: Glucagon (↑ blood glucose)
- Beta (β) cells: Insulin (↓ blood glucose), Amylin
- Delta (δ) cells: Somatostatin (inhibits insulin, glucagon)
- Insulin (Anabolic): ↑ Glucose uptake (muscle/adipose via GLUT4), ↑ glycogenesis, ↑ lipogenesis. Stimulus: ↑ Blood glucose.
- Glucagon (Catabolic): ↑ Glycogenolysis, ↑ gluconeogenesis. Stimulus: ↓ Blood glucose.
⭐ C-peptide is co-secreted with insulin in equimolar amounts; its measurement helps differentiate endogenous vs. exogenous insulin.
High‑Yield Points - ⚡ Biggest Takeaways
- Hypothalamus controls the anterior pituitary (GH, PRL, ACTH, TSH, FSH, LH); posterior pituitary stores hypothalamic ADH & Oxytocin.
- Adrenal cortex zones (GFR): Zona Glomerulosa (Aldosterone), Zona Fasciculata (Cortisol), Zona Reticularis (Androgens). Adrenal medulla secretes catecholamines.
- Thyroid follicular cells produce T3/T4 (iodine is essential); parafollicular C-cells (neural crest origin) secrete calcitonin.
- Parathyroid hormone (PTH) from chief cells is the primary regulator of serum calcium and phosphate.
- Pancreatic islets: Beta cells (Insulin), Alpha cells (Glucagon), Delta cells (Somatostatin).
Unlock the full lesson and continue reading
Signup to continue reading this lesson and unlimited access questions, flashcards, AI notes, and more