Trauma Fundamentals - Injury Ins & Outs
Injury Mechanisms:
| Type | Mechanism | Examples | Key Effects |
|---|---|---|---|
| Blunt | Force transfer without skin breach; compression, deceleration, shear. | MVA, falls, blows. | Contusions, fractures, internal organ rupture/laceration. |
| Penetrating | Object pierces skin; direct tissue disruption along tract. | Stabs, GSWs. | Punctures, organ damage, cavitation (high-velocity). |
| Blast | Primary (overpressure), secondary (projectiles), tertiary (impact), quaternary (burns/toxins). | Explosions. | Multi-system: lung/GI/ear (primary), penetrating, fractures. |
Injury Progression:
- Primary Injury: Immediate structural damage at impact (e.g., cell lysis, vessel tearing).
- Secondary Injury: Evolves post-impact; driven by hypoxia, inflammation, edema, ↑ICP.
ATLS Priorities & Anatomical Relevance:
- Airway with C-spine protection: Assess patency (tongue, foreign body, laryngeal edema); C-spine control.
- Breathing & Ventilation: Chest wall integrity, pleura, lungs (e.g., tension pneumothorax, massive hemothorax).
- Circulation with Hemorrhage Control: Identify shock; control bleeding (major vessels, spleen, liver).
- Disability (Neurological Status): GCS (3-15), pupillary response; brain, spinal cord.
- Exposure & Environmental Control: Complete body survey; prevent hypothermia.
⭐ The 'lethal triad' in trauma: acidosis, hypothermia, and coagulopathy.
Thoraco-Abdominal Trauma - Core Catastrophes
Thoracic Catastrophes:
- Tension Pneumothorax: Air trap → mediastinal shift, ↓venous return. Tracheal deviation (late). Needle decompression (2nd ICS MCL / 5th ICS MAL).

- Open Pneumothorax: "Sucking chest wound". Occlusive dressing (3-sided).
- Massive Hemothorax: >1500 mL blood or >200 mL/hr drainage. Chest tube + urgent thoracotomy.
- Flail Chest: ≥3 ribs fractured in ≥2 places. Paradoxical motion. Pain control, PEEP.
- Cardiac Tamponade: Beck's Triad (Hypotension, ↑JVP, Muffled heart sounds). Pulsus paradoxus.
- Aortic Transection: Aortic isthmus (ligamentum arteriosum). Widened mediastinum.
⭐ Most common site of traumatic aortic rupture is the aortic isthmus.
Abdominal Catastrophes:
- Solid Organ Injury:
- Liver (most common overall), Spleen (blunt trauma, Kehr's sign), Kidneys (hematuria).
- Hollow Viscus Perforation: Peritonitis, free air on imaging.
- Retroperitoneal Hematoma:
- Zone I (Central): Aorta/IVC, Pancreas. Surgical exploration.
- Zone II (Flank): Kidneys, Colon. Selective exploration.
- Zone III (Pelvic): Iliac vessels. Angioembolization/surgery.

- Diaphragmatic Rupture: Left > Right. Bowel sounds in chest.

Pelvic Trauma:
- Fractures: Risk massive hemorrhage (internal iliac a.), bladder/urethral injury. Pelvic binder.
FAST Scan (Focused Assessment with Sonography for Trauma):

| View | Target | Positive Finding Implies |
|---|---|---|
| Pericardial | Pericardial space | Tamponade |
| Hepatorenal | Morison's pouch | Intra-abdominal bleed |
| Splenorenal | Splenorenal recess | Intra-abdominal bleed |
| Pelvic | Pouch of Douglas | Intra-abdominal bleed |
Head, Neck & Extremity Trauma - Peripheral Perils
-
Head Trauma
-
Skull Fractures:
- Linear (most common), Depressed (bone fragment inward, brain injury risk), Basilar (skull base; 📌 Battle's sign, Raccoon eyes, CSF otorrhea/rhinorrhea).
-
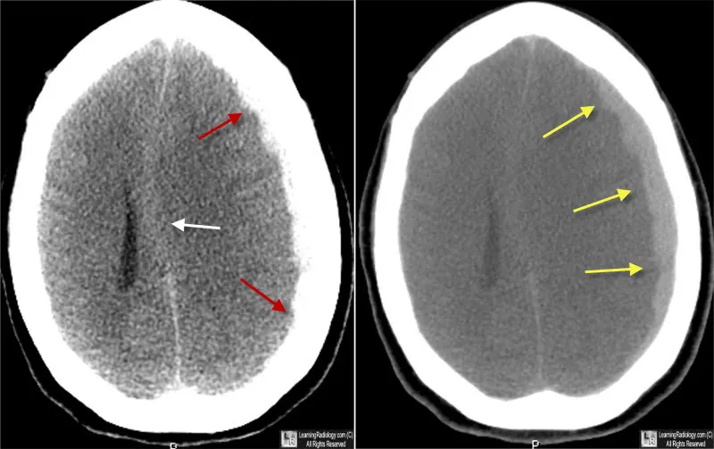
Intracranial Hemorrhages (ICH):
⭐ Epidural hematoma is typically caused by rupture of the middle meningeal artery.

Feature Epidural Hematoma (EDH) Subdural Hematoma (SDH) Subarachnoid Hemorrhage (SAH) Intracerebral Hemorrhage (ICH) Vessel Middle meningeal a. (MMA) Bridging veins Arterial (e.g., aneurysm) Intraparenchymal vessels CT Biconvex (lens), no suture cross Crescent, crosses sutures Blood in sulci/cisterns Hyperdense in parenchyma Key Lucid interval Gradual onset, ↓LOC "Worst headache of life" Focal neurological deficits
-
-
Neck Trauma
- Zones: I (clavicles-cricoid; major vessels, lung apices), II (cricoid-mandible angle; carotids, larynx), III (mandible angle-skull base; distal carotids, CNs).

- C-Spine Injuries:
- Jefferson #: C1 (atlas) burst, axial load.
- Hangman's #: C2 (axis) pedicle #, hyperextension.
- Zones: I (clavicles-cricoid; major vessels, lung apices), II (cricoid-mandible angle; carotids, larynx), III (mandible angle-skull base; distal carotids, CNs).
-
Extremity Trauma
- Common Neurovascular Injuries:
- Shoulder dislocation (ant.): Axillary n.
- Humeral shaft #: Radial n.
- Supracondylar humerus #: Median n., brachial a.
- Knee dislocation: Popliteal a. (high risk).
- Compartment Syndrome:
- ↑ Pressure in fascial compartment (leg, forearm).
- Signs: 6 P's (Pain on passive stretch, Paresthesia, Pallor, Pulselessness, Paralysis).
- Pressure > 30 mmHg often requires fasciotomy.

- Common Neurovascular Injuries:
High‑Yield Points - ⚡ Biggest Takeaways
- Lucid interval is pathognomonic for epidural hematoma (middle meningeal artery).
- Tension pneumothorax causes mediastinal shift; cardiac tamponade presents with Beck's triad (hypotension, JVD, muffled heart sounds).
- Kehr's sign (referred left shoulder pain) strongly indicates splenic rupture.
- Pelvic fractures are notorious for massive, life-threatening retroperitoneal hemorrhage.
- Supracondylar humerus fracture risks Volkmann's ischemic contracture from brachial artery injury.
- Compartment syndrome (remember the 6 Ps) is a limb-threatening surgical emergency.
Unlock the full lesson and continue reading
Signup to continue reading this lesson and unlimited access questions, flashcards, AI notes, and more