Blood Vessel Structure & Arteries - Layered Pressure Pipes
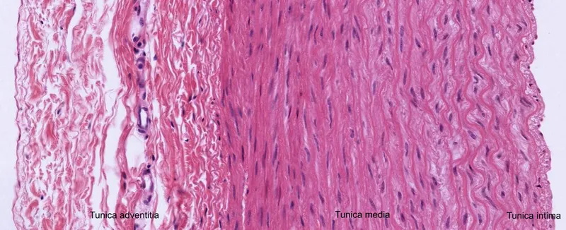
- General Layers (Tunics): 📌 (I-M-A: Intima, Media, Adventitia - from lumen outwards)
- Tunica Intima: Endothelium (simple squamous), subendothelial CT, Internal Elastic Lamina (IEL).
- Tunica Media: Smooth muscle, elastic fibers, External Elastic Lamina (EEL). Thickest in arteries.
- Tunica Adventitia: CT, vasa vasorum, nervi vasorum.
- Arteries: Thick walls, high pressure, round lumen.
- Elastic (Conducting): e.g., Aorta. Media: many elastic lamellae. IEL unclear.

- Muscular (Distributing): e.g., Brachial a. Media: much smooth muscle (≤40 layers); clear IEL.
- Arterioles: 1-3 smooth muscle layers; key for peripheral resistance.
- Elastic (Conducting): e.g., Aorta. Media: many elastic lamellae. IEL unclear.
⭐ Atherosclerosis, a common arterial disease, primarily initiates in the tunica intima.
Veins & Capillaries - Return & Exchange Central
- Veins: Low-pressure return; capacitance vessels.
- Structure: Thinner walls, larger lumen vs. arteries. T. adventitia thickest.
- Valves (tunica intima folds) prevent backflow; common in limbs.
- Types: Venules (post-capillary: diapedesis, inflammation), medium veins, large veins (e.g., vena cava: longitudinal smooth muscle in adventitia).
- Capillaries: Exchange vessels; diameter ~5-10 µm; single endothelium + basal lamina.
- Types:
- Continuous: Muscle, CNS, lung. Tight junctions, pinocytosis. Pericytes.
- Fenestrated: Pores (60-80 nm), often with diaphragms (kidney glomeruli-no diaphragms, gut, endocrine).
- Sinusoidal (Discontinuous): Large gaps/fenestrae, incomplete basal lamina (liver, spleen, bone marrow).
- Types:

⭐ Post-capillary venules: key site for diapedesis & histamine/serotonin action (↑permeability).
Artery vs. Vein
| Feature | Artery | Vein |
|---|---|---|
| Wall | Thicker, more elastic | Thinner, less elastic |
| Lumen | Smaller, round | Larger, irregular/collapsed |
| Thickest Coat | Tunica Media | Tunica Adventitia |
| Valves | No (except semilunar) | Yes (especially in limbs) |
| Pressure | High | Low |
Heart Wall & Myocardium - The Pump's Inner Workings
-
Heart Wall (3 Layers):
- Endocardium (Innermost):
- Endothelium (simple squamous epithelium).
- Subendothelial CT (loose connective tissue).
- Subendocardial layer: Deeper CT with vessels, nerves.
⭐ Purkinje fibers (modified cardiomyocytes for rapid conduction) are in the subendocardial layer.
- Myocardium (Middle, Thickest):
- Composed of cardiomyocytes (cardiac muscle cells).
- Features: Striated, branched cells; typically 1 (occasionally 2) central nuclei.
- Intercalated Discs: Specialized junctions connecting cells. Key components: Gap junctions (ionic coupling), Desmosomes & Fascia Adherens (strong adhesion).
- Abundant mitochondria (energy). Atrial cells: ANP granules.
- Epicardium (Outermost - Visceral Pericardium):
- Mesothelium (simple squamous epithelium).
- Subepicardial CT: Loose CT with adipose tissue, coronary vessels, and nerves.
- Endocardium (Innermost):
-
Cardiomyocyte Ultrastructure:
- T-tubules: Larger than skeletal muscle, at Z-lines; form diads with sarcoplasmic reticulum.
- Sarcoplasmic Reticulum (SR): Less developed than skeletal muscle.
and cardiomyocyte features)
Conducting System & Lymphatics - Specialized Conduits
- Cardiac Conduction System: Modified cardiomyocytes for impulse regulation.
- SA Node (Pacemaker): Located at crista terminalis; pale cells, ↓myofibrils.
- AV Node: Situated in Koch's triangle; responsible for impulse delay.
- Purkinje Fibers: Subendocardial; large, pale cells rich in glycogen; facilitate rapid conduction.
- Lymphatic System: Drains interstitial fluid.
- Capillaries: Blind-ended tubes; single layer of endothelium; discontinuous/absent basal lamina; anchoring filaments.
- Larger Vessels: Possess valves to ensure unidirectional flow.
⭐ Purkinje fibers are distinguished by their abundant glycogen content and peripherally displaced myofibrils, contributing to their pale appearance and rapid impulse transmission capabilities in the heart ventricles an exam favourite point for identification and function questions for NEET PG
High‑Yield Points - ⚡ Biggest Takeaways
- Endocardium: Lined by simple squamous epithelium (endothelium).
- Myocardium: Cardiac muscle cells with characteristic intercalated discs.
- Purkinje fibers: Modified myocytes; larger, paler, glycogen-rich; for rapid conduction.
- Elastic arteries (aorta): Numerous elastic lamellae in tunica media for recoil.
- Muscular arteries: Thick smooth muscle tunica media; distinct elastic laminae.
- Arterioles: Key regulators of blood pressure and peripheral resistance.
- Capillary types: Continuous (tight junctions), fenestrated (pores), sinusoidal (large gaps).
Unlock the full lesson and continue reading
Signup to continue reading this lesson and unlimited access questions, flashcards, AI notes, and more