CT Anatomy - Scan Essentials & Brainy Views
- Hounsfield Units (HU): Quantitative scale for radiodensity.
- Air: -1000 HU (black)
- Fat: -100 to -50 HU (dark grey)
- Water: 0 HU
- CSF: +15 HU (darker than brain parenchyma)
- Acute Blood: +50 to +75 HU (bright/hyperdense)
- Bone: +700 (cancellous) to +3000 HU (cortical) (white/hyperdense)
- Contrast Media: Significantly ↑ HU values.
- Windowing (Window Width/Window Level): Optimizes image contrast for specific tissues.
- Brain Window (e.g., W:80 L:40): Differentiates grey/white matter, detects infarcts, hemorrhage.
- Bone Window (e.g., W:2500 L:500): Visualizes fractures, bony lesions, cortical detail.
- Lung Window (e.g., W:1500 L:-600): Assesses lung parenchyma, nodules, emphysema.
- Soft Tissue/Abdomen Window (e.g., W:400 L:50): Views solid organs, fluid collections.
- Key Axial CT Brain Structures:
- Ventricles: Lateral, third, fourth (CSF-filled, appear dark).
- Basal Ganglia: Caudate nucleus, putamen, globus pallidus.
- Thalamus.
- Falx cerebri & Tentorium cerebelli (dural folds).
- Major Lobes: Frontal, parietal, temporal, occipital (general identification).
⭐ Acute hemorrhage (e.g., intracranial bleed) typically appears hyperdense (bright) on non-contrast CT scans, with HU values around +50 to +75 HU due to clotted blood components.
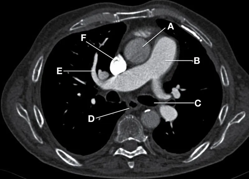
CT Anatomy - Chest Checkpoints

- Lungs & Pleura:
- Right Lung: 3 lobes (Superior, Middle, Inferior); 2 fissures (Oblique, Horizontal).
- Left Lung: 2 lobes (Superior, Inferior); 1 fissure (Oblique). Lingula (LUL) analogous to RML.
- Bronchopulmonary Segments: Functional units; typically 10 right, 8-10 left.
- Key Mediastinal Structures (Cranial to Caudal Scan):
- Vessels: SVC, IVC, Aorta (ascending, arch with branches, descending), Pulmonary Artery (main, R/L branches).
- Airways: Trachea (C-shaped rings) bifurcates at Carina (T4/T5 level) into Main Bronchi. 📌 R bronchus: Shorter, Wider, More Vertical ("Right, Robust, Reaches").
- Digestive: Esophagus (posterior to trachea, anterior to vertebrae).
- Lymph Node Stations (IASLC):
- Brief ID: Hilar, Paratracheal, Subcarinal, Aortopulmonary window.
⭐ The azygos vein arches over the right main bronchus to drain into the SVC, a key landmark visible on CT imaging near the carina an important checkpoint to identify right sided structures correctly and avoid misinterpretation with pathology like lymphadenopathy or mass.
CT Anatomy - Gut Guide & Organ Odyssey
- Solid Abdominal Organs:
- Liver: RUQ; segments by portal/hepatic veins. Key for resection.
- Gallbladder: Inferior to liver.
- Spleen: LUQ, posterior to stomach.
- Pancreas: Retroperitoneal; head in duodenal C-loop, body, tail to spleen. Uncinate process posterior to SMV.
- Kidneys: Retroperitoneal, bean-shaped. Cortex, medulla, pelvis visible.
- Adrenal Glands: Superior to kidneys, Y/V-shaped. Often subtle.
- Major Vessels:
- Aorta: Anterior to spine; branches: Celiac, SMA, IMA, Renals.
- IVC: Right of aorta.
- Portal Vein: Posterior to pancreatic neck; SMV + Splenic Vein.
- GI Tract Basics:
- Stomach: LUQ, J-shaped.
- Small Bowel: Central; jejunum: feathery valvulae.
- Colon: Peripheral, haustra.
- Pelvic Organs:
- Bladder: Anterior.
- Female: Uterus (pear), Ovaries (almond, lateral).
- Male: Prostate (below bladder), Seminal Vesicles (posterior).

⭐ The left renal vein passes anterior to the aorta and posterior to the SMA (Nutcracker phenomenon risk).
CT Anatomy - Vascular Views & Trauma Traces
- CT Contrast Phases & Timing:
- Non-Contrast (NCCT): Baseline; shows acute blood (hyperdense), calcification.
- Arterial Phase (~20-30s post-IV contrast): Peak arterial opacification (e.g., CTA for aneurysms, dissection); hypervascular tumors.
- Portovenous Phase (~60-70s): Optimal liver parenchyma & portal vein enhancement; best for hypovascular liver lesions.
- Delayed Phase (~3-15 min): Evaluates contrast washout (e.g., RCC), fibrosis, collecting system/urothelial lesions.
- Key Vascular CTA Targets:
- Circle of Willis: Aneurysms, stenosis, thrombosis.
- Pulmonary Arteries: Pulmonary embolism (filling defects).
- Aorta & Major Branches: Dissection, aneurysm, stenosis.
- Trauma CT (correlates with eFAST findings):
- Detects free fluid (hemoperitoneum, hemothorax) & free air (pneumoperitoneum, pneumothorax).
- MSK CT Basics:
- Defines cortical bone, medullary cavity; details complex fractures, joint integrity.
⭐ On non-contrast CT, acute hemorrhage typically appears hyperdense, measuring 30-60 HU (Hounsfield Units).
High‑Yield Points - ⚡ Biggest Takeaways
- Hounsfield Units (HU): Air (-1000), Water (0), Bone (+1000). Fat is negative, soft tissue positive.
- Windowing (Width/Level) is crucial for tissue differentiation (e.g., Lung, Bone, Soft tissue windows).
- IV contrast enhances vessels & pathology; note enhancement patterns.
- Orientation via axial, sagittal, coronal planes is fundamental.
- Recognize common artifacts: beam hardening, motion.
- Acute hemorrhage is hyperdense; infarcts/chronic bleeds are hypodense.
- Lung window for parenchyma; mediastinal window for soft tissues/vessels.
Unlock the full lesson and continue reading
Signup to continue reading this lesson and unlimited access questions, flashcards, AI notes, and more